周期素B2重组兔单抗

Rrmab?兔单抗
2026-03-02~2026-04-30,KXJ26032026-03-02~2026-04-30,促销赠品
周期素B2重组兔单抗
货号:bsm-52045R
产品详情
相关标记
相关产品
相关文献
常见问题

概述

产品编号
bsm-52045R
产品类型
重组兔单抗、mIHC精品抗体
英文名称
Cyclin B2 Recombinant Rabbit mAb
中文名称
周期素B2重组兔单抗
英文别名
HsT17299; CycB2; CCNB2_HUMAN; CCNB2; CCNB2_MOUSE;
抗体来源
Rabbit
免疫原
Recombinant human Cyclin B2 protein (1-150a)
亚型
IgG
性状
Liquid
纯化方法
affinity purified by Protein A
克隆类型
Recombinant
克隆号
2F4
理论分子量
45 kDa
浓度
1mg/ml
储存液
0.01M TBS (pH7.4) with 1% BSA, 0.02% Proclin300 and 50% Glycerol.
SWISS
Gene ID
保存条件
Shipped at 4℃. Store at -20℃ for one year. Avoid repeated freeze/thaw cycles.
注意事项
This product as supplied is intended for research use only, not for use in human, therapeutic or diagnostic applications.
背景资料
Cyclin B2 belongs to a the highly conserved cyclin family, whose members are characterized by a dramatic periodicity in protein abundance through the cell cycle. Cyclins function as regulators of CDK kinases. Different cyclins exhibit distinct expression and degradation patterns which contribute to the temporal coordination of each mitotic event. Cyclin B2 has been shown to be expressed in testis and brain, as well as in several leukemic cell lines, and is thought to primarily function in the control of the germline meiotic cell cycle. This cyclin binds both CDK2 and CDC2 kinases, which give two distinct kinase activities, one appearing in S phase, the other in G2, and thus regulate separate functions in cell cycle. This cyclin was found to bind to important cell cycle regulators, such as Rb family proteins, transcription factor E2F-1, and the p21 family proteins.
周期素B2重组兔单抗周期素B2重组兔单抗周期素B2重组兔单抗周期素B2重组兔单抗

产品应用

应用已检合格种属预测种属推荐稀释比例
WBHumanMouse, Rat1:500-2000
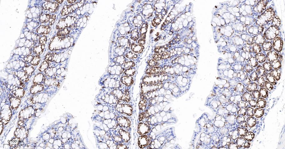
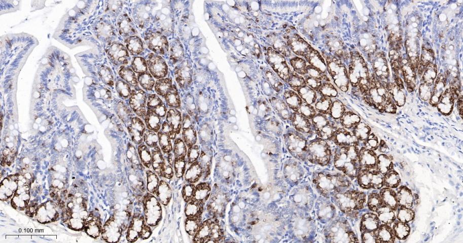
IHC-PMouse, RatHuman1:50-200
IHC-FMouse, RatHuman1:50-200
IFMouse, RatHuman1:50-200
ICC/IFHuman, Mouse, Rat1:50-200

交叉反应

交叉反应: Human, Mouse, Rat

相关产品

暂无相关产品

靶标

基因名
CCNB2
蛋白名
G2/mitotic-specific cyclin-B2
亚基
Interacts with the CDK1 protein kinase to form a serine/threonine kinase holoenzyme complex also known as maturation promoting factor (MPF). The cyclin subunit imparts substrate specificity to the complex.
相似性
Belongs to the cyclin family. Cyclin AB subfamily.
功能
Essential for the control of the cell cycle at the G2/M (mitosis) transition.

标记抗体

暂无标记数据

同靶标产品

暂无同靶标产品

相关文献

提示: 发表研究结果有使用 bsm-52045R 时请让我们知道,以便我们可以引用参考文章。作为回馈,资料提供者将获得我们送上的小礼品。

暂无相关文献

常见问题

暂无常见问题