蛋白聚糖Versican重组兔单抗

Rrmab?兔单抗
2026-03-02~2026-04-30,KXJ26032026-03-02~2026-04-30,促销赠品
蛋白聚糖Versican重组兔单抗
货号:bsm-63236R
产品详情
相关标记
相关产品
相关文献
常见问题

概述

产品编号
bsm-63236R
产品类型
重组兔单抗
英文名称
Versican Recombinant Rabbit mAb
中文名称
蛋白聚糖Versican重组兔单抗
英文别名
CSPG2; ERVR; GHAP; PG-M; WGN; WGN1; 5430420N07Rik; 9430051N09; DPEAAE; NG2; PG-M(V0); PG-M(V1); hdf; CSPG2_HUMAN; VCAN; Chondroitin sulfate proteoglycan core protein 2 (Chondroitin sulfate proteoglycan 2); Glial hyaluronate-binding protein (GHAP); Large fibroblast proteoglycan; CSPG2_MOUSE; CSPG2_RAT;
抗体来源
Rabbit
免疫原
A synthesized peptide derived from human VCAN: 3200-3280
亚型
IgG
性状
Liquid
纯化方法
affinity purified by Protein A
克隆类型
Recombinant
克隆号
12F7
理论分子量
373 kDa
检测分子量
373 kDa
储存液
10mM phosphate buffered saline(pH 7.4) with 150mM sodium chloride, 0.05% BSA, 0.02% Proclin300 and 50% glycerol.
SWISS
Gene ID
保存条件
Store at 4℃ for short term. Store at -20℃ for long term. Avoid repeated freeze/thaw cycles.
注意事项
This product as supplied is intended for research use only, not for use in human, therapeutic or diagnostic applications.
背景资料
May play a role in intercellular signaling and in connecting cells with the extracellular matrix. May take part in the regulation of cell motility, growth and differentiation. Binds hyaluronic acid.
蛋白聚糖Versican重组兔单抗

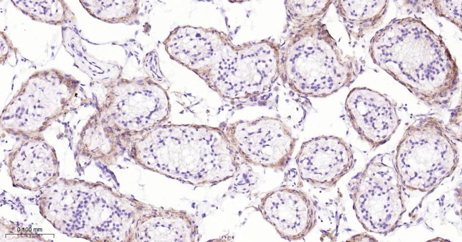
产品应用

应用已检合格种属预测种属推荐稀释比例
IHC-PHuman1:50-200
IHC-FHuman1:50-200
IFHuman1:50-200

交叉反应

交叉反应: Human

相关产品

暂无相关产品

靶标

基因名
VCAN
蛋白名
Versican core protein
亚基
Interacts with FBLN1 (By similarity).
亚细胞定位
Secreted, extracellular space, extracellular matrix.
组织特异性
Cerebral white matter and plasma. Isoform V0 and isoform V1 are expressed in normal brain, gliomas, medulloblastomas, schwannomas, neurofibromas, and meningiomas. Isoform V2 is restricted to normal brain and gliomas. Isoform V3 is found in all these tissues except medulloblastomas.
翻译后修饰
Phosphorylation sites are present in the extracellular medium.
疾病
Defects in VCAN are the cause of Wagner syndrome type 1 (WGN1) [MIM:143200]. WGN is a dominantly inherited vitreoretinopathy characterized by an optically empty vitreous cavity with fibrillary condensations and a preretinal avascular membrane. Other optical features include progressive chorioretinal atrophy, perivascular sheating, subcapsular cataract and myopia. Systemic manifestations are absent in WGN.
相似性
Belongs to the aggrecan/versican proteoglycan family.
Contains 1 C-type lectin domain.
Contains 2 EGF-like domains.
Contains 1 Ig-like V-type (immunoglobulin-like) domain.
Contains 2 Link domains.
Contains 1 Sushi (CCP/SCR) domain.
功能
May play a role in intercellular signaling and in connecting cells with the extracellular matrix. May take part in the regulation of cell motility, growth and differentiation. Binds hyaluronic acid.

标记抗体

暂无标记数据

同靶标产品

暂无同靶标产品

相关文献

提示: 发表研究结果有使用 bsm-63236R 时请让我们知道,以便我们可以引用参考文章。作为回馈,资料提供者将获得我们送上的小礼品。

暂无相关文献

常见问题

暂无常见问题