IFN-induced antiviral protein that mediates cellular innate immunity to at least three major human pathogens, namely influenza A H1N1 virus, West Nile virus (WNV), and dengue virus (WNV), by inhibiting the early step(s) of replication.








| 应用 | 已检合格种属 | 预测种属 | 推荐稀释比例 |
|---|---|---|---|
| WB | Human | 1:1000-2000 | |
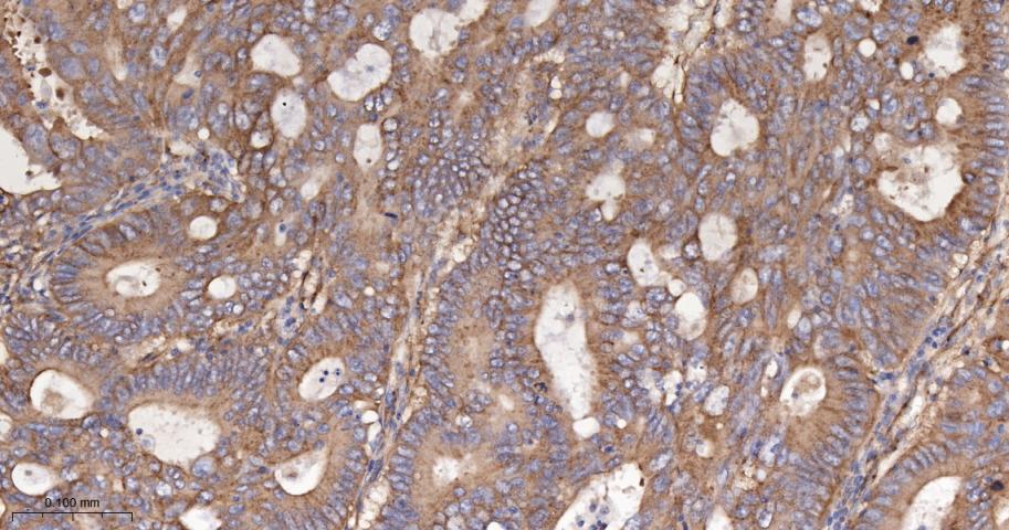
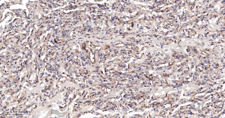
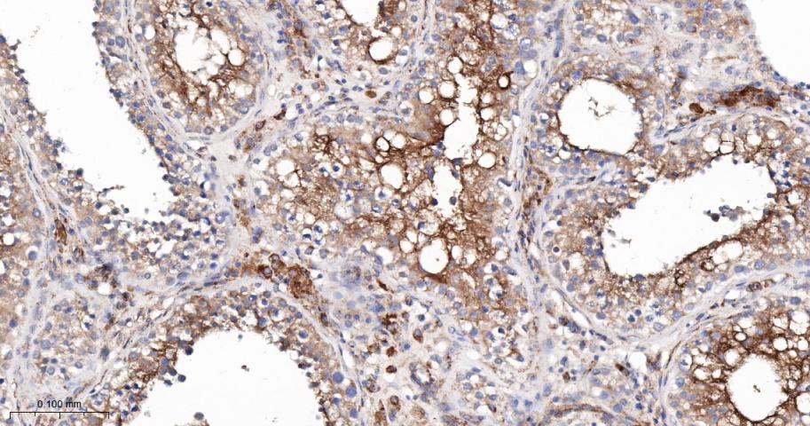
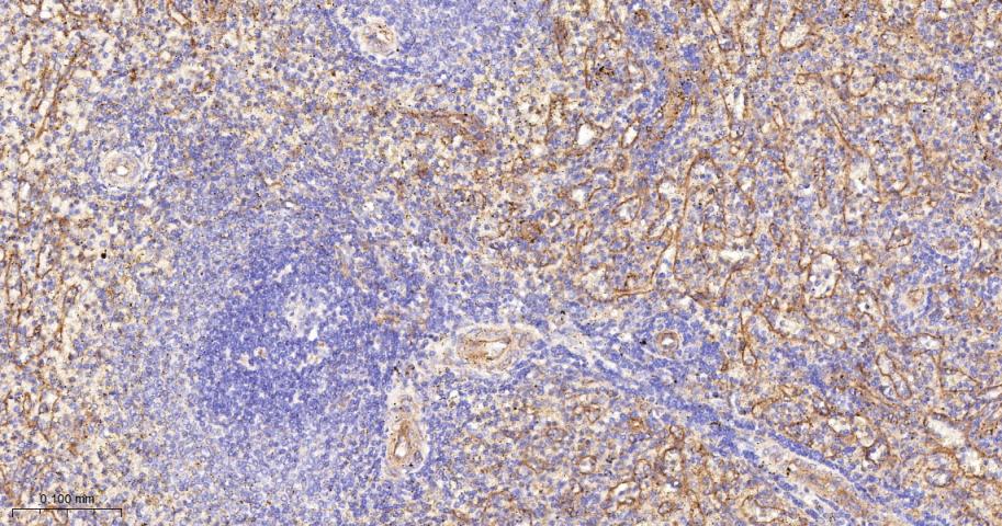
| IHC-P | Human | 1:200-800 | |
| IHC-F | Human | 1:200-800 | |
| IF | Human | 1:200-800 | |
| Flow-Cyt | Human | 1:100-200 | |
| ICC/IF | Human | 1:100-200 |
交叉反应: Human
暂无相关产品
暂无标记数据
暂无同靶标产品
暂无相关文献
暂无常见问题