干扰素调节因子3重组兔单抗

KO/KD Validated Rrmab?兔单抗
2026-03-02~2026-04-30,KXJ26032026-03-02~2026-04-30,促销赠品
干扰素调节因子3重组兔单抗
货号:bsm-52116R
产品详情
相关标记
相关产品
相关文献
常见问题

概述

产品编号
bsm-52116R
产品类型
重组兔单抗、KO/KD Validated
英文名称
IRF3 Recombinant Rabbit mAb
中文名称
干扰素调节因子3重组兔单抗
英文别名
IIAE7; C920001K05Rik; IRF-3; IRF3_HUMAN; IRF3; IRF3_MOUSE;
抗体来源
Rabbit
免疫原
A synthesized peptide derived from human IRF3: 82-123
亚型
IgG
性状
Liquid
纯化方法
affinity purified by Protein A
克隆类型
Recombinant
克隆号
4C3
理论分子量
47 kDa
浓度
1mg/1ml
储存液
0.01M TBS (pH7.4) with 1% BSA, 0.02% Proclin300 and 50% Glycerol.
SWISS
Gene ID
保存条件
Shipped at 4℃. Store at -20℃ for one year. Avoid repeated freeze/thaw cycles.
注意事项
This product as supplied is intended for research use only, not for use in human, therapeutic or diagnostic applications.
产品介绍
干扰素调节因子家族是一大类对干扰素起调控作用的转录因子的统称。 一般认为干扰素调节因子(IRF)通过调节干扰素的表达而行使其抗病毒、应激、免疫调节功能。近年来,研究人员发现IRF在细胞凋亡、细胞周期、细胞分化、肿瘤发生中也起着重要的调节作用。
背景资料
This gene encodes a member of the interferon regulatory transcription factor (IRF) family. The encoded protein is found in an inactive cytoplasmic form that upon serine/threonine phosphorylation forms a complex with CREBBP. This complex translocates to the nucleus and activates the transcription of interferons alpha and beta, as well as other interferon-induced genes. Alternatively spliced transcript variants encoding multiple isoforms have been observed for this gene. [provided by RefSeq, Nov 2011].
干扰素调节因子3重组兔单抗干扰素调节因子3重组兔单抗干扰素调节因子3重组兔单抗干扰素调节因子3重组兔单抗干扰素调节因子3重组兔单抗干扰素调节因子3重组兔单抗干扰素调节因子3重组兔单抗干扰素调节因子3重组兔单抗干扰素调节因子3重组兔单抗干扰素调节因子3重组兔单抗干扰素调节因子3重组兔单抗

产品应用

应用已检合格种属预测种属推荐稀释比例
WBHumanMouse, Rat1:1000-5000
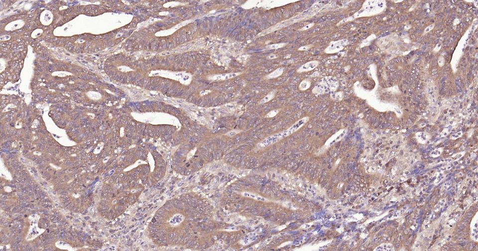
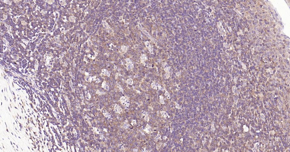
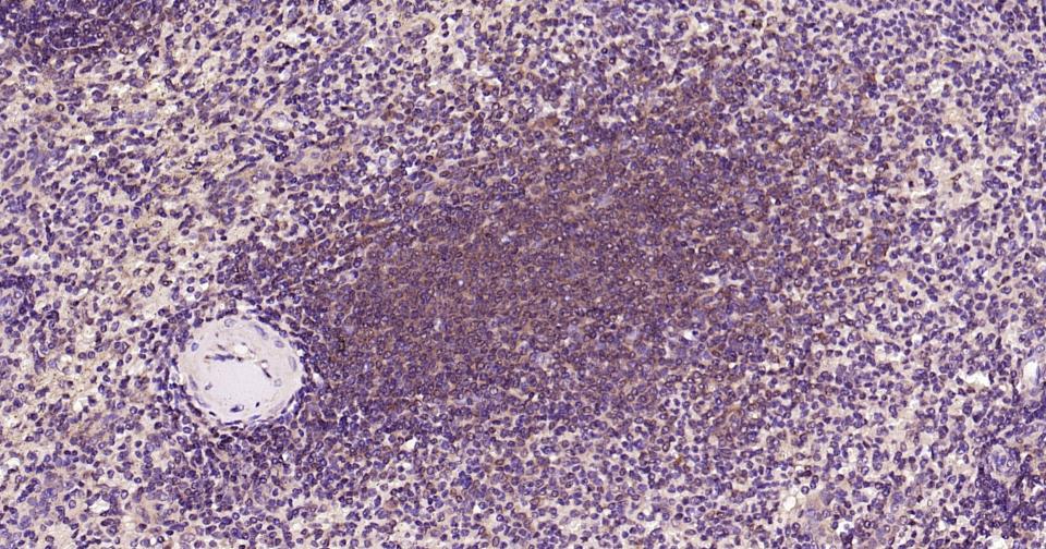
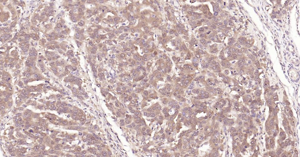
IHC-PHuman, MouseRat1:100-500
IHC-FHuman, MouseRat1:100-500
IFHuman, MouseRat1:100-500

交叉反应

交叉反应: Human, Mouse (predicted: Rat)

相关产品

暂无相关产品

靶标

基因名
IRF3
蛋白名
Interferon regulatory factor 3
亚基
Monomer. Homodimer; phosphorylation-induced. Heterodimer with IRF7. Interacts with CREBBP. May interact with MAVS. Interacts with IKBKE and TBK1. Interacts with TICAM1 and TICAM2. Interacts with rotavirus A NSP1 (via C-terminus); this interaction leads to the proteasome-dependent degradation of IRF3. Interacts with RBCK1. Interacts with TRIM21. Interacts with HERC5.
亚细胞定位
Cytoplasm. Nucleus. Note=Shuttles between cytoplasmic and nuclear compartments, with export being the prevailing effect. When activated, IRF3 interaction with CREBBP prevents its export to the cytoplasm.
组织特异性
Expressed constitutively in a variety of tissues.
翻译后修饰
Constitutively phosphorylated on many serines residues. C-terminal serine/threonine cluster is phosphorylated in response of induction by IKBKE and TBK1. Ser-385 and Ser-386 may be specifically phosphorylated in response to induction. An alternate model propose that the five serine/threonine residues between 396 and 405 are phosphorylated in response to a viral infection. Phosphorylation, and subsequent activation of IRF3 is inhibited by vaccinia virus protein E3.
Ubiquitinated; ubiquitination involves RBCK1 leading to proteasomal degradation. Polyubiquitinated; ubiquitination involves TRIM21 leading to proteasomal degradation.
ISGylated by HERC5 resulting in sustained IRF3 activation and in the inhibition of IRF3 ubiquitination by disrupting PIN1 binding. The phosphorylation state of IRF3 does not alter ISGylation.
相似性
Belongs to the IRF family.
Contains 1 IRF tryptophan pentad repeat DNA-binding domain.
功能
Key transcriptional regulator of type I interferon (IFN)-dependent immune responses and plays a critical role in the innate immune response against DNA and RNA viruses. Regulates the transcription of type I IFN genes (IFN-alpha and IFN-beta) and IFN-stimulated genes (ISG) by binding to an interferon-stimulated response element (ISRE) in their promoters. Acts as a more potent activator of the IFN-beta (IFNB) gene than the IFN-alpha (IFNA) gene and plays a critical role in both the early and late phases of the IFNA/B gene induction. Found in an inactive form in the cytoplasm of uninfected cells and following viral infection, double-stranded RNA (dsRNA), or toll-like receptor (TLR) signaling, becomes phosphorylated by IKBKE and TBK1 kinases. This induces a conformational change, leading to its dimerization and nuclear localization and association with CREB binding protein (CREBBP) to form dsRNA-activated factor 1 (DRAF1), a complex which activates the transcription of the type I IFN and ISG genes. Can activate distinct gene expression programs in macrophages and can induce significant apoptosis in primary macrophages.

标记抗体

暂无标记数据

同靶标产品

暂无同靶标产品

相关文献

提示: 发表研究结果有使用 bsm-52116R 时请让我们知道,以便我们可以引用参考文章。作为回馈,资料提供者将获得我们送上的小礼品。
具体参考文献:bsm-52116R 被引用于1文献中

暂无相关文献

常见问题

暂无常见问题