hIgG4重组兔单抗

Rrmab?兔单抗
2026-03-02~2026-04-30,KXJ26032026-03-02~2026-04-30,促销赠品
hIgG4重组兔单抗
货号:bsm-63127R
产品详情
相关标记
相关产品
相关文献
常见问题

概述

产品编号
bsm-63127R
产品类型
重组兔单抗
英文名称
hIgG4 Recombinant Rabbit mAb
中文名称
hIgG4重组兔单抗
英文别名
IGHG4_HUMAN; IGHG4; Ig gamma-4 chain C region;
抗体来源
Rabbit
免疫原
A synthesized peptide derived from human Human IgG4: 60-120/396
亚型
IgG
性状
Liquid
纯化方法
affinity purified by Protein A
克隆类型
Recombinant
克隆号
8F7
理论分子量
36 kDa
检测分子量
50 kDa
储存液
10mM phosphate buffered saline(pH 7.4) with 150mM sodium chloride, 0.05% BSA, 0.02% Proclin300 and 50% glycerol.
SWISS
保存条件
Store at 4℃ for short term. Store at -20℃ for long term. Avoid repeated freeze/thaw cycles.
注意事项
This product as supplied is intended for research use only, not for use in human, therapeutic or diagnostic applications.
背景资料
Constant region of immunoglobulin heavy chains. Immunoglobulins, also known as antibodies, are membrane-bound or secreted glycoproteins produced by B lymphocytes. In the recognition phase of humoral immunity, the membrane-bound immunoglobulins serve as receptors which, upon binding of a specific antigen, trigger the clonal expansion and differentiation of B lymphocytes into immunoglobulins-secreting plasma cells. Secreted immunoglobulins mediate the effector phase of humoral immunity, which results in the elimination of bound antigens
hIgG4重组兔单抗hIgG4重组兔单抗hIgG4重组兔单抗

产品应用

应用已检合格种属预测种属推荐稀释比例
WBHuman1:500-2000
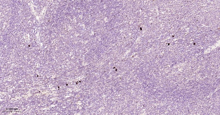
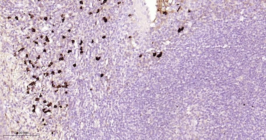
IHC-PHuman1:200-1000
IHC-FHuman1:200-1000
IFHuman1:200-1000

交叉反应

交叉反应: Human

相关产品

暂无相关产品

靶标

基因名
IGHG4
蛋白名
Immunoglobulin heavy constant gamma 4

标记抗体

暂无标记数据

同靶标产品

暂无同靶标产品

相关文献

提示: 发表研究结果有使用 bsm-63127R 时请让我们知道,以便我们可以引用参考文章。作为回馈,资料提供者将获得我们送上的小礼品。

暂无相关文献

常见问题

暂无常见问题