Cartilage stain (toluidine blue method) (染色液) | Bioss

Cartilage stain (toluidine blue method) (染色液) | Bioss
货号:S0061
产品详情
相关产品
相关文献
常见问题

概述

产品编号
S0061
英文名称
Cartilage stain (toluidine blue method)
中文名称
软骨染色液(甲苯胺蓝法)
英文别名
Cartilage staining solution (toluidine blue method)
保存条件
室温避光保存,有效期12个月。
产品介绍
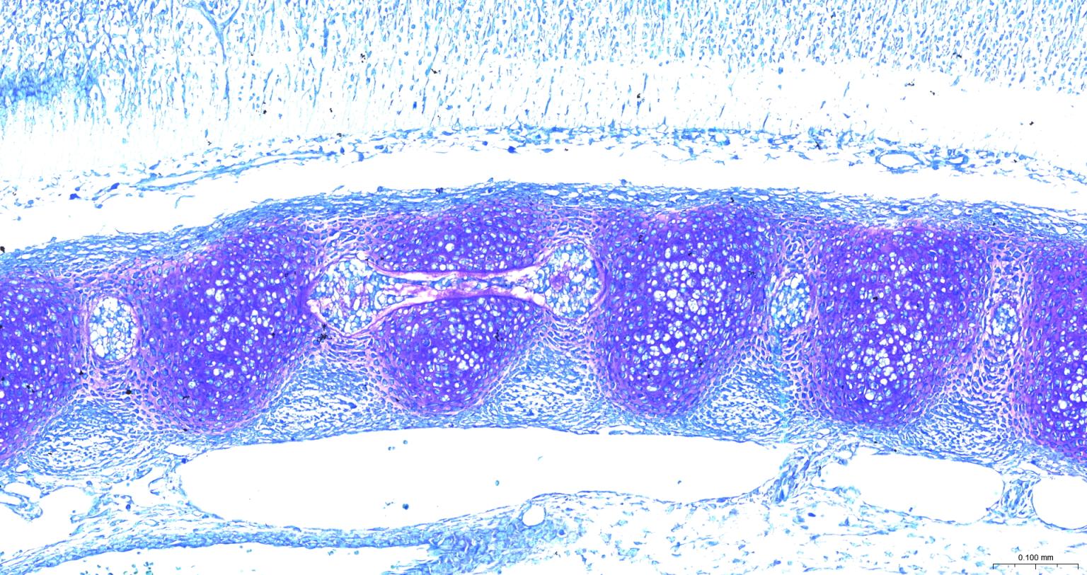
甲苯胺蓝(Toluidine Blue O)是一种常用的人工合成染料, 属于醌亚胺染料类。这类染料主要含有胺基和醌型苯环两个发色团,从而成色原显色。甲苯胺蓝中的阳离子有染色作用, 组织细胞的酸性 物质与其中的阳离子相结合而被染色。甲苯胺蓝不仅含有两个发色团,还含有两个助色团,能促使 染料产生电离成盐类, 帮助发色团对组织产生染色力, 使切片上的组织细胞着色,可染细胞核使之 呈蓝色;软骨染色液(甲苯胺蓝法)呈强碱性,更利于软骨组织的着色。 本产品仅用于科研领域,不用于临床诊断。
软骨染色液(甲苯胺蓝法)-S0061软骨染色液(甲苯胺蓝法)-S0061

相关产品

暂无相关产品

同靶标产品

相关文献

常见问题