Cardiovascular > Lipids / Lipoproteins > Lipid Metabolism > Cytochromes
Metabolism > Pathways and Processes > Cofactors, Vitamins / minerals > Vitamins / minerals
Metabolism > Pathways and Processes > Metabolic signaling pathways > Lipid and lipoprotein metabolism > Lipases
Metabolism > Pathways and Processes > Mitochondrial Metabolism > Cytochromes














| 应用 | 已检合格种属 | 预测种属 | 推荐稀释比例 |
|---|---|---|---|
| WB | Human, Mouse | Rat | 1:500-1000 |
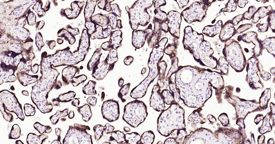
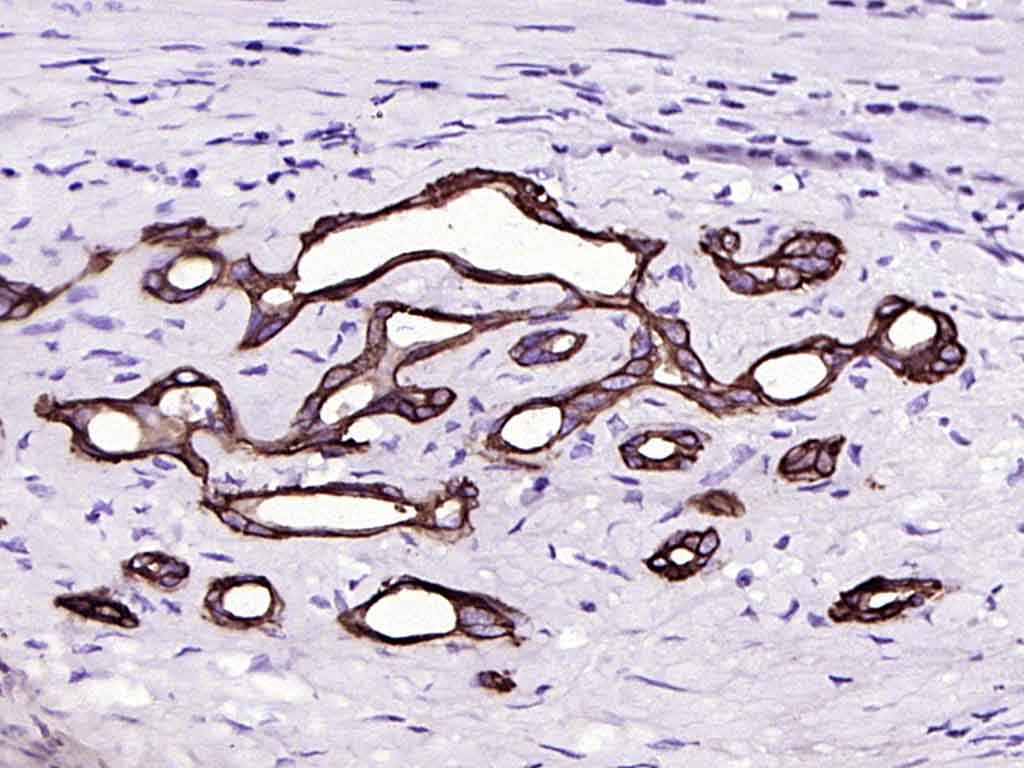
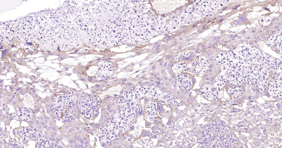
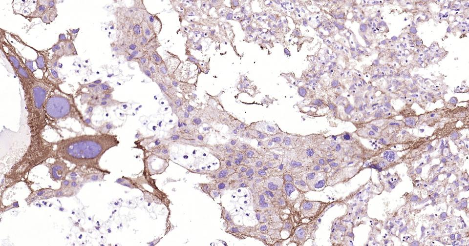
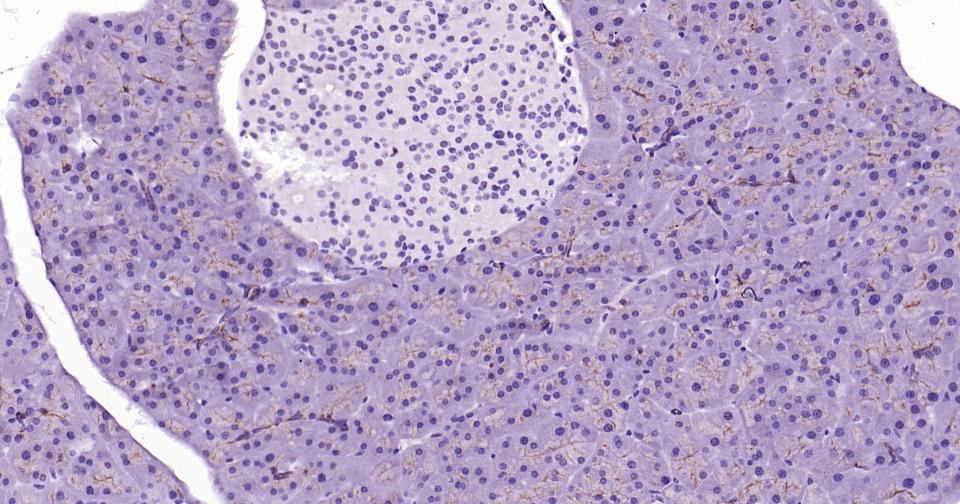
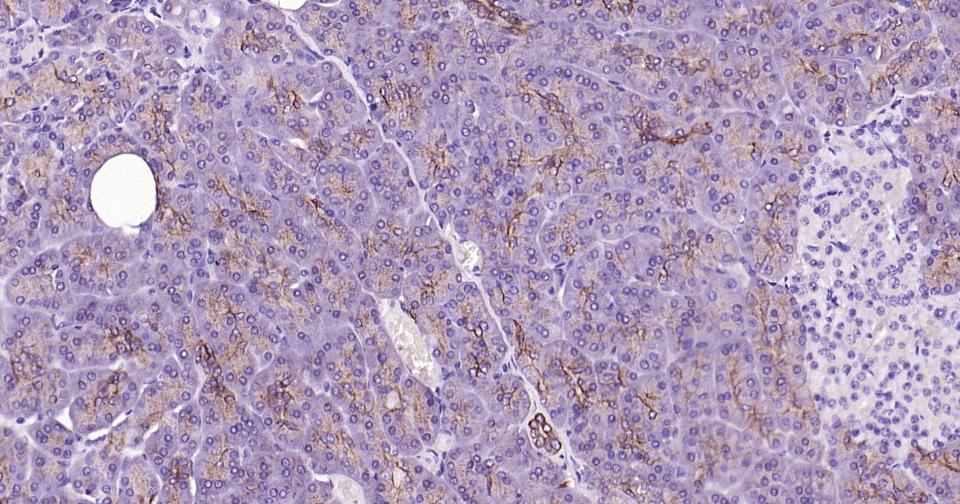
| IHC-P | Human, Mouse, Rat | 1:100-500 | |
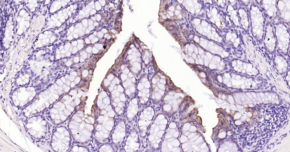
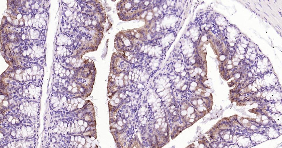
| IHC-F | Human, Mouse, Rat | 1:100-500 | |
| IF | Human, Mouse, Rat | 1:100-500 |
交叉反应: Human, Mouse, Rat
暂无相关产品
暂无标记数据
暂无同靶标产品
暂无相关文献
暂无常见问题