Aurora A Recombinant Rabbit mAb (一抗) - IHC-P,IHC-F,IF,ICC/IF | Bioss

Rrmab?兔单抗
2026-05-01~2026-06-30,AB2605
Aurora A Recombinant Rabbit mAb (一抗) - IHC-P,IHC-F,IF,ICC/IF | Bioss
货号:bsm-52018R
产品详情
相关标记
相关产品
相关文献
常见问题

概述

产品编号
bsm-52018R
产品类型
重组兔单抗
英文名称
Aurora A Recombinant Rabbit mAb
中文名称
有丝分裂激酶A与重组兔单抗
英文别名
AIK; ARK1; AURA; BTAK; PPP1R47; STK15; STK6; STK7; AIRK1; ARK-1; Aurora-A; Ayk1; IAK; IAK1; AURKA_HUMAN; AURKA; Aurora 2; Aurora/IPL1-related kinase 1 (ARK-1 | Aurora-related kinase 1); Breast tumor-amplified kinase; Ipl1- and aurora-related kinase 1; Serine/threonine-protein kinase 15; Serine/threonine-protein kinase 6; Serine/threonine-protein kinase Ayk1; Serine/threonine-protein kinase aurora-A; 2.7.11.1; AURKA_MOUSE;
抗体来源
Rabbit
免疫原
A synthesized peptide derived from human Aurora kinase A: 1-48/403
亚型
IgG
性状
Liquid
纯化方法
affinity purified by Protein A
克隆类型
Recombinant
克隆号
1A7
理论分子量
48 kDa
浓度
1mg/ml
储存液
0.01M TBS (pH7.4) with 1% BSA, 0.02% Proclin300 and 50% Glycerol.
SWISS
Gene ID
保存条件
Shipped at 4℃. Store at -20℃ for one year. Avoid repeated freeze/thaw cycles.
注意事项
This product as supplied is intended for research use only, not for use in human, therapeutic or diagnostic applications.
产品介绍
细胞的有丝分裂是生物体最基本的生命活动过程,能将复制的基因组精确地分配到下一代子细胞中,在长期的生物进化过程中,生物体形成了一整套完善的监测机制以确保遗传物质精确地分配到子细胞中。
Aurora激酶(极光激酶)是细胞有丝分裂调控网络中的一类重要的丝氨酸/苏氨酸激酶,Aurora酪氨酸激酶B也是丝氨酸/苏氨酸激酶家族成员之一,目前分为aurora A,B及C。
背景资料
Aurora A plays a role in cell cycle regulation during anaphase and/or telophase, in relation to the function of the centrosome/spindle pole region during chromosome segregation. Aurora A plays a key role during tumor development and progression and is overexpressed in many human cancers including breast, ovarian and colorectal. Aurora A is viewed as a potential target for anticancer drug treatment.

Aurora B is a mitotic protein kinase that phosphorylates histone H3 (probably on Serine 10), behaves as a chromosomal passenger protein, and may regulate several stages of mitosis such as centrosome separation, chromosome segregation and cytokinesis. It localizes to the inner centromere region from prophase to anaphase.

The Aurora kinases, members of the Ser/Thr protein kinase family, associate with microtubules during chromosome movement and segregation. Aurora kinase C may play a part in organizing microtubules in relation to the function of the centrosome/spindle pole during mitosis. This protein is localized to centrosome from anaphase to cytokinesis. Expression is limited to testis in normal cells. Elevated expression levels are seen only in a subset of cancer cells such as HepG2, HuH7 and HeLa cells. Aurora-C expression is maximum at M phase.
有丝分裂激酶A与重组兔单抗-bsm-52018R有丝分裂激酶A与重组兔单抗-bsm-52018R有丝分裂激酶A与重组兔单抗-bsm-52018R有丝分裂激酶A与重组兔单抗-bsm-52018R有丝分裂激酶A与重组兔单抗-bsm-52018R

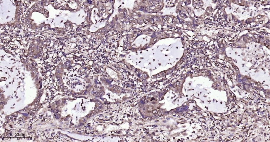
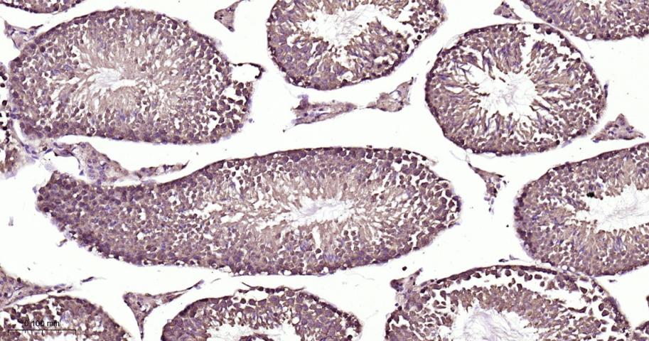
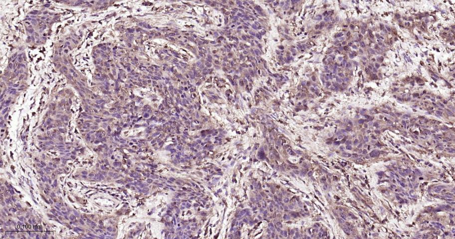
产品应用

应用已检合格种属预测种属推荐稀释比例
IHC-PHuman, Mouse, Rat1:50-200
IHC-FHuman, Mouse, Rat1:50-200
IFHuman, Mouse, Rat1:50-200
ICC/IFHuman, Mouse, Rat1:50-200

交叉反应

交叉反应: Human, Mouse, Rat

相关产品

暂无相关产品

靶标

基因名
AURKA
蛋白名
Aurora kinase A
亚基
Interacts with FBXL7 (By similarity). Interacts with CPEB1, JTB, TACC1, TPX2, PPP2CA, as well as with the protein phosphatase type 1 (PP1) isoforms PPP1CA, PPP1CB and PPP1CC. Interacts also with its substrates ARHGEF2, BORA, BRCA1, KIF2A, PARD3, and p53/TP53. Interaction with BORA promotes phosphorylation of PLK1. Interacts with PIFO. Interacts with GADD45A, competing with its oligomerization. Interacts (via C-terminus) with AUNIP (via C-terminus). Identified in a complex with AUNIP and NIN. Interacts with FRY; this interaction facilitates AURKA-mediated PLK1 phosphorylation.
亚细胞定位
Cytoplasm, cytoskeleton, centrosome. Cytoplasm, cytoskeleton, spindle pole. Note=Detected at the neurite hillock in developing neurons (By similarity). Localizes at the centrosome in mitotic cells from early prophase until telophase, but also localizes to the spindle pole MTs from prophase to anaphase. Moves to the midbody during both telophase and cytokinesis. Associates with both the pericentriolar material (PCM) and centrioles.
组织特异性
Highly expressed in testis and weakly in skeletal muscle, thymus and spleen. Also highly expressed in colon, ovarian, prostate, neuroblastoma, breast and cervical cancer cell lines.
翻译后修饰
Activated by phosphorylation at Thr-288; this brings about a change in the conformation of the activation segment. Phosphorylation at Thr-288 varies during the cell cycle and is highest during M phase. Autophosphorylated at Thr-288 upon TPX2 binding. Thr-288 can be phosphorylated by several kinases, including PAK and PKA. Protein phosphatase type 1 (PP1) binds AURKA and inhibits its activity by dephosphorylating Thr-288 during mitosis. Phosphorylation at Ser-342 decreases the kinase activity. PPP2CA controls degradation by dephosphorylating Ser-51 at the end of mitosis.
Ubiquitinated by the E3 ubiquitin-protein ligase complex SCF(FBXL7) during mitosis, leading to its degradation by the proteasome. Ubiquitinated by CHFR, leading to its degradation by the proteasome (By similarity). Ubiquitinated by the anaphase-promoting complex (APC), leading to its degradation by the proteasome.
相似性
Belongs to the protein kinase superfamily. Ser/Thr protein kinase family. Aurora subfamily.
Contains 1 protein kinase domain.
功能
Contributes to the regulation of cell cycle progression. Required for normal mitosis. Associates with the centrosome and the spindle microtubules during mitosis and functions in centrosome maturation, spindle assembly, maintenance of spindle bipolarity, centrosome separation and mitotic checkpoint control. Phosphorylates numerous target proteins, including ARHGEF2, BRCA1, KIF2A, NDEL1, PARD3, PLK1 and BORA. Regulates KIF2A tubulin depolymerase activity (By similarity). Required for normal axon formation. Plays a role in microtubule remodeling during neurite extension. Important for microtubule formation and/or stabilization.

同靶标产品

相关文献

提示: 发表研究结果有使用 bsm-52018R 时请让我们知道,以便我们可以引用参考文章。作为回馈,资料提供者将获得我们送上的小礼品。
具体参考文献:bsm-52018R 被引用于1文献中

常见问题