磷酸化ATM(Ser1981)重组兔单抗

Rrmab?兔单抗
2026-03-02~2026-04-30,KXJ26032026-03-02~2026-04-30,促销赠品
磷酸化ATM(Ser1981)重组兔单抗
货号:bsm-54103R
产品详情
相关标记
相关产品
相关文献
常见问题

概述

产品编号
bsm-54103R
产品类型
磷酸化抗体、重组兔单抗
英文名称
phospho-ATM (Ser1981) Recombinant Rabbit mAb
中文名称
磷酸化ATM(Ser1981)重组兔单抗
英文别名
ATM (phospho-S1981); p-ATM; phospho-ATM; ATM (phospho-Ser1981); AT1; ATA; ATC; ATD; ATDC; ATE; TEL1; TELO1; C030026E19Rik; ATM_HUMAN; ATM; Ataxia telangiectasia mutated (A-T mutated); 2.7.11.1; ATM_MOUSE; Ataxia telangiectasia mutated homolog (A-T mutated homolog); THIL_RAT; Acat1; Acetoacetyl-CoA thiolase; 2.3.1.9;
抗体来源
Rabbit
免疫原
A synthesized peptide derived from human ATM around the phosphorylation site of S1981: EG-pS-QS
亚型
IgG
性状
Liquid
纯化方法
affinity purified by Protein A
克隆类型
Recombinant
克隆号
3F10
理论分子量
370 kDa
浓度
1mg/ml
储存液
0.01M TBS (pH7.4) with 1% BSA, 0.02% Proclin300 and 50% Glycerol.
SWISS
Gene ID
保存条件
Shipped at 4℃. Store at -20℃ for one year. Avoid repeated freeze/thaw cycles.
注意事项
This product as supplied is intended for research use only, not for use in human, therapeutic or diagnostic applications.
背景资料
ATM is a 370 kDa nuclear phosphoprotein involved in the autosomal recessive disease Ataxia Telangiectasia (AT). ATM belongs to a novel family of proteins associated with cell cycle regulation, apoptosis, and response to DNA damage repair (DNA damage caused by such things as ionizing irradiation activates ATM kinase). The C terminal region has extensive homology to the catalytic domains of Phosphatidylinositol 3 kinases (PI3 kinases).
磷酸化ATM(Ser1981)重组兔单抗磷酸化ATM(Ser1981)重组兔单抗磷酸化ATM(Ser1981)重组兔单抗磷酸化ATM(Ser1981)重组兔单抗

产品应用

应用已检合格种属预测种属推荐稀释比例
WBHuman1:500-2000
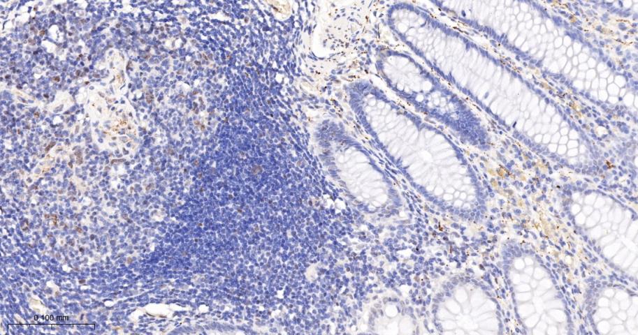
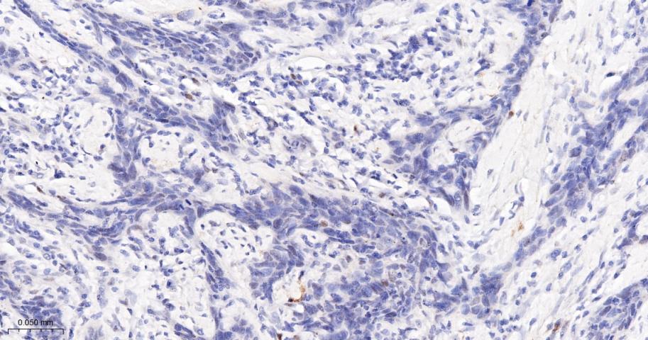
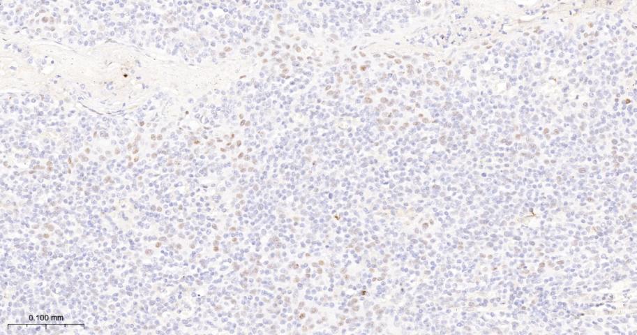
IHC-PHuman1:50-200
IHC-FHuman1:50-200
IFHuman1:50-200
ICC/IFHuman1:50-200

交叉反应

交叉反应: Human

相关产品

暂无相关产品

靶标

基因名
ATM
蛋白名
Serine-protein kinase ATM
亚基
Dimers or tetramers in inactive state. On DNA damage, autophosphorylation dissociates ATM into monomers rendering them catalytically active. Binds p53/TP53, ABL1, BRCA1, NBN/nibrin and TERF1. Part of the BRCA1-associated genome surveillance complex (BASC), which contains BRCA1, MSH2, MSH6, MLH1, ATM, BLM, PMS2 and the RAD50-MRE11-NBN protein complex. This association could be a dynamic process changing throughout the cell cycle and within subnuclear domains. Interacts with RAD17; DNA damage promotes the association. Interacts with EEF1E1; the interaction, induced on DNA damage, up-regulates TP53. Interacts with DCLRE1C, KAT8, KAT5, NABP2, ATMIN and CEP164. Interacts with AP2B1 and AP3B2; the interaction occurs in cytoplasmic vesicles (By similarity). Interacts with TELO2 and TTI1. Interacts with DDX1.
亚细胞定位
Nucleus. Cytoplasmic vesicle. Primarily nuclear. Found also in endocytic vesicles in association with beta-adaptin.
组织特异性
Found in pancreas, kidney, skeletal muscle, liver, lung, placenta, brain, heart, spleen, thymus, testis, ovary, small intestine, colon and leukocytes.
翻译后修饰
Phosphorylated by NUAK1/ARK5. Autophosphorylation on Ser-367, Ser-1893, Ser-1981 correlates with DNA damage-mediated activation of the kinase.
Acetylation, on DNA damage, is required for activation of the kinase activity, dimer-monomer transition, and subsequent autophosphorylation on Ser-1981. Acetylated in vitro by KAT5/TIP60.
疾病
Defects in ATM are the cause of ataxia telangiectasia (AT) [MIM:208900]; also known as Louis-Bar syndrome, which includes four complementation groups: A, C, D and E. This rare recessive disorder is characterized by progressive cerebellar ataxia, dilation of the blood vessels in the conjunctiva and eyeballs, immunodeficiency, growth retardation and sexual immaturity. AT patients have a strong predisposition to cancer; about 30% of patients develop tumors, particularly lymphomas and leukemias. Cells from affected individuals are highly sensitive to damage by ionizing radiation and resistant to inhibition of DNA synthesis following irradiation.
Note=Defects in ATM contribute to T-cell acute lymphoblastic leukemia (TALL) and T-prolymphocytic leukemia (TPLL). TPLL is characterized by a high white blood cell count, with a predominance of prolymphocytes, marked splenomegaly, lymphadenopathy, skin lesions and serous effusion. The clinical course is highly aggressive, with poor response to chemotherapy and short survival time. TPLL occurs both in adults as a sporadic disease and in younger AT patients.
Note=Defects in ATM contribute to B-cell non-Hodgkin lymphomas (BNHL), including mantle cell lymphoma (MCL).
Note=Defects in ATM contribute to B-cell chronic lymphocytic leukemia (BCLL). BCLL is the commonest form of leukemia in the elderly. It is characterized by the accumulation of mature CD5+ B lymphocytes, lymphadenopathy, immunodeficiency and bone marrow failure.
相似性
Belongs to the PI3/PI4-kinase family. ATM subfamily.
Contains 1 FAT domain.
Contains 1 FATC domain.
Contains 1 PI3K/PI4K domain.
功能
Serine/threonine protein kinase which activates checkpoint signaling upon double strand breaks (DSBs), apoptosis and genotoxic stresses such as ionizing ultraviolet A light (UVA), thereby acting as a DNA damage sensor. Recognizes the substrate consensus sequence [ST]-Q. Phosphorylates 'Ser-139' of histone variant H2AX/H2AFX at double strand breaks (DSBs), thereby regulating DNA damage response mechanism. Also plays a role in pre-B cell allelic exclusion, a process leading to expression of a single immunoglobulin heavy chain allele to enforce clonality and monospecific recognition by the B-cell antigen receptor (BCR) expressed on individual B lymphocytes. After the introduction of DNA breaks by the RAG complex on one immunoglobulin allele, acts by mediating a repositioning of the second allele to pericentromeric heterochromatin, preventing accessibility to the RAG complex and recombination of the second allele. Also involved in signal transduction and cell cycle control. May function as a tumor suppressor. Necessary for activation of ABL1 and SAPK. Phosphorylates p53/TP53, FANCD2, NFKBIA, BRCA1, CTIP, nibrin (NBN), TERF1, RAD9 and DCLRE1C. May play a role in vesicle and/or protein transport. Could play a role in T-cell development, gonad and neurological function. Plays a role in replication-dependent histone mRNA degradation. Binds DNA ends.

标记抗体

暂无标记数据

同靶标产品

暂无同靶标产品

相关文献

提示: 发表研究结果有使用 bsm-54103R 时请让我们知道,以便我们可以引用参考文章。作为回馈,资料提供者将获得我们送上的小礼品。
具体参考文献:bsm-54103R 被引用于2文献中

暂无相关文献

常见问题

暂无常见问题