Cancer > Growth factors > Insulin and insulin-like
Cardiovascular > Atherosclerosis > Diabetes associated
Developmental Biology > Lineage specification > Endoderm
Developmental Biology > Organogenesis > Gut development > Pancreas development
Epigenetics and Nuclear Signaling > Transcription > Other factors
Metabolism > Types of disease > Diabetes
Signal Transduction > Growth Factors/Hormones > Insulin / Insulin-like



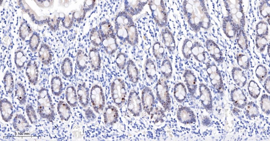
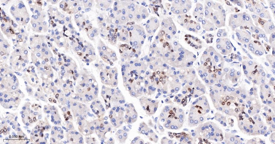
| 应用 | 已检合格种属 | 预测种属 | 推荐稀释比例 |
|---|---|---|---|
| WB | Human | 1:500-2000 | |
| IHC-P | Human | 1:50-200 | |
| IHC-F | Human | 1:50-200 | |
| IF | Human | 1:50-200 | |
| ICC/IF | Human | 1:50-200 |
交叉反应: Human
暂无相关产品
暂无标记数据
暂无同靶标产品
暂无相关文献
暂无常见问题