微小细胞血症相关转录因子重组兔单抗

Rrmab?兔单抗
2026-03-02~2026-04-30,KXJ26032026-03-02~2026-04-30,促销赠品
微小细胞血症相关转录因子重组兔单抗
货号:bsm-63195R
产品详情
相关标记
相关产品
相关文献
常见问题

概述

产品编号
bsm-63195R
产品类型
重组兔单抗
英文名称
MITF Recombinant Rabbit mAb
中文名称
微小细胞血症相关转录因子重组兔单抗
英文别名
CMM8; COMMAD; MI; MITF-A; WS2; WS2A; bHLHe32; BCC2; Gsfbcc2; Vitiligo; Wh; bw; vit; MITF_HUMAN; MITF; Class E basic helix-loop-helix protein 32 (bHLHe32); MITF_MOUSE; MITF_RAT;
抗体来源
Rabbit
免疫原
A synthesized peptide derived from human MITF: 350-526
亚型
IgG
性状
Liquid
纯化方法
affinity purified by Protein A
克隆类型
Recombinant
克隆号
8F7
理论分子量
59 kDa
检测分子量
52 kDa
储存液
10mM phosphate buffered saline(pH 7.4) with 150mM sodium chloride, 0.05% BSA, 0.02% Proclin300 and 50% glycerol.
SWISS
Gene ID
保存条件
Store at 4℃ for short term. Store at -20℃ for long term. Avoid repeated freeze/thaw cycles.
注意事项
This product as supplied is intended for research use only, not for use in human, therapeutic or diagnostic applications.
产品介绍
MITF微小转录因子是一个黑色素细胞的核蛋白,对黑色素细胞的生成和活性起着关键作用,MITF也是控制细胞外信号的一项调节因子。MITF高度表达于原发和转移的恶性黑色素瘤,也可视为高敏感和高特异的黑色素细胞标记。

背景资料
Transcription factor that acts as a master regulator of melanocyte survival and differentiation as well as melanosome biogenesis. Binds to M-boxes (5'-TCATGTG-3') and symmetrical DNA sequences (E-boxes) (5'-CACGTG-3') found in the promoter of pigmentation genes, such as tyrosinase (TYR).
微小细胞血症相关转录因子重组兔单抗微小细胞血症相关转录因子重组兔单抗

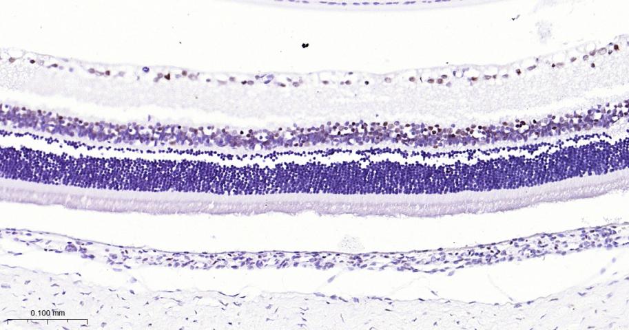
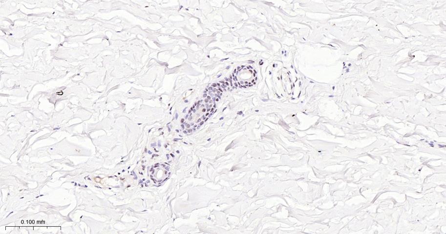
产品应用

应用已检合格种属预测种属推荐稀释比例
IHC-PHuman, RatMouse1:50-200
IHC-FHuman, RatMouse1:50-200
IFHuman, RatMouse1:50-200

交叉反应

交叉反应: Human, Rat (predicted: Mouse)

相关产品

暂无相关产品

靶标

基因名
MITF
蛋白名
Microphthalmia-associated transcription factor
亚基
Efficient DNA binding requires dimerization with another bHLH protein. Binds DNA in the form of homodimer or heterodimer with either TFE3, TFEB or TFEC. Interacts with KARS.
亚细胞定位
Nucleus.
组织特异性
Isoform M is exclusively expressed in melanocytes and melanoma cells. Isoform A and isoform H are widely expressed in many cell types including melanocytes and retinal pigment epithelium (RPE). Isoform C is expressed in many cell types including RPE but not in melanocyte-lineage cells.
翻译后修饰
Phosphorylation at Ser-405 significantly enhances the ability to bind the tyrosinase promoter. Phosphorylated at Ser-180 and Ser-516 following KIT signaling, trigerring a short live activation: Phosphorylation at Ser-180 and Ser-516 by MAPK and RPS6KA1, respectively, activate the transcription factor activity but also promote ubiquitination and subsequent degradation by the proteasome.
Ubiquitinated following phosphorylation at Ser-180, leading to subsequent degradation by the proteasome. Deubiquitinated by USP13, preventing its degradation.
疾病
Defects in MITF are the cause of Waardenburg syndrome type 2A (WS2A) [MIM:193510]. It is a dominant inherited disorder characterized by sensorineural hearing loss and patches of depigmentation. The features show variable expression and penetrance.
[DISEASE] Defects in MITF are a cause of Waardenburg syndrome type 2 with ocular albinism (WS2-OA) [MIM:103470]. It is an ocular albinism with sensorineural deafness.
[DISEASE] Defects in MITF are the cause of Tietz syndrome (TIETZS) [MIM:103500]. It is an autosomal dominant disorder characterized by generalized hypopigmentation and profound, congenital, bilateral deafness. Penetrance is complete.
[DISEASE] Defects in MITF are a cause of susceptibility to cutaneous malignant melanoma type 8 (CMM8) [MIM:614456]. A malignant neoplasm of melanocytes, arising de novo or from a pre-existing benign nevus, which occurs most often in the skin but also may involve other sites.
相似性
Belongs to the MiT/TFE family.
Contains 1 basic helix-loop-helix (bHLH) domain.
功能
Transcription factor for tyrosinase (TYR) and tyrosinase-related protein 1 (TYRP1) that plays a key role in melanocyte development. Binds to a symmetrical DNA sequence (E-boxes) (5'-CACGTG-3') found in the tyrosinase promoter. Plays a critical role in the differentiation of various cell types as neural crest-derived melanocytes, mast cells, osteoclasts and optic cup-derived retinal pigment epithelium.

标记抗体

暂无标记数据

同靶标产品

暂无同靶标产品

相关文献

提示: 发表研究结果有使用 bsm-63195R 时请让我们知道,以便我们可以引用参考文章。作为回馈,资料提供者将获得我们送上的小礼品。

暂无相关文献

常见问题

暂无常见问题