


















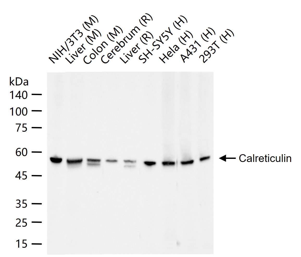
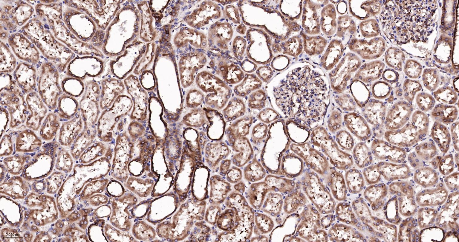
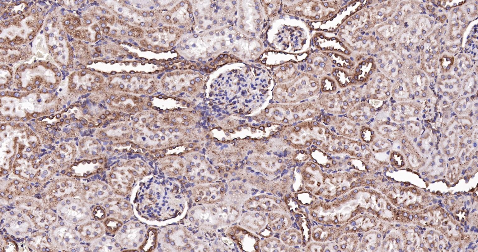
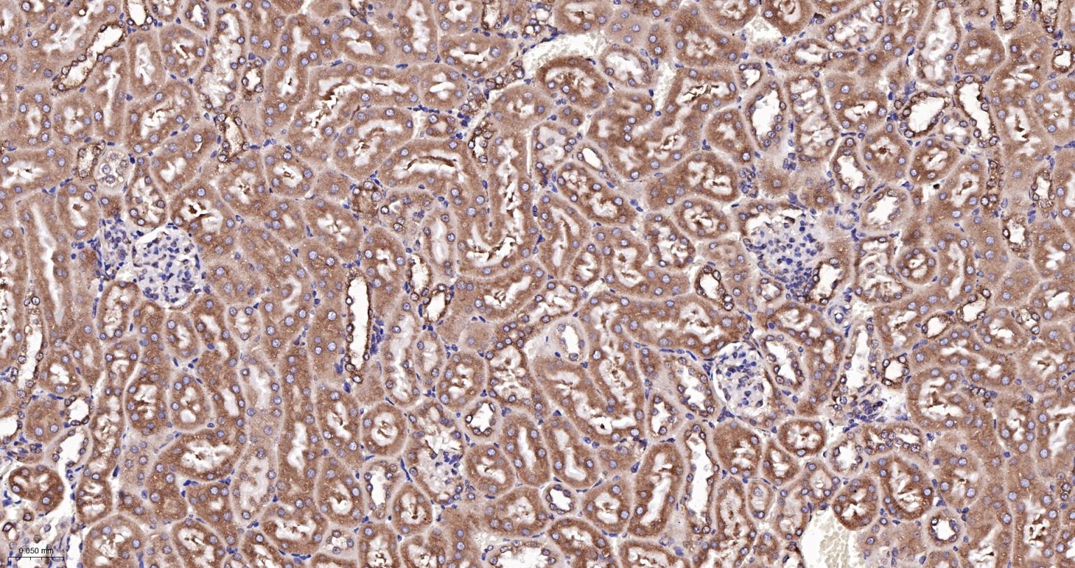
| 应用 | 已检合格种属 | 预测种属 | 推荐稀释比例 |
|---|---|---|---|
| WB | Human, Mouse, Rat | 1:2000-10000 | |
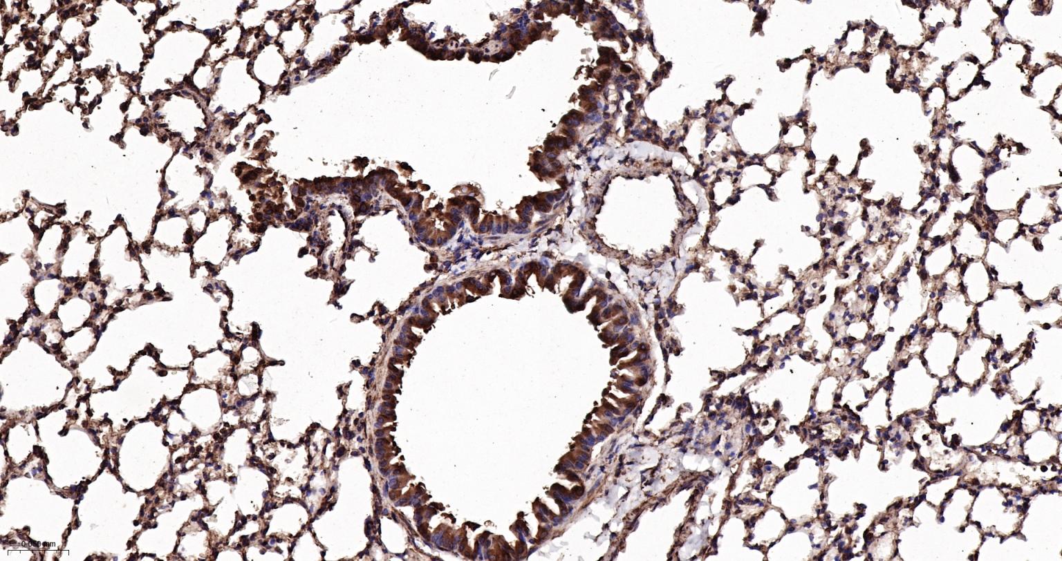
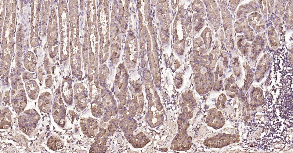
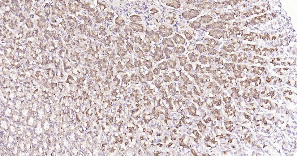
| IHC-P | Human, Mouse, Rat | 1:200-800 | |
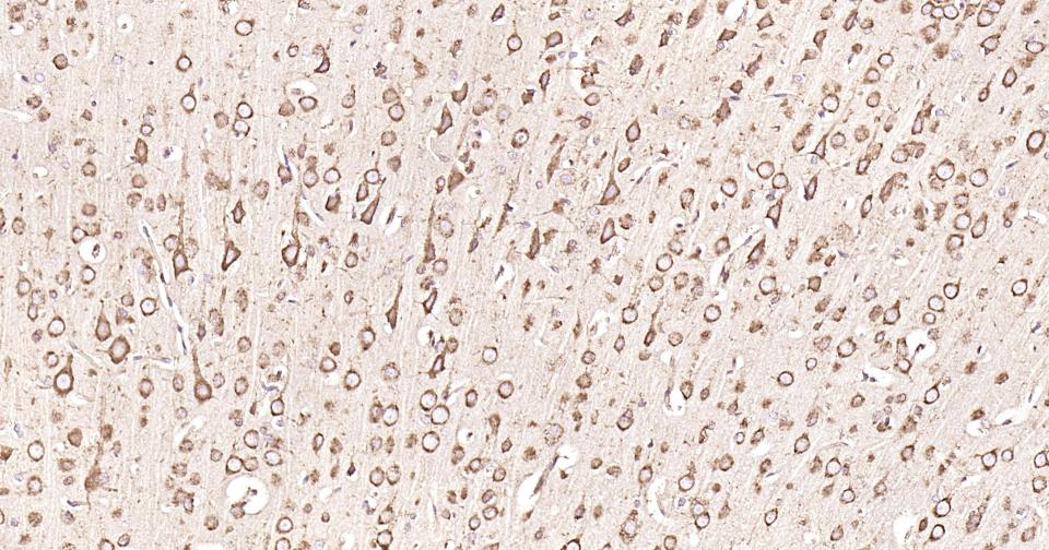
| IHC-F | Human, Mouse, Rat | 1:200-800 | |
| IF | Human, Mouse, Rat | 1:200-800 | |
| Flow-Cyt | Human | Mouse, Rat | 1:50-100 |
| ICC/IF | Human | Mouse, Rat | 1:100-200 |
交叉反应: Human, Mouse, Rat
暂无相关产品