Cancer > Invasion/microenvironment > Angiogenesis > Angiogenic growth factors
Cardiovascular > Angiogenesis > Endothelial Cell Markers
Cardiovascular > Blood > Coagulation > Extrinsic
Cardiovascular > Blood > Coagulation > Regulatory
Cardiovascular > Blood > Platelets










| 应用 | 已检合格种属 | 预测种属 | 推荐稀释比例 |
|---|---|---|---|
| WB | Human, Mouse | 1:500-2000 | |
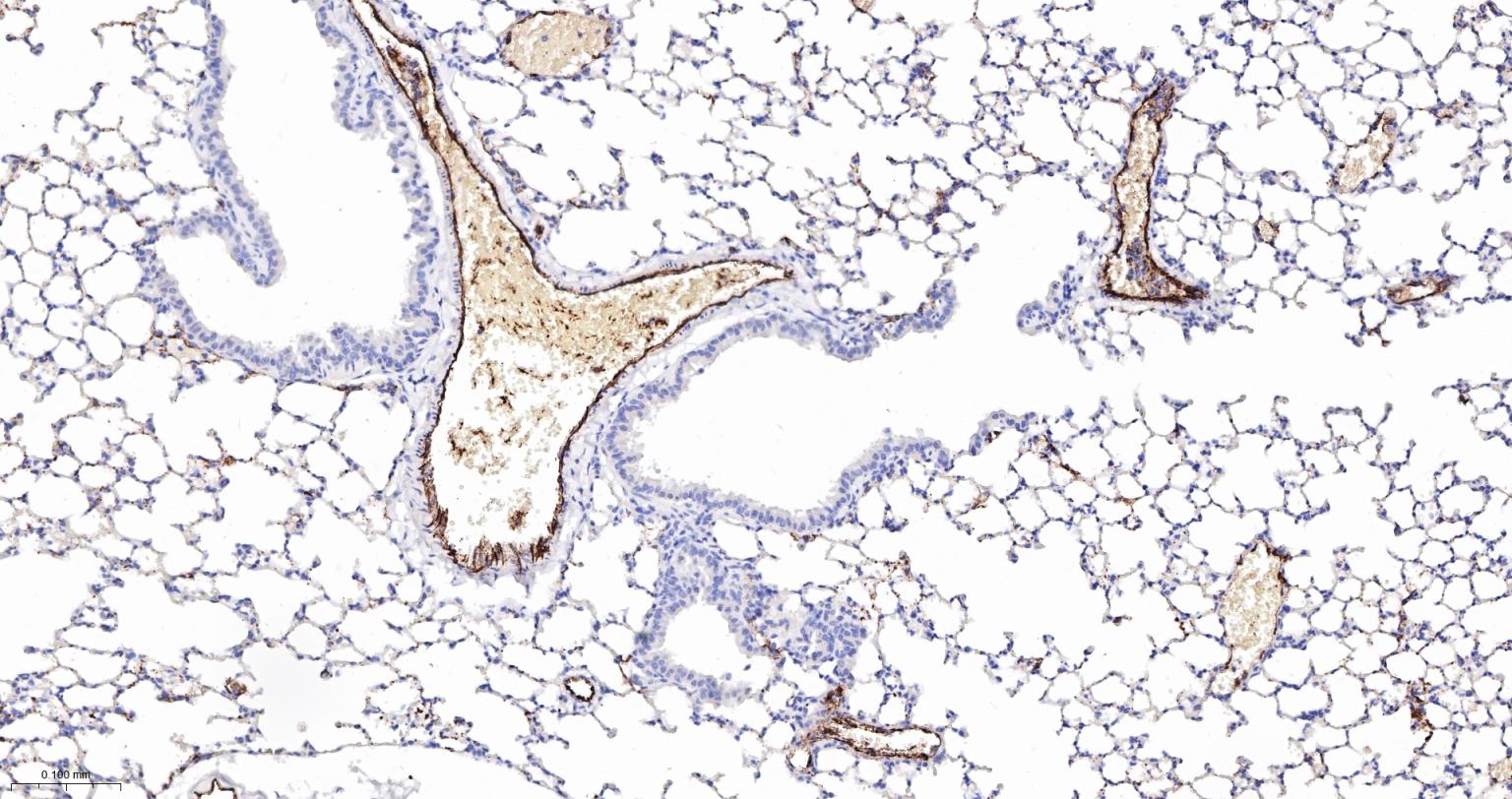
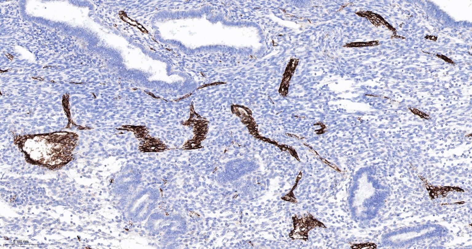
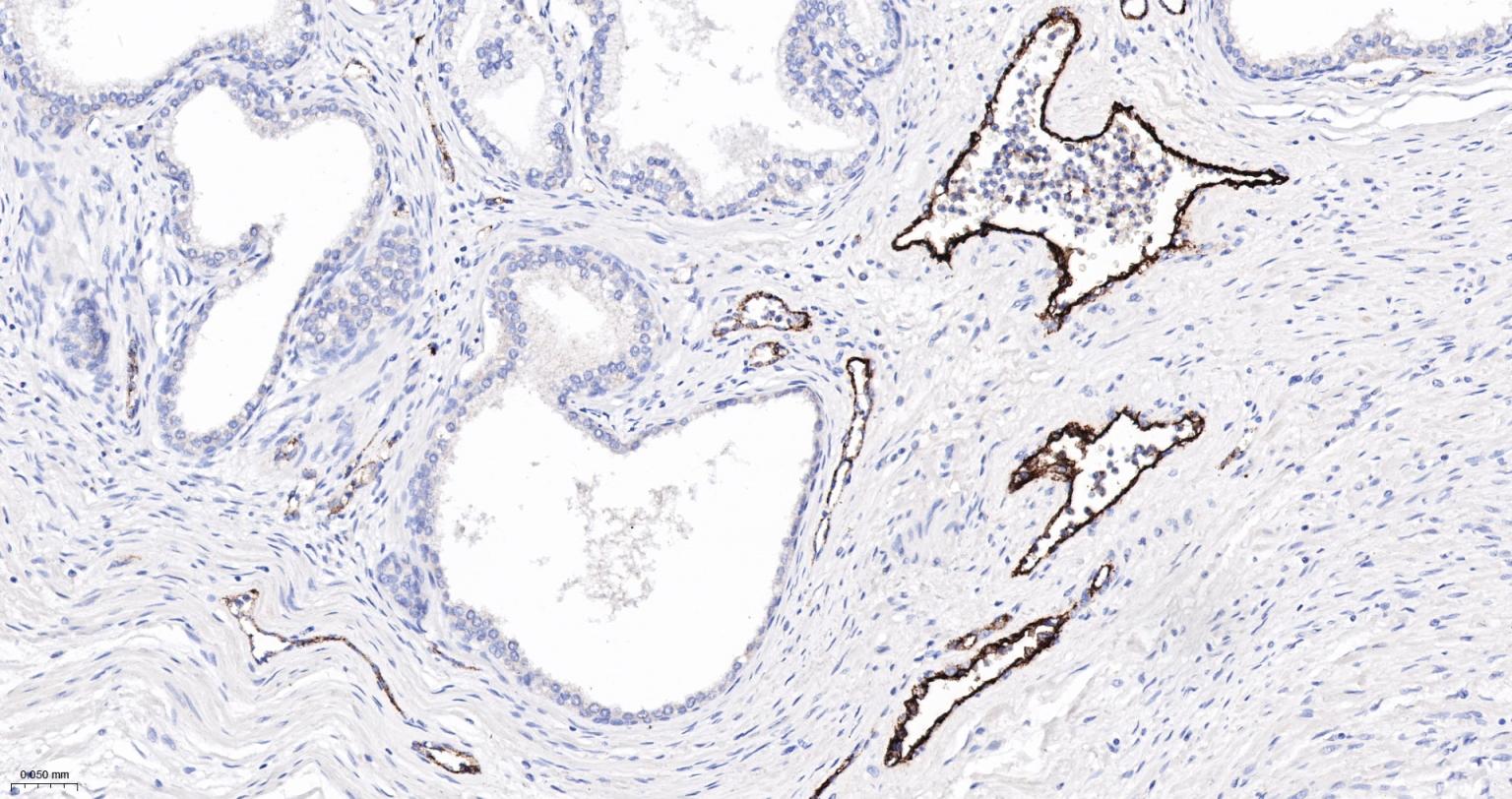
| IHC-P | Human, Mouse | 1:800-2000 | |
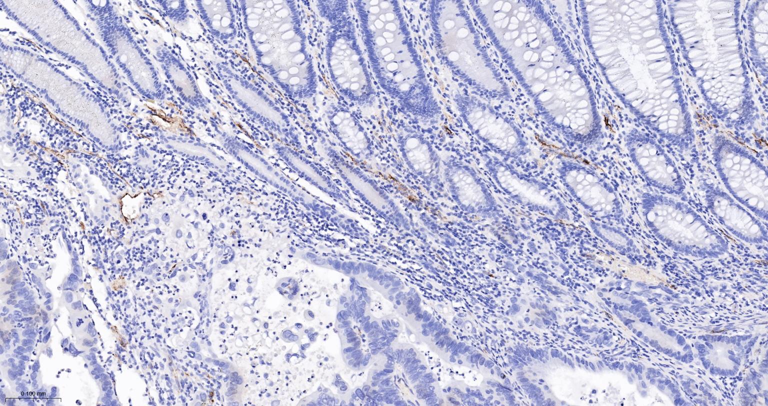
| IHC-F | Human, Mouse | 1:800-2000 | |
| IF | Human, Mouse | 1:800-2000 |
交叉反应: Human, Mouse
暂无相关产品
暂无标记数据
暂无同靶标产品
暂无相关文献
暂无常见问题