磷酸化p38MAPK重组兔单抗

Rrmab?兔单抗
2026-03-02~2026-04-30,KXJ26032026-03-02~2026-04-30,促销赠品
磷酸化p38MAPK重组兔单抗
货号:bsm-63316R
产品详情
相关标记
相关产品
相关文献
常见问题

概述

产品编号
bsm-63316R
产品类型
磷酸化抗体、重组兔单抗
英文名称
phospho-P38 MAPK (T180) Recombinant Rabbit mAb
中文名称
磷酸化p38MAPK重组兔单抗
英文别名
MAPK14 | p38 MAPK (phospho-T180); p-P38 MAPK; phospho-P38 MAPK; p-MAPK14; MAPK14 | p38 MAPK (phospho-Thr180); CSBP; CSBP1; CSBP2; CSPB1; EXIP; Mxi2; PRKM14; PRKM15; RK; SAPK2A; p38; p38ALPHA; Crk1; p38-alpha; p38MAPK; p38a; Hog; p38Hog; MK14_CANLF; MAPK14; MAP kinase 14; MAPK 14; Mitogen-activated protein kinase p38 alpha (MAP kinase p38 alpha); 2.7.11.24; MK14_HUMAN; Cytokine suppressive anti-inflammatory drug-binding protein (CSAID-binding protein | CSBP); MAP kinase MXI2; MAX-interacting protein 2; Stress-activated protein kinase 2a (SAPK2a); MK14_MOUSE; MK14_RAT;
抗体来源
Rabbit
免疫原
A synthesized peptide derived from human p38 MAPK around the phosphorylation site of T180: EM-T(p)-GYV
性状
Liquid
纯化方法
affinity purified by Protein A
克隆类型
Recombinant
克隆号
1F2
理论分子量
41 kDa
浓度
1mg/ml
储存液
10mM phosphate buffered saline , pH 7.4, 150mM sodium chloride, 0.05% BSA, 0.02% Proclin300 and 50% glycerol.
SWISS
Gene ID
保存条件
Shipped at 4℃. Store at -20℃ for one year. Avoid repeated freeze/thaw cycles.
注意事项
This product as supplied is intended for research use only, not for use in human, therapeutic or diagnostic applications.
产品介绍
丝裂原活化蛋白激酶p38(p38 MAPK、磷酸化pERK)参与细胞生长、增殖、分化、死亡及细胞间的功能同步等多种生理过程。 P-p38MAPK是丝裂原活化蛋白激酶家族中的成员之一,大量研究显示p38在能量代谢中具有广泛的作用。p38参与脂肪组织、骨骼肌、胰岛细胞和肝脏等组织、器官的能量代谢。 p38 MAPK:作为细胞信号传递系统的交汇点,细胞内普遍存在的一条信号转导通路。细胞外的物理应激因子,如高渗透压、热休克、紫外线以及细胞因子、内毒素脂多糖(LPS)等都能激活该途径,诱导细胞内蛋白质合成与分泌、细胞分化及凋亡等生物效应。p38 MAPK还能与细胞内其他信号通路之间相互作用,是细胞内信号传递系统的交汇点或共同通路。p38 MAPK一旦被激活后,可以使一些转录因子如CREB、转录活化因子-1(activating factor-1, ATF-1)、ATF-2及活化蛋白-1(AP-1)等的丝氨酸和苏氨酸位点磷酸化,活化这些转录因子,从而调节目的基因的表达。 p38(丝氨酸位点)磷酸化后可以直接激活转录因子,参与机体的应激反应。
背景资料
The protein encoded by this gene is a member of the MAP kinase family. MAP kinases act as an integration point for multiple biochemical signals, and are involved in a wide variety of cellular processes such as proliferation, differentiation, transcription regulation and development. This kinase is activated by various environmental stresses and proinflammatory cytokines. The activation requires its phosphorylation by MAP kinase kinases(MKKs), or its autophosphorylation triggered by the interaction of MAP3K7IP1/TAB1 protein with this kinase. The substrates of this kinase include transcription regulator ATF2, MEF2C, and MAX, cell cycle regulator CDC25B, and tumor suppressor p53, which suggest the roles of this kinase in stress related transcription and cell cycle regulation, as well as in genotoxic stress response. Four alternatively spliced transcript variants of this gene encoding distinct isoforms have been reported.
磷酸化p38MAPK重组兔单抗磷酸化p38MAPK重组兔单抗磷酸化p38MAPK重组兔单抗磷酸化p38MAPK重组兔单抗磷酸化p38MAPK重组兔单抗磷酸化p38MAPK重组兔单抗磷酸化p38MAPK重组兔单抗磷酸化p38MAPK重组兔单抗磷酸化p38MAPK重组兔单抗磷酸化p38MAPK重组兔单抗磷酸化p38MAPK重组兔单抗磷酸化p38MAPK重组兔单抗磷酸化p38MAPK重组兔单抗磷酸化p38MAPK重组兔单抗磷酸化p38MAPK重组兔单抗磷酸化p38MAPK重组兔单抗磷酸化p38MAPK重组兔单抗磷酸化p38MAPK重组兔单抗磷酸化p38MAPK重组兔单抗磷酸化p38MAPK重组兔单抗

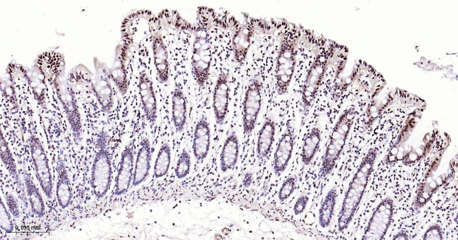
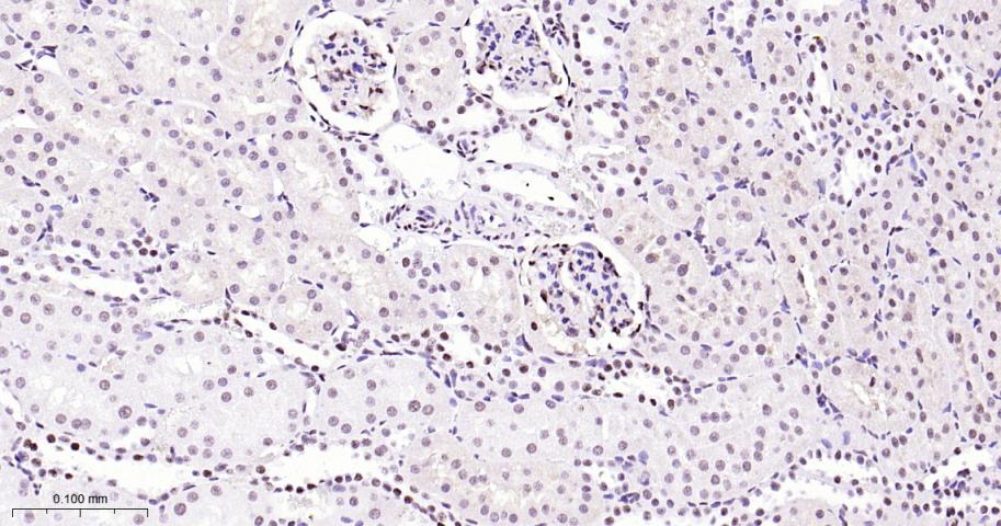
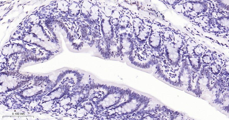
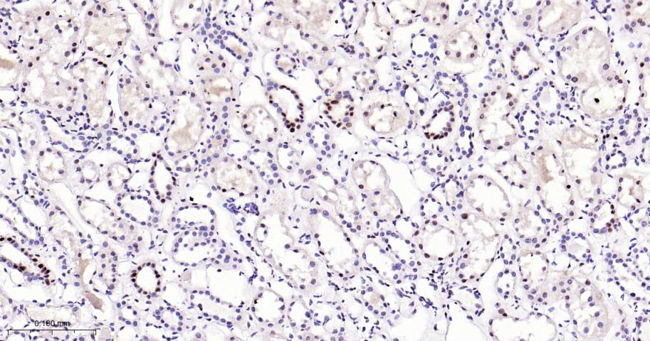
产品应用

应用已检合格种属预测种属推荐稀释比例
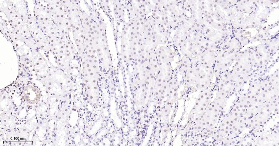
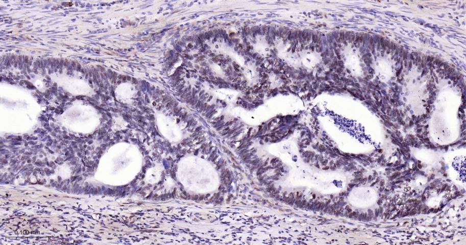
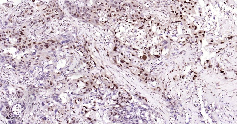
WBHuman, Mouse, Rat1:500-2000
IHC-PHuman, Mouse, Rat1:50-200
IHC-FHuman, Mouse, Rat1:50-200
IFHuman, Mouse, Rat1:50-200
Flow-CytHumanMouse, Rat1:50-100

交叉反应

交叉反应: Human, Mouse, Rat

相关产品

暂无相关产品

靶标

基因名
MAPK14
蛋白名
Mitogen-activated protein kinase 14
亚基
Binds to a kinase interaction motif within the protein tyrosine phosphatase, PTPRR (By similarity). This interaction retains MAPK14 in the cytoplasm and prevents nuclear accumulation. Interacts with SPAG9 and GADD45A. Interacts with CDC25B, CDC25C, DUSP1, DUSP10, DUSP16, NP60, FAM48A and TAB1. Interacts with casein kinase II subunits CSNK2A1 and CSNK2B.
亚细胞定位
Cytoplasm. Nucleus.
组织特异性
Brain, heart, placenta, pancreas and skeletal muscle. Expressed to a lesser extent in lung, liver and kidney.
翻译后修饰
Dually phosphorylated on Thr-180 and Tyr-182 by the MAP2Ks MAP2K3/MKK3, MAP2K4/MKK4 and MAP2K6/MKK6 in response to inflammatory citokines, environmental stress or growth factors, which a ctivates the enzyme. Dual phosphorylation can also be mediated by TAB1-mediated autophosphorylation. TCR engagement in T-cells also leads to Tyr-323 phosphorylation by ZAP70. Dephosphorylated and inactivated by DUPS1, DUSP10 and DUSP16.
Acetylated at Lys-53 and Lys-152 by KAT2B and EP300. Acetylation at Lys-53 increases the affinity for ATP and enhances kinase activity. Lys-53 and Lys-152 are deacetylated by HDAC3.
Ubiquitinated. Ubiquitination leads to degradation by the proteasome pathway.
相似性
Belongs to the protein kinase superfamily. CMGC Ser/Thr protein kinase family. MAP kinase subfamily.
Contains 1 protein kinase domain.
功能
Serine/threonine kinase which acts as an essential component of the MAP kinase signal transduction pathway. MAPK14 is one of the four p38 MAPKs which play an important role in the cascades of cellular responses evoked by extracellular stimuli such as proinflammatory cytokines or physical stress leading to direct activation of transcription factors. Accordingly, p38 MAPKs phosphorylate a broad range of proteins and it has been estimated that they may have approximately 200 to 300 substrates each. Some of the targets are downstream kinases which are activated through phosphorylation and further phosphorylate additional targets. RPS6KA5/MSK1 and RPS6KA4/MSK2 can directly phosphorylate and activate transcription factors such as CREB1, ATF1, the NF-kappa-B isoform RELA/NFKB3, STAT1 and STAT3, but can also phosphorylate histone H3 and the nucleosomal protein HMGN1. RPS6KA5/MSK1 and RPS6KA4/MSK2 play important roles in the rapid induction of immediate-early genes in response to stress or mitogenic stimuli, either by inducing chromatin remodeling or by recruiting the transcription machinery. On the other hand, two other kinase targets, MAPKAPK2/MK2 and MAPKAPK3/MK3, participate in the control of gene expression mostly at the post-transcriptional level, by phosphorylating ZFP36 (tristetraprolin) and ELAVL1, and by regulating EEF2K, which is important for the elongation of mRNA during translation. MKNK1/MNK1 and MKNK2/MNK2, two other kinases activated by p38 MAPKs, regulate protein synthesis by phosphorylating the initiation factor EIF4E2. MAPK14 interacts also with casein kinase II, leading to its activation through autophosphorylation and further phosphorylation of TP53/p53. In the cytoplasm, the p38 MAPK pathway is an important regulator of protein turnover. For example, CFLAR is an inhibitor of TNF-induced apoptosis whose proteasome-mediated degradation is regulated by p38 MAPK phosphorylation. In a similar way, MAPK14 phosphorylates the ubiquitin ligase SIAH2, regulating its activity towards EGLN3. MAPK14 may also inhibit the lysosomal degradation pathway of autophagy by interfering with the intracellular trafficking of the transmembrane protein ATG9. Another function of MAPK14 is to regulate the endocytosis of membrane receptors by different mechanisms that impinge on the small GTPase RAB5A. In addition, clathrin-mediated EGFR internalization induced by inflammatory cytokines and UV irradiation depends on MAPK14-mediated phosphorylation of EGFR itself as well as of RAB5A effectors. Ectodomain shedding of transmembrane proteins is regulated by p38 MAPKs as well. In response to inflammatory stimuli, p38 MAPKs phosphorylate the membrane-associated metalloprotease ADAM17. Such phosphorylation is required for ADAM17-mediated ectodomain shedding of TGF-alpha family ligands, which results in the activation of EGFR signaling and cell proliferation. Another p38 MAPK substrate is FGFR1. FGFR1 can be translocated from the extracellular space into the cytosol and nucleus of target cells, and regulates processes such as rRNA synthesis and cell growth. FGFR1 translocation requires p38 MAPK activation. In the nucleus, many transcription factors are phosphorylated and activated by p38 MAPKs in response to different stimuli. Classical examples include ATF1, ATF2, ATF6, ELK1, PTPRH, DDIT3, TP53/p53 and MEF2C and MEF2A. The p38 MAPKs are emerging as important modulators of gene expression by regulating chromatin modifiers and remodelers. The promoters of several genes involved in the inflammatory response, such as IL6, IL8 and IL12B, display a p38 MAPK-dependent enrichment of histone H3 phosphorylation on 'Ser-10' (H3S10ph) in LPS-stimulated myeloid cells. This phosphorylation enhances the accessibility of the cryptic NF-kappa-B-binding sites marking promoters for increased NF-kappa-B recruitment. Phosphorylates CDC25B and CDC25C which is required for binding to 14-3-3 proteins and leads to initiation of a G2 delay after ultraviolet radiation. Phosphorylates TIAR following DNA damage, releasing TIAR from GADD45A mRNA and preventing mRNA degradation. The p38 MAPKs may also have kinase-independent roles, which are thought to be due to the binding to targets in the absence of phosphorylation. Protein O-Glc-N-acylation catalyzed by the OGT is regulated by MAPK14, and, although OGT does not seem to be phosphorylated by MAPK14, their interaction increases upon MAPK14 activation induced by glucose deprivation. This interaction may regulate OGT activity by recruiting it to specific targets such as neurofilament H, stimulating its O-Glc-N-acylation. Required in mid-fetal development for the growth of embryo-derived blood vessels in the labyrinth layer of the placenta. Also plays an essential role in developmental and stress-induced erythropoiesis, through regulation of EPO gene expression. Isoform MXI2 activation is stimulated by mitogens and oxidative stress and only poorly phosphorylates ELK1 and ATF2. Isoform EXIP may play a role in the early onset of apoptosis. Phosphorylates S100A9 at 'Thr-113'.

标记抗体

暂无标记数据

同靶标产品

暂无同靶标产品

相关文献

提示: 发表研究结果有使用 bsm-63316R 时请让我们知道,以便我们可以引用参考文章。作为回馈,资料提供者将获得我们送上的小礼品。

暂无相关文献

常见问题

暂无常见问题