




| 应用 | 已检合格种属 | 预测种属 | 推荐稀释比例 |
|---|---|---|---|
| WB | Human | Mouse, Rat, Dog | 1:500-2000 |
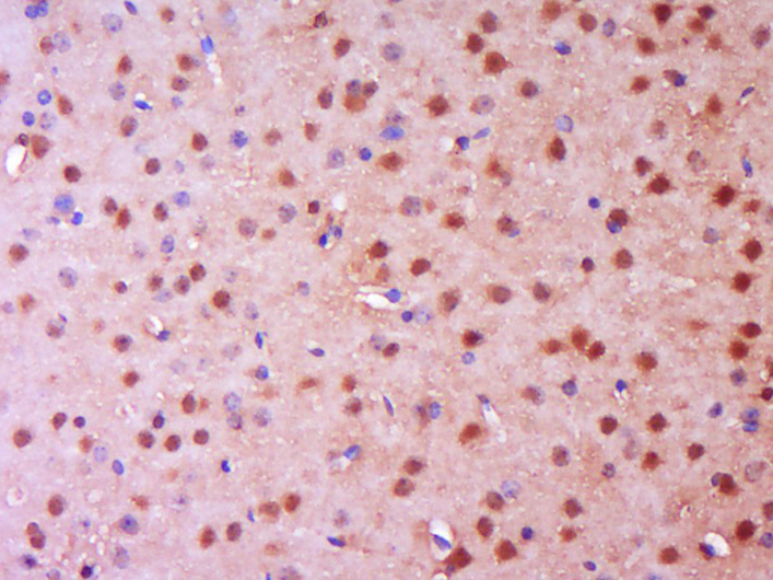
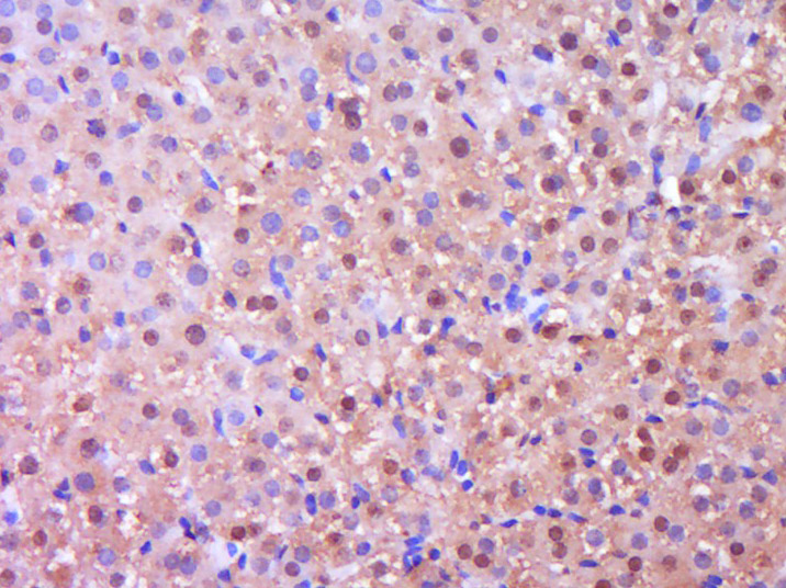
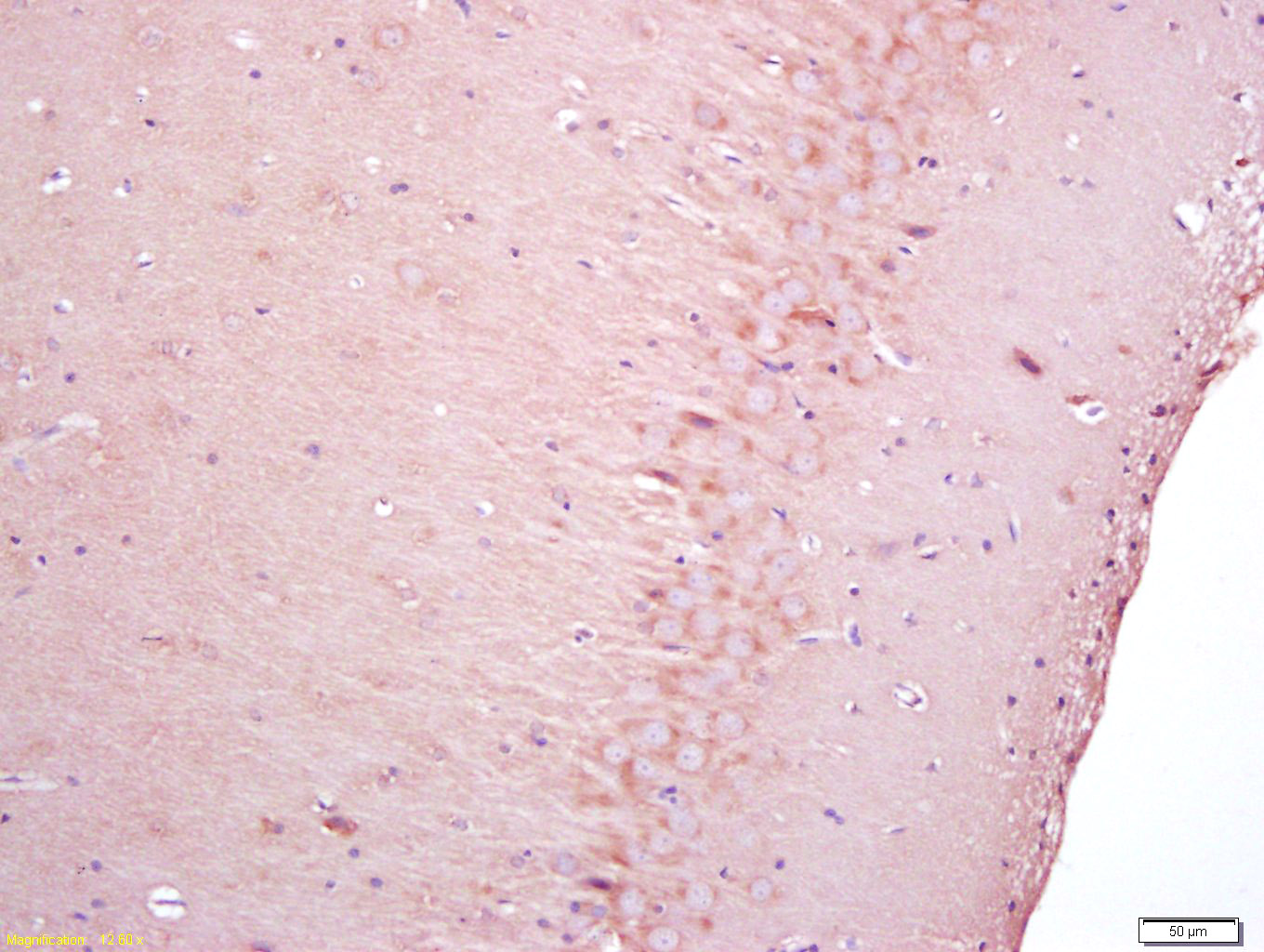
| IHC-P | Mouse, Rat | Human, Dog | 1:100-500 |
| IHC-F | Mouse, Rat | Human, Dog | 1:100-500 |
| IF | Mouse, Rat | Human, Dog | 1:100-500 |
| Flow-Cyt | Mouse | Human, Rat, Dog | 1μg/Test |
交叉反应: Human, Mouse, Rat (predicted: Dog)
暂无相关产品