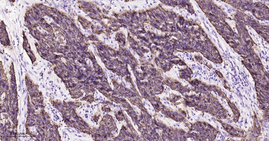
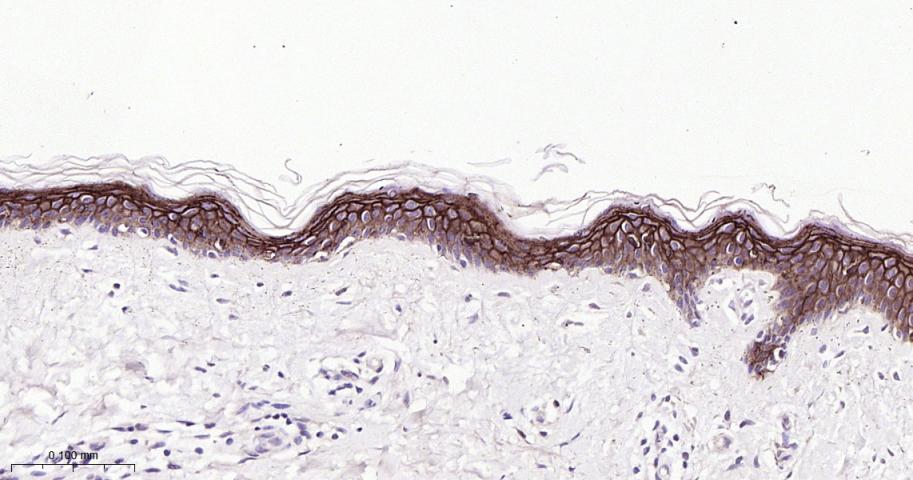
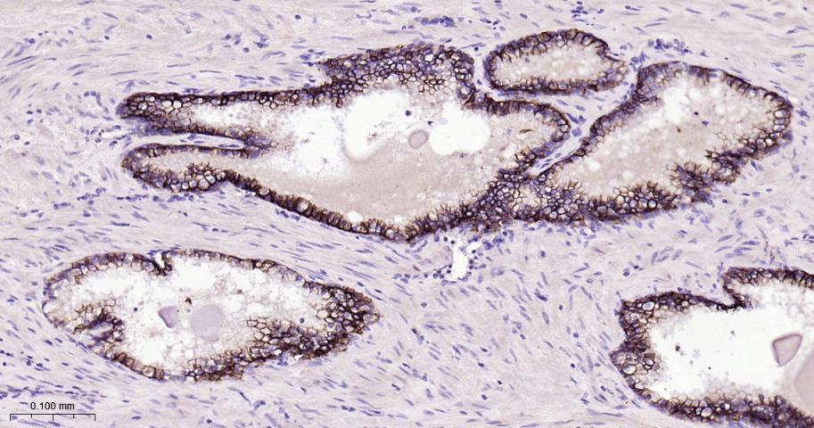
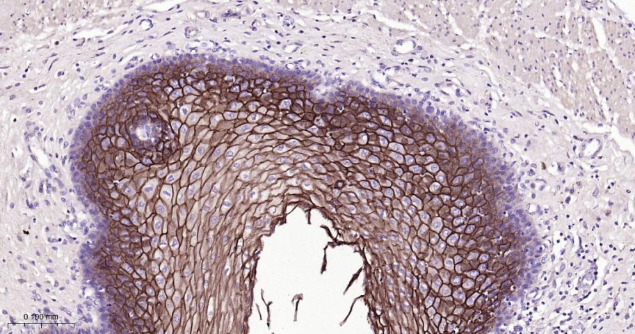
This intronless gene encodes a carcinoma-associated antigen. This antigen is a cell surface receptor that transduces calcium signals. Mutations of this gene have been associated with gelatinous drop-like corneal dystrophy.[provided by RefSeq, Dec 2009]







| 应用 | 已检合格种属 | 预测种属 | 推荐稀释比例 |
|---|---|---|---|
| IHC-P | Human | 1:100-500 | |
| IHC-F | Human | 1:100-500 | |
| IF | Human | 1:100-500 |
交叉反应: Human
暂无相关产品
暂无标记数据
暂无同靶标产品
暂无相关文献
暂无常见问题