NF-L Recombinant Rabbit mAb (一抗) - WB,IHC-P,IHC-F,IF | Bioss

Rrmab?兔单抗
2026-03-02~2026-04-30,KXJ26032026-03-02~2026-04-30,促销赠品
NF-L Recombinant Rabbit mAb (一抗) - WB,IHC-P,IHC-F,IF | Bioss
货号:bsm-41217R
产品详情
相关标记
相关产品
相关文献
常见问题

概述

产品编号
bsm-41217R
产品类型
重组兔单抗、mIHC精品抗体
英文名称
NF-L Recombinant Rabbit mAb
中文名称
低分子量神经丝蛋白重组兔单抗
英文别名
CMT1F; CMT2E; CMTDIG; NF-L; NF68; NFL; PPP1R110; NFL_HUMAN; NEFL; 68 kDa neurofilament protein; Neurofilament triplet L protein; NFL_MOUSE; NFL_RAT;
抗体来源
Rabbit
免疫原
Recombinant human NF-L protein: 2-543/543
亚型
IgG
性状
Liquid
纯化方法
affinity purified by Protein A
克隆类型
Recombinant
克隆号
3F2
理论分子量
68 kDa
检测分子量
65 kDa
浓度
1mg/ml
储存液
0.01M TBS (pH7.4) with 1% BSA, 0.02% Proclin300 and 50% Glycerol.
SWISS
Gene ID
保存条件
Shipped at 4℃. Store at -20℃ for one year. Avoid repeated freeze/thaw cycles.
注意事项
This product as supplied is intended for research use only, not for use in human, therapeutic or diagnostic applications.
产品介绍
神经生物学相关蛋白(Neurobiology)
低分子量神经丝蛋白,简称NF-L,分子量为68kDa,NF-L的聚集与神经退行性疾病的发病机理相关,如运动神经元的降解等。
神经纤丝蛋白的功能是提供弹性使神经纤维易于伸展和防止断裂。
神经丝是中间纤维的一种重要类型又称神经微丝蛋白,特异地在神经细胞内表达,并在轴突内相互平行排列成束. 哺乳动物的神经丝由3种蛋白组成:
低分子量神经丝蛋白,简称NF-L;分子量为68kDa;
中分子量神经丝蛋白,简称NF-M;分子量为160kDa;
高分子量神经丝蛋白,简称NF-H,分子量为200 kDa。
背景资料
Neurofilament light polypeptide also called NF-L; Neurofilament triplet L protein; 68 kDa neurofilament protein. Neurofilaments usually contain three intermediate filament proteins: L, M, and H which are involved in the maintenance of neuronal caliber. The extra mass and high charge density that distinguish the neurofilament proteins from all other intermediate filament proteins are due to the tailpiece extensions. This region may form a charged scaffolding structure suitable for interaction with other neuronal components or ions. NF-L is the most abundant of the three neurofilament proteins and, as the other nonepithelial intermediate filament proteins, it can form homopolymeric 10-nm filaments. Belongs to the intermediate filament family.
Involved in the maintenance of neuronal caliber, neurofilaments are the intermediate filament proteins found specifically in neurons, and are composed predominantly of three major proteins called NF-L, NF-M and NF-H. Like most other intermediate filament proteins (IFPs), the expression of the different neuronal IFPs is both tissue-specific and developmentally regulated. NF-L is the light or low molecular weight microfilament subunit and runs on SDS-PAGE gels at approximately 70 kDa. Neurofilament are the 10nm or intermediate filament proteins found specifically in neurons, and are composed predominantly of three major proteins called NF-L, NF-M and NF-H. NF-H is the heavy or high molecular weight microfilament subunit and runs on SDS-PAGE gels in the range 180-220 kDa, with some variation in different species.
低分子量神经丝蛋白重组兔单抗-bsm-41217R低分子量神经丝蛋白重组兔单抗-bsm-41217R低分子量神经丝蛋白重组兔单抗-bsm-41217R低分子量神经丝蛋白重组兔单抗-bsm-41217R低分子量神经丝蛋白重组兔单抗-bsm-41217R低分子量神经丝蛋白重组兔单抗-bsm-41217R低分子量神经丝蛋白重组兔单抗-bsm-41217R低分子量神经丝蛋白重组兔单抗-bsm-41217R低分子量神经丝蛋白重组兔单抗-bsm-41217R低分子量神经丝蛋白重组兔单抗-bsm-41217R低分子量神经丝蛋白重组兔单抗-bsm-41217R低分子量神经丝蛋白重组兔单抗-bsm-41217R

产品应用

应用已检合格种属预测种属推荐稀释比例
WBHuman, MouseRat1:500-5000
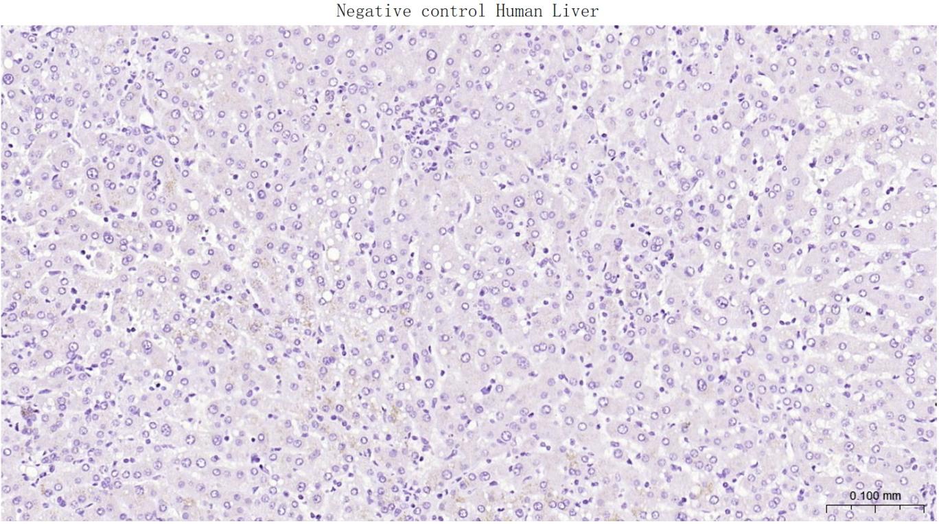
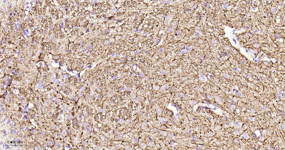
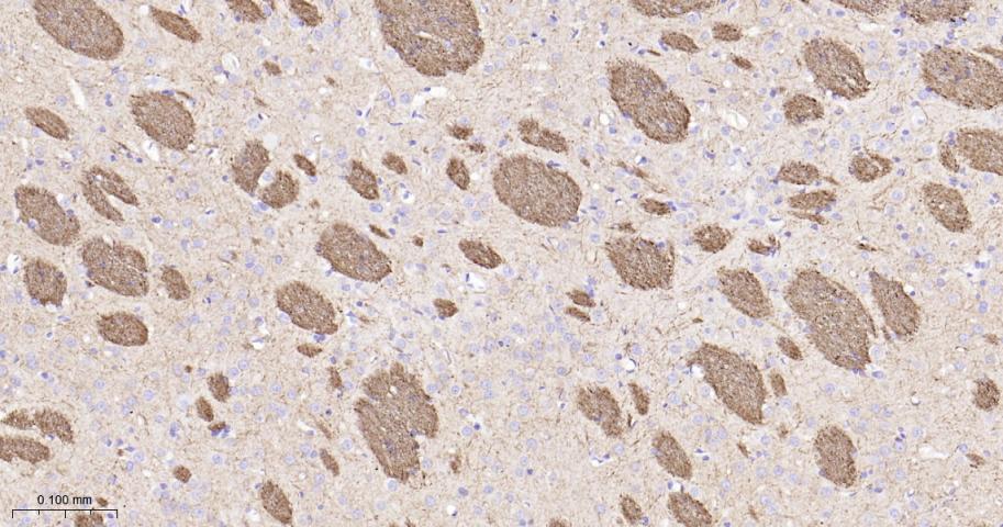
IHC-PHuman, Mouse, Rat1:100-500
IHC-FHuman, Mouse, Rat1:100-500
IFHuman, Mouse, Rat1:100-500

交叉反应

交叉反应: Human, Mouse, Rat

相关产品

暂无相关产品

靶标

基因名
NEFL
蛋白名
Neurofilament light polypeptide
亚基
Interacts with ARHGEF28. Interacts with TRIM2.
翻译后修饰
O-glycosylated.
Phosphorylated in the head and rod regions by the PKC kinase PKN1, leading to the inhibition of polymerization.
Ubiquitinated in the presence of TRIM2 and UBE2D1.
疾病
Defects in NEFL are the cause of Charcot-Marie-Tooth disease type 1F (CMT1F) [MIM:607734]. CMT1F is a form of Charcot-Marie-Tooth disease, the most common inherited disorder of the peripheral nervous system. Charcot-Marie-Tooth disease is classified in two main groups on the basis of electrophysiologic properties and histopathology: primary peripheral demyelinating neuropathy or CMT1, and primary peripheral axonal neuropathy or CMT2. Neuropathies of the CMT1 group are characterized by severely reduced nerve conduction velocities (less than 38 m/sec), segmental demyelination and remyelination with onion bulb formations on nerve biopsy, slowly progressive distal muscle atrophy and weakness, absent deep tendon reflexes, and hollow feet. CMT1F is characterized by onset in infancy or childhood (range 1 to 13 years).
Defects in NEFL are the cause of Charcot-Marie-Tooth disease type 2E (CMT2E) [MIM:607684]. CMT2E is an autosomal dominant form of Charcot-Marie-Tooth disease type 2. Neuropathies of the CMT2 group are characterized by signs of axonal regeneration in the absence of obvious myelin alterations, normal or slightly reduced nerve conduction velocities, and progressive distal muscle weakness and atrophy.
相似性
Belongs to the intermediate filament family.
功能
Neurofilaments usually contain three intermediate filament proteins: L, M, and H which are involved in the maintenance of neuronal caliber.

同靶标产品

相关文献

提示: 发表研究结果有使用 bsm-41217R 时请让我们知道,以便我们可以引用参考文章。作为回馈,资料提供者将获得我们送上的小礼品。

常见问题