Cancer > Invasion/microenvironment > Angiogenesis > ECM enzymes > MMPs
Cancer > Tumor biomarkers > Enzymes > MMPs
Cardiovascular > Angiogenesis > Adhesion / ECM > Matrix Metalloproteinases > MMP
Cardiovascular > Atherosclerosis > Thrombosis > Endothelial mediators/regulators
Cell Biology > Proteolysis / Ubiquitin > Proteolytic enzymes > Metalloprotease > MMPs
Signal Transduction > Cytoskeleton / ECM > Extracellular Matrix > ECM Enzymes > MMP







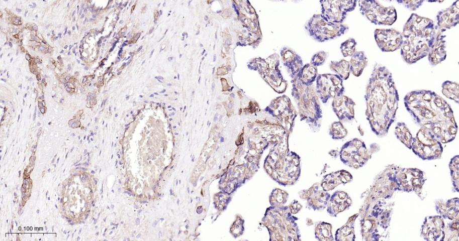
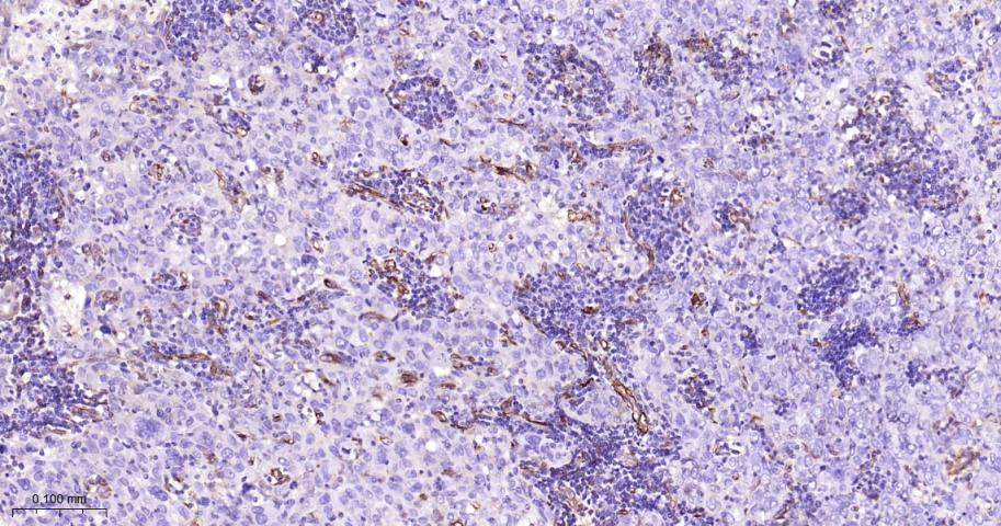
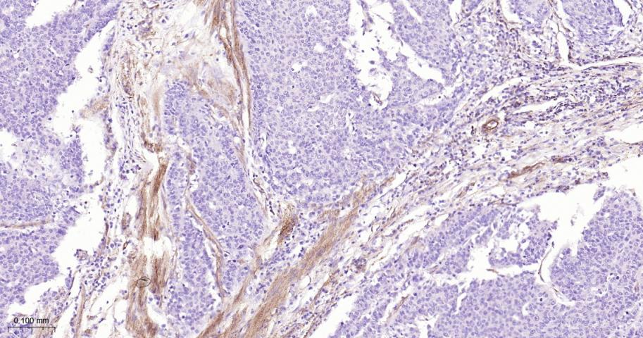
| 应用 | 已检合格种属 | 预测种属 | 推荐稀释比例 |
|---|---|---|---|
| IHC-P | Human, Mouse | 1:50-200 | |
| IHC-F | Human, Mouse | 1:50-200 | |
| IF | Human, Mouse | 1:50-200 | |
| Flow-Cyt | Human, Mouse | 1:50-100 | |
| ICC/IF | Human, Mouse | 1:50-200 |
交叉反应: Human, Mouse
暂无相关产品
暂无标记数据
暂无同靶标产品
暂无相关文献
暂无常见问题