Cancer > Cell Death > Autophagy > Signal Transduction
Cancer > Oncoproteins/suppressors > Tumor suppressors
Cancer > Signal transduction > Autophagy
Epigenetics and Nuclear Signaling > Transcription > Cancer susceptibility > Tumor Suppressors
Metabolism > Pathways and Processes > Metabolism processes > Autophagy and mitophagy
Microbiology > Interspecies Interaction > Host Immune Response











| 应用 | 已检合格种属 | 预测种属 | 推荐稀释比例 |
|---|---|---|---|
| WB | Mouse, Rat | Human, Rabbit | 1:500-1000 |
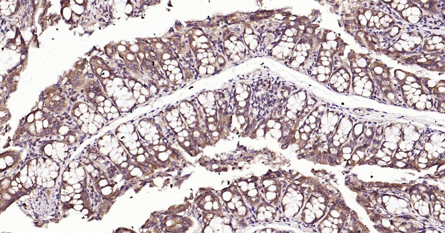
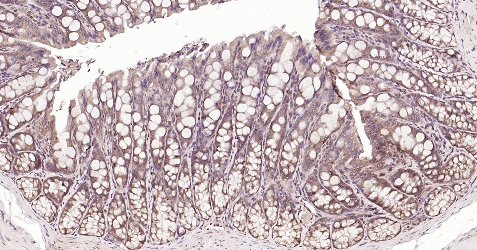
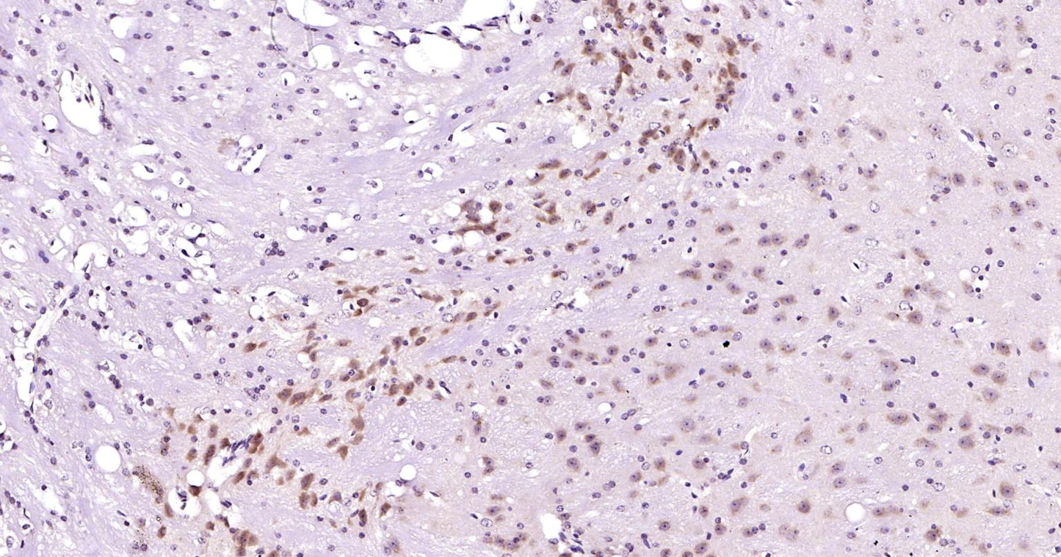
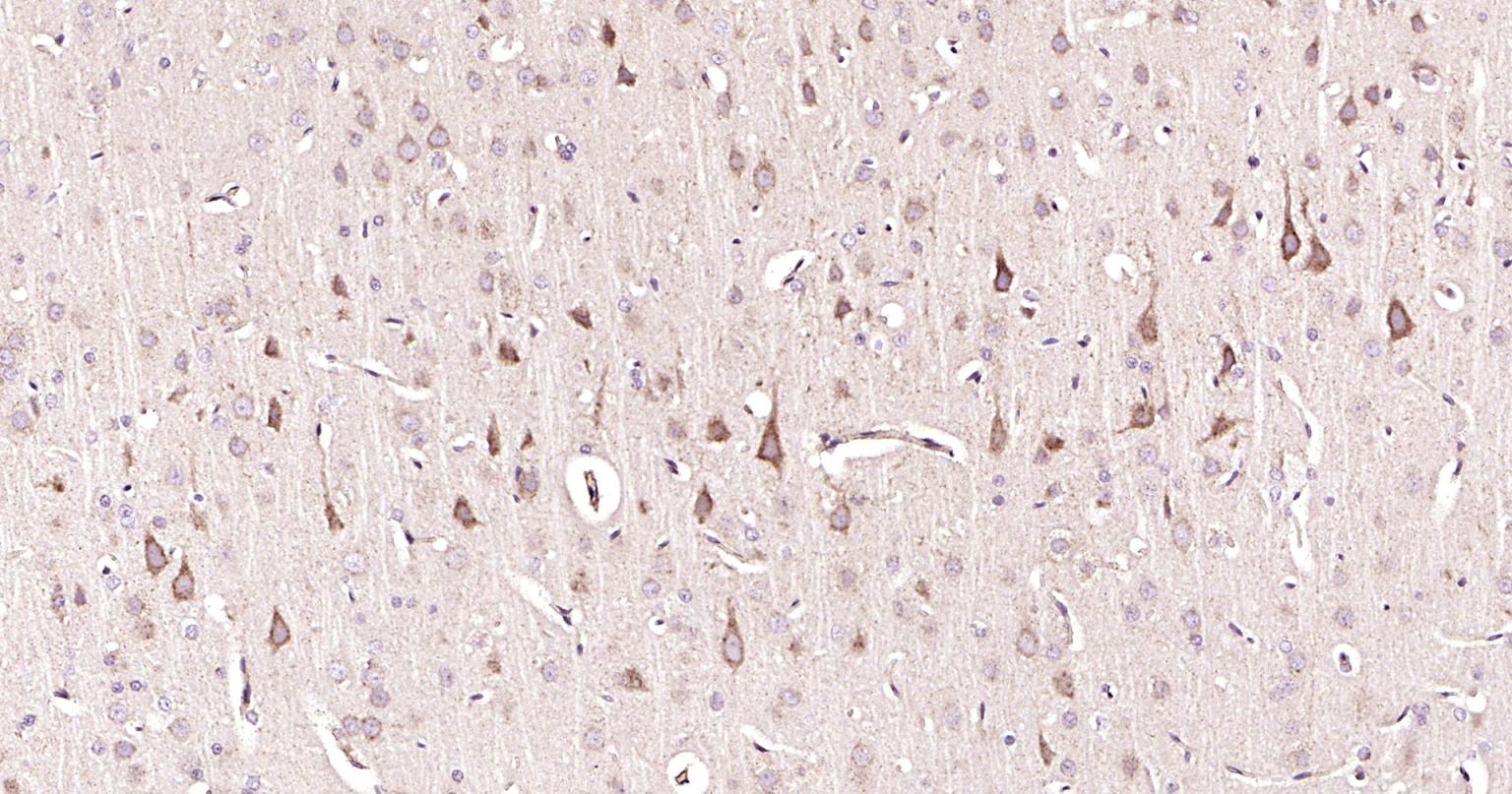
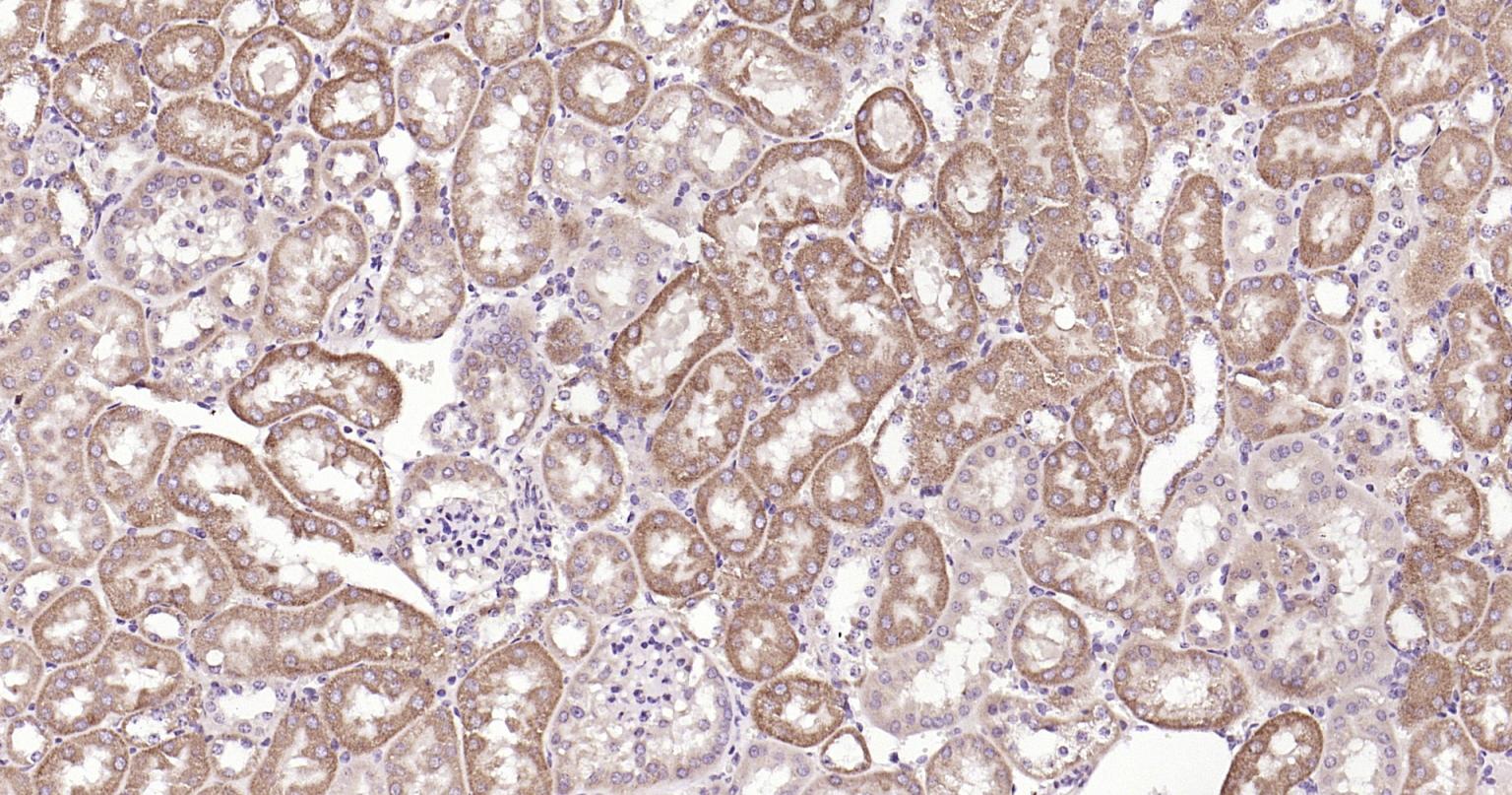
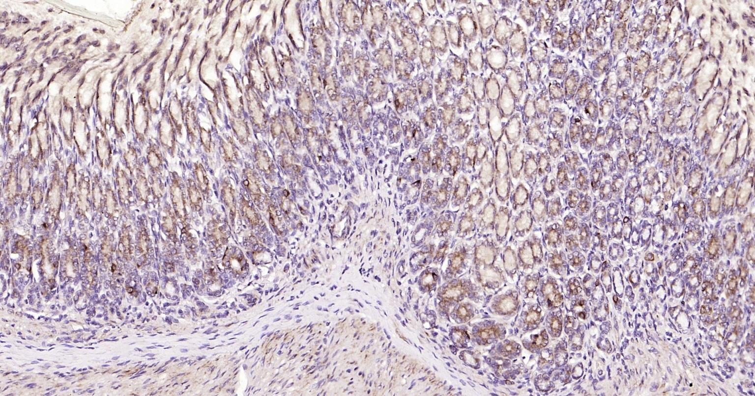
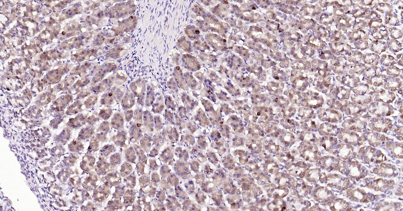
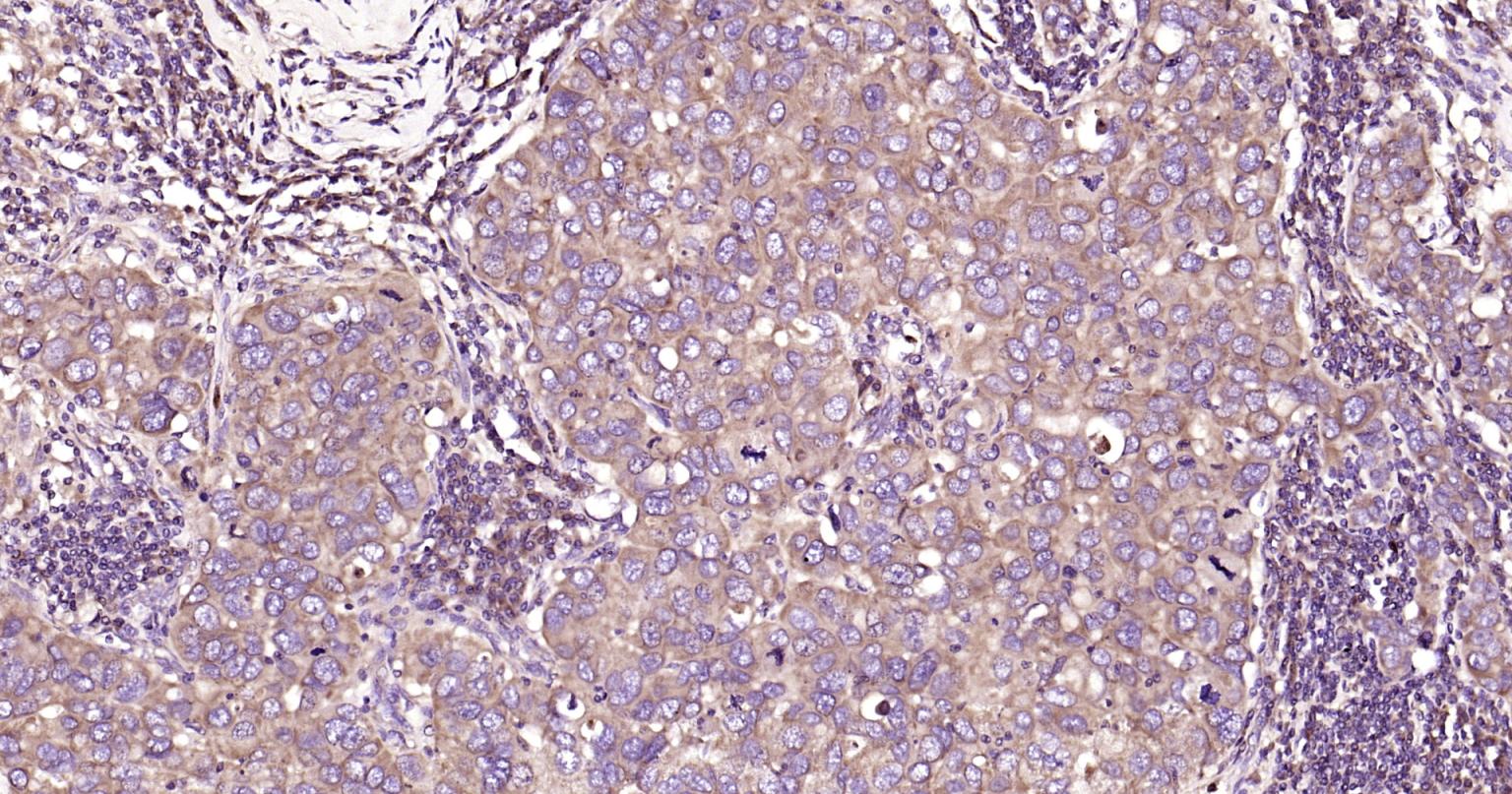
| IHC-P | Human, Mouse, Rat | Rabbit | 1:400-800 |
| IHC-F | Human, Mouse, Rat | Rabbit | 1:400-800 |
| IF | Human, Mouse, Rat | Rabbit | 1:100-500 |
交叉反应: Human, Mouse, Rat (predicted: Rabbit)
暂无相关产品