Cancer > Cell cycle > Cell cycle inhibitors
Cardiovascular > Heart > Cardiogenesis > Transcription factors/regulators
Cell Biology > Cell Cycle > Cell Cycle Inhibitors
Epigenetics and Nuclear Signaling > DNA / RNA > DNA Damage & Repair > DNA Damage Response > DNA Damage Recognition
Kits/ Lysates/ Other > Kits > ELISA Kits > ELISA Kits > Growth factors and hormones ELISA kits











| 应用 | 已检合格种属 | 预测种属 | 推荐稀释比例 |
|---|---|---|---|
| WB | Human | Mouse, Rat, Pig | 1:500-2000 |
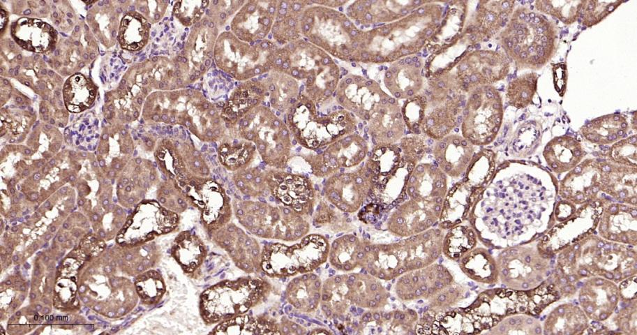
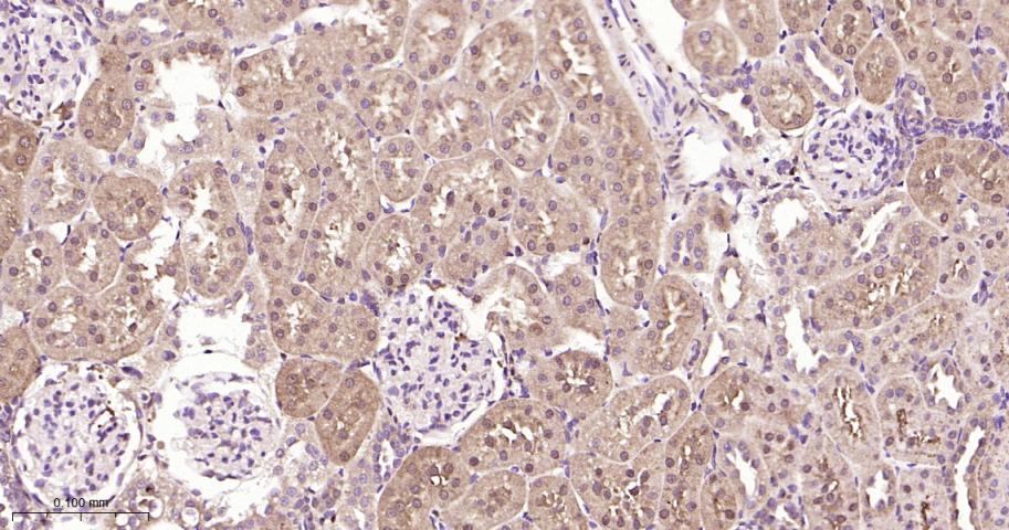
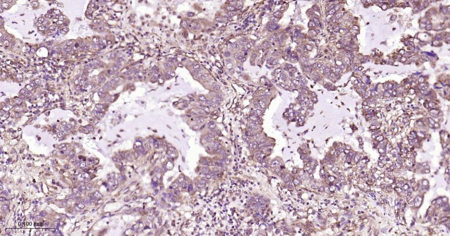
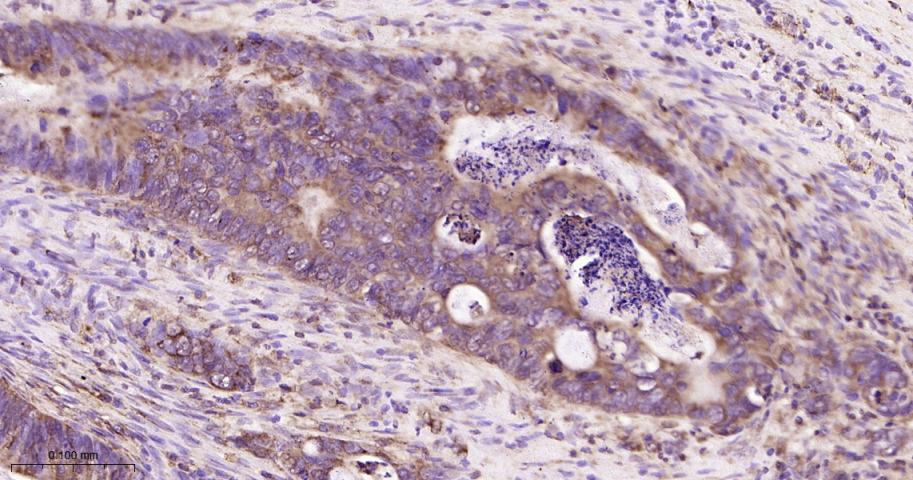
| IHC-P | Human, Mouse, Rat | Pig | 1:50-200 |
| IHC-F | Human, Mouse, Rat | Pig | 1:50-200 |
| IF | Human, Mouse, Rat | Pig | 1:50-200 |
交叉反应: Human, Mouse, Rat (predicted: Pig)
暂无相关产品
暂无标记数据
暂无同靶标产品
暂无相关文献
暂无常见问题