神经细胞粘附分子配体1重组兔单抗

Rrmab?兔单抗
2026-03-02~2026-04-30,KXJ26032026-03-02~2026-04-30,促销赠品
神经细胞粘附分子配体1重组兔单抗
货号:bsm-52926R
产品详情
相关标记
相关产品
相关文献
常见问题

概述

产品编号
bsm-52926R
产品类型
重组兔单抗、mIHC精品抗体
英文名称
CD171/L1CAM Recombinant Rabbit mAb
中文名称
神经细胞粘附分子配体1重组兔单抗
英文别名
CAML1; CD171; HSAS; HSAS1; HYCX; MASA; MIC5; N-CAM-L1; N-CAML1; NCAM-L1; S10; SPG1; L1; Hyd; N-CAM L1; NCAML1; NgCAM; L1CAM_HUMAN; L1CAM; L1CAM_MOUSE; L1CAM_RAT; Nerve-growth factor-inducible large external glycoprotein (NILE);
抗体来源
Rabbit
免疫原
A synthesized peptide derived from human NCAM L1: 900-1150/1257
亚型
IgG
性状
Liquid
纯化方法
affinity purified by Protein A
克隆类型
Recombinant
克隆号
1C3
理论分子量
138 kDa
浓度
1mg/ml
储存液
1*TBS (pH7.4), 0.05% BSA, 40% Glycerol. Preservative: 0.02% Proclin300.
SWISS
Gene ID
保存条件
Shipped at 4℃. Store at -20℃ for one year. Avoid repeated freeze/thaw cycles.
注意事项
This product as supplied is intended for research use only, not for use in human, therapeutic or diagnostic applications.
产品介绍
NCAM-L1又称L1细胞粘附分子(L1CAM)是一种细胞表面糖蛋白,属于免疫球蛋白超家族的神经细胞粘附分子家族。L1CAM可能在神经系统发育过程中发挥作用。
背景资料
L1cam (L1 cell adhesion molecule isoform 1 precursor) is an axonal glycoprotein belonging to the immunoglobulin supergene family. The ectodomain, consisting of several immunoglobulin-like domains and fibronectin-like repeats (type III), is linked via a single transmembrane sequence to a conserved cytoplasmic domain. This cell adhesion molecule plays an important role in nervous system development, including neuronal migration and differentiation. Mutations in the gene cause three X-linked neurological syndromes known by the acronym CRASH (corpus callosum hypoplasia, retardation, aphasia, spastic paraplegia and hydrocephalus). Alternative splicing of a neuron-specific exon is thought to be functionally relevant. [provided by RefSeq].
神经细胞粘附分子配体1重组兔单抗神经细胞粘附分子配体1重组兔单抗神经细胞粘附分子配体1重组兔单抗神经细胞粘附分子配体1重组兔单抗神经细胞粘附分子配体1重组兔单抗

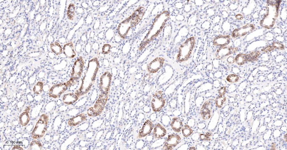
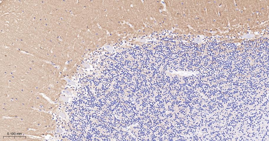
产品应用

应用已检合格种属预测种属推荐稀释比例
WBHuman1:1000-5000
IHC-PHuman1:200-800
IHC-FHuman1:200-800
IFHuman1:200-800

交叉反应

交叉反应: Human

相关产品

暂无相关产品

靶标

基因名
L1CAM
蛋白名
Neural cell adhesion molecule L1
亚细胞定位
Cell membrane; Single-pass type I membrane protein.
疾病
Defects in L1CAM are the cause of hydrocephalus due to stenosis of the aqueduct of Sylvius (HSAS) [MIM:307000]. Hydrocephalus is a condition in which abnormal accumulation of cerebrospinal fluid in the brain causes increased intracranial pressure inside the skull. This is usually due to blockage of cerebrospinal fluid outflow in the brain ventricles or in the subarachnoid space at the base of the brain. In children is typically characterized by enlargement of the head, prominence of the forehead, brain atrophy, mental deterioration, and convulsions. In adults the syndrome includes incontinence, imbalance, and dementia. HSAS is characterized by mental retardation and enlarged brain ventricles.
Defects in L1CAM are the cause of mental retardation-aphasia-shuffling gait-adducted thumbs syndrome (MASA) [MIM:303350]; also known as corpus callosum hypoplasia, psychomotor retardation, adducted thumbs, spastic paraparesis, and hydrocephalus or CRASH syndrome. MASA is an X-linked recessive syndrome with a highly variable clinical spectrum. Main clinical features include spasticity and hyperreflexia of lower limbs, shuffling gait, mental retardation, aphasia and adducted thumbs. The features of spasticity have been referred to as complicated spastic paraplegia type 1 (SPG1). Some patients manifest corpus callosum hypoplasia and hydrocephalus. Inter- and intrafamilial variability is very wide, such that patients with hydrocephalus, MASA, SPG1, and agenesis of corpus callosum can be present within the same family.
Defects in L1CAM are the cause of spastic paraplegia X-linked type 1 (SPG1) [MIM:303350]. Spastic paraplegia is a degenerative spinal cord disorder characterized by a slow, gradual, progressive weakness and spasticity of the lower limbs.
Note=Defects in L1CAM may contribute to Hirschsprung disease by modifying the effects of Hirschsprung disease-associated genes to cause intestinal aganglionosis.
Defects in L1CAM are a cause of partial agenesis of the corpus callosum (ACCPX) [MIM:304100]. A syndrome characterized by partial corpus callosum agenesis, hypoplasia of inferior vermis and cerebellum, mental retardation, seizures and spasticity. Other features include microcephaly, unusual facies, and Hirschsprung disease in some patients.
相似性
Belongs to the immunoglobulin superfamily. L1/neurofascin/NgCAM family.
Contains 5 fibronectin type-III domains.
Contains 6 Ig-like C2-type (immunoglobulin-like) domains.
功能
Cell adhesion molecule with an important role in the development of the nervous system. Involved in neuron-neuron adhesion, neurite fasciculation, outgrowth of neurites, etc. Binds to axonin on neurons.

标记抗体

暂无标记数据

同靶标产品

暂无同靶标产品

相关文献

提示: 发表研究结果有使用 bsm-52926R 时请让我们知道,以便我们可以引用参考文章。作为回馈,资料提供者将获得我们送上的小礼品。

暂无相关文献

常见问题

暂无常见问题