白蛋白重组兔单抗

Rrmab?兔单抗
2026-03-02~2026-04-30,促销赠品
白蛋白重组兔单抗
货号:bsm-63200R
产品详情
相关标记
相关产品
相关文献
常见问题

概述

产品编号
bsm-63200R
产品类型
内参抗体、重组兔单抗、农牧业/家禽抗体
英文名称
Albumin Recombinant Rabbit mAb
中文名称
白蛋白重组兔单抗
英文别名
FDAHT; HSA; PRO0883; PRO0903; PRO1341; ALBU_HUMAN; ALB;
抗体来源
Rabbit
免疫原
A synthesized peptide derived from human Albumin: 160-190
亚型
IgG
性状
Liquid
纯化方法
affinity purified by Protein A
克隆类型
Recombinant
克隆号
6F1
理论分子量
69 kDa
检测分子量
69 kDa
储存液
10mM phosphate buffered saline(pH 7.4) with 150mM sodium chloride, 0.05% BSA, 0.02% Proclin300 and 50% glycerol.
SWISS
Gene ID
保存条件
Store at 4℃ for short term. Store at -20℃ for long term. Avoid repeated freeze/thaw cycles.
注意事项
This product as supplied is intended for research use only, not for use in human, therapeutic or diagnostic applications.
产品介绍

AGEs又称非酶糖基化终末产物(AGEs) 是蛋白质、脂质和核酸等大分子的游离氨基与还原性单糖的醛基反应所生成的稳定的共价化合物, 在体内的积累、增多是导致糖尿病等多种疾病及其并发症的关键因素。AGEs的异常增多,可直接或间接地对机体产生致病作用。

晚期糖基化终末产物-AGEs的相关学说
晚期糖基化终末产物(Advanced glycation endproducts,AGEs)是一类经由糖,包括通过Maillard反应形成的代谢中间产物化学修饰的蛋白。AGEs具有高度交联性。 AGE与AGE受体(如RAGE)的相互作用诱导了受体承载细胞核因子-Kap B(NF—Kap B)的活化,同时这一作用还诱导了细胞因子、生长因子及黏附分子表达的增加。
在糖尿病方面,晚期糖基化终末产物(AGEs)可引起体内组织一系列病理生理改变,是导致糖尿病慢性并发症的重要致病因素。在健康人群中AGEs也随年龄增加在组织中持续积累,并参与衰老过程。由于糖尿病和衰老均可导致骨代谢紊乱,甚至出现骨质疏松及脱钙。
AGEs具有广泛的致病作用:AGEs形成后引起蛋白质分子间广泛交联,致使蛋白质结构、机械强度、溶解性和配位结合等性质均发生改变。体内多种蛋白质糖基化可从多个方面影响机体,如引起血管通透性增大、血管基底膜增厚和细胞外基质积聚等。AGEs与其细胞表面受体(RAGE)结合,通过趋化和活化单核巨噬细胞,激活转录因子NF-KB,促进细胞因子和组织因子的释放,灭活一氧化氮和产生氧自由基等途径,参与糖尿病慢性并发症的发生和发展 。由于AGEs的不可逆性,即使高血糖被纠正后,AGEs水平也不能回复到正常,而继续在组织中累积。从组织AGEs自然解释出的反应中间物,如不能经肾脏消除,可再次结合到其他结构上,发生AGEs的“第二次”或“第三次”生成,致病作用加重。
背景资料
Binds water, Ca2+, Na+, K+, fatty acids, hormones, bilirubin and drugs (Probable). Its main function is the regulation of the colloidal osmotic pressure of blood (Probable). Major zinc transporter in plasma, typically binds about 80% of all plasma zinc.
白蛋白重组兔单抗白蛋白重组兔单抗白蛋白重组兔单抗白蛋白重组兔单抗白蛋白重组兔单抗

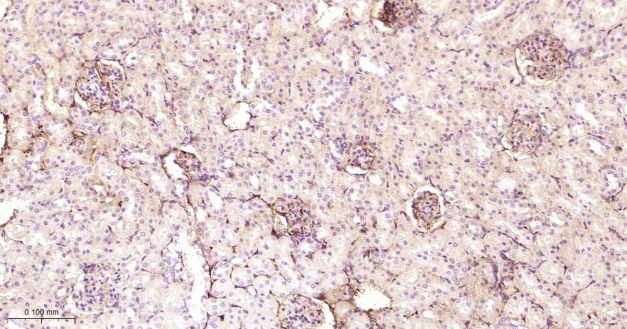
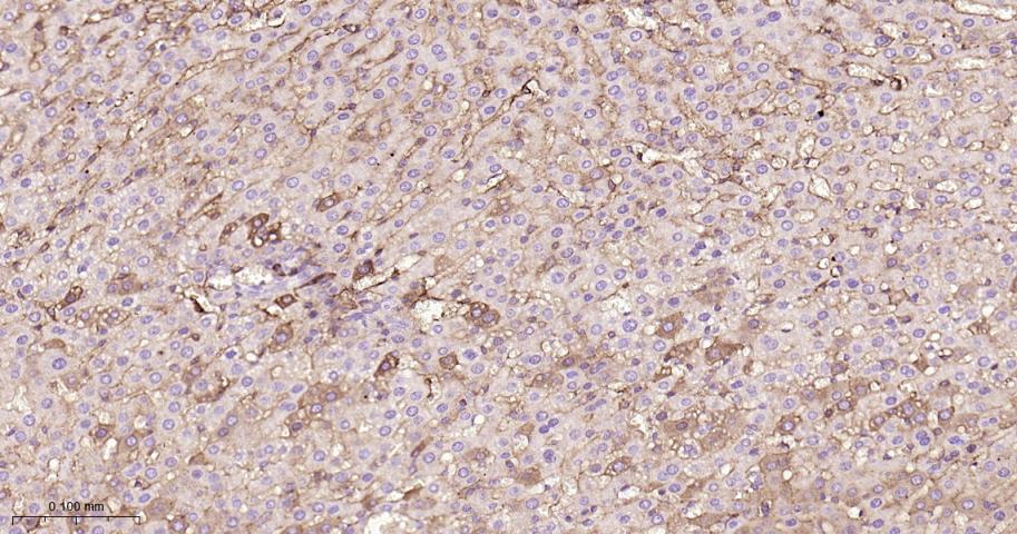
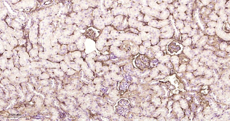
产品应用

应用已检合格种属预测种属推荐稀释比例
WBMouse, Rat1:1000-10000
IHC-PMouse, Rat1:100-500
IHC-FMouse, Rat1:100-500
IFMouse, Rat1:100-500

交叉反应

交叉反应: Mouse, Rat

相关产品

暂无相关产品

靶标

基因名
ALB
蛋白名
Ovalbumin
亚细胞定位
Secreted.
组织特异性
Plasma.
翻译后修饰
Kenitra variant is partially O-glycosylated at Thr-620. It has two new disulfide bonds Cys-600 to Cys-602 and Cys-601 to Cys-606.
Glycated in diabetic patients.
Phosphorylation sites are present in the extracelllular medium.
Acetylated on Lys-223 by acetylsalicylic acid.
疾病
Defects in ALB are a cause of familial dysalbuminemic hyperthyroxinemia (FDH) [MIM:103600]. FDH is a form of euthyroid hyperthyroxinemia that is due to increased affinity of ALB for T(4). It is the most common cause of inherited euthyroid hyperthyroxinemia in Caucasian population.
相似性
Belongs to the ALB/AFP/VDB family. Contains 3 albumin domains.
功能
Serum albumin, the main protein of plasma, has a good binding capacity for water, Ca(2+), Na(+), K(+), fatty acids, hormones, bilirubin and drugs. Its main function is the regulation of the colloidal osmotic pressure of blood. Major zinc transporter in plasma, typically binds about 80% of all plasma zinc.

标记抗体

暂无标记数据

同靶标产品

暂无同靶标产品

相关文献

提示: 发表研究结果有使用 bsm-63200R 时请让我们知道,以便我们可以引用参考文章。作为回馈,资料提供者将获得我们送上的小礼品。

暂无相关文献

常见问题

暂无常见问题