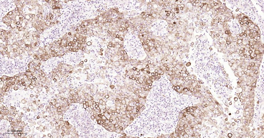
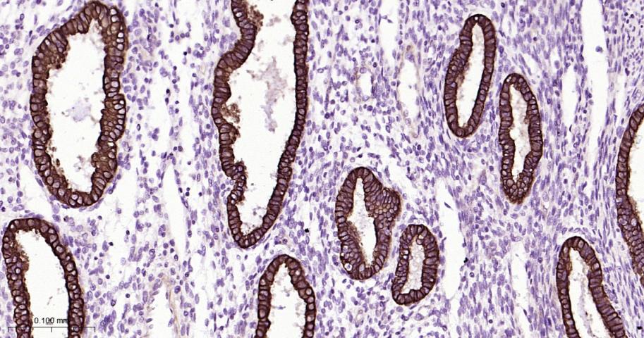
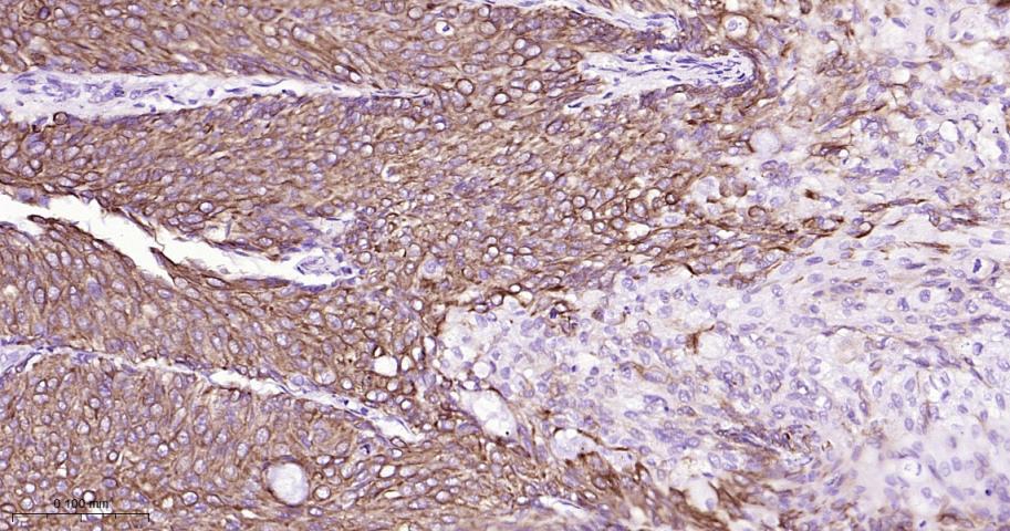
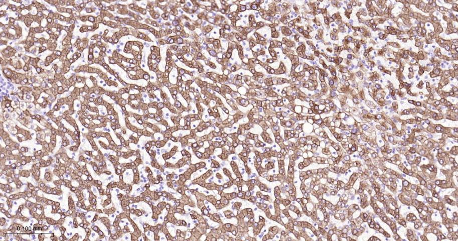
CK18 Recombinant Rabbit mAb (一抗) - WB,IHC-P,IHC-F,IF,ICC/IF | Bioss

Rrmab?兔单抗
2026-05-01~2026-06-30,AB26052026-05-01~2026-06-30,WB精选(促销赠品)
CK18 Recombinant Rabbit mAb (一抗) - WB,IHC-P,IHC-F,IF,ICC/IF | Bioss
货号:bsm-52058R
产品详情
相关标记
相关产品
相关文献
常见问题

概述

产品编号
bsm-52058R
产品类型
重组兔单抗、病理级抗体
英文名称
CK18 Recombinant Rabbit mAb
中文名称
细胞角蛋白18重组兔单抗
英文别名
CK-18; CYK18; K18; CK18; Krt1-18; K1C18_HUMAN; KRT18; Cell proliferation-inducing gene 46 protein; Cytokeratin-18 (CK-18); Keratin-18 (K18); K1C18_MOUSE; Cytokeratin endo B (Keratin D); Kerd; K1C18_RAT; keratin 18; keratin 18, type I
抗体来源
Rabbit
免疫原
A synthesized peptide derived from human Cytokeratin 18: 250-430
亚型
IgG
性状
Liquid
纯化方法
affinity purified by Protein A
克隆类型
Recombinant
克隆号
1F11
理论分子量
48 kDa
检测分子量
48 kDa
浓度
1mg/ml
储存液
0.01M TBS (pH7.4) with 1% BSA, 0.02% Proclin300 and 50% Glycerol.
SWISS
Gene ID
保存条件
Shipped at 4℃. Store at -20℃ for one year. Avoid repeated freeze/thaw cycles.
注意事项
This product as supplied is intended for research use only, not for use in human, therapeutic or diagnostic applications.
产品介绍
结构蛋白(Structural Proteins)常用于肿瘤细胞的分化、增殖及转移方面的研究。
背景资料
KRT18 encodes the type I intermediate filament chain keratin 18. Keratin 18, together with its filament partner keratin 8, are perhaps the most commonly found members of the intermediate filament gene family. They are expressed in single layer epithelial tissues of the body. Mutations in this gene have been linked to cryptogenic cirrhosis. Two transcript variants encoding the same protein have been found for this gene. [provided by RefSeq, Jul 2008]
细胞角蛋白18重组兔单抗-bsm-52058R细胞角蛋白18重组兔单抗-bsm-52058R细胞角蛋白18重组兔单抗-bsm-52058R细胞角蛋白18重组兔单抗-bsm-52058R细胞角蛋白18重组兔单抗-bsm-52058R细胞角蛋白18重组兔单抗-bsm-52058R细胞角蛋白18重组兔单抗-bsm-52058R细胞角蛋白18重组兔单抗-bsm-52058R细胞角蛋白18重组兔单抗-bsm-52058R细胞角蛋白18重组兔单抗-bsm-52058R细胞角蛋白18重组兔单抗-bsm-52058R细胞角蛋白18重组兔单抗-bsm-52058R细胞角蛋白18重组兔单抗-bsm-52058R细胞角蛋白18重组兔单抗-bsm-52058R

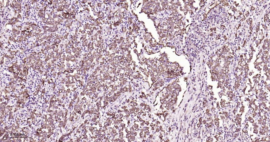
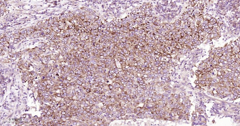
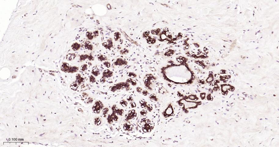
产品应用

应用已检合格种属预测种属推荐稀释比例
WBHumanMouse, Rat1:500-2000
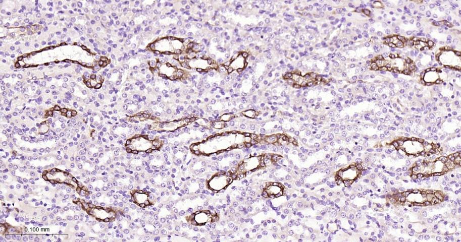
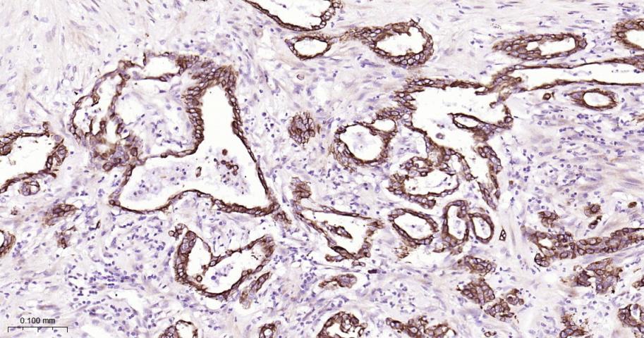
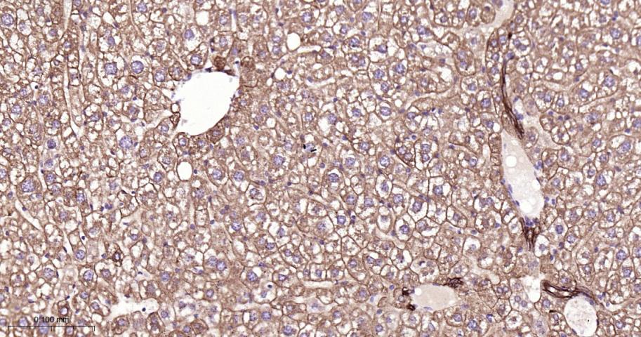
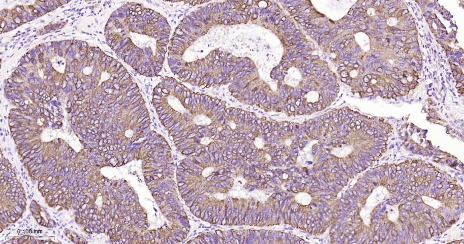
IHC-PHuman, Mouse, Rat1:100-500
IHC-FHuman, Mouse, Rat1:100-500
IFHuman, Mouse, Rat1:100-500
ICC/IFHuman, Mouse, Rat1:50-200

交叉反应

交叉反应: Human, Mouse, Rat

相关产品

暂无相关产品

靶标

基因名
KRT18
蛋白名
Keratin, type I cytoskeletal 18
亚基
Heterotetramer of two type I and two type II keratins. KRT18 associates with KRT8. Interacts with the thrombin-antithrombin complex (By similarity). Interacts with PNN, HCV core protein and mutated CFTR. Interacts with YWHAE, YWHAH and YWHAZ only when phosphorylated. Interacts with DNAJB6, TCHP and TRADD.
亚细胞定位
Cytoplasm, perinuclear region. Nucleus, nucleolus.
组织特异性
Expressed in colon, placenta, liver and very weakly in exocervix. Increased expression observed in lymph nodes of breast carcinoma.
翻译后修饰
Phosphorylation at Ser-34 increases during mitosis. Hyperphosphorylated at Ser-53 in diseased cirrhosis liver. Phosphorylation increases by IL-6.
Proteolytically cleaved by caspases during epithelial cell apoptosis. Cleavage occurs at Asp-238 by either caspase-3, caspase-6 or caspase-7.
O-GlcNAcylation increases solubility, and decreases stability by inducing proteasomal degradation.
疾病
Defects in KRT18 are a cause of cirrhosis (CIRRH) [MIM:215600].
相似性
Belongs to the intermediate filament family.
功能
When phosphorylated, plays a role in filament reorganization. Involved in the delivery of mutated CFTR to the plasma membrane. Involved in the uptake of thrombin-antithrombin complexes by hepatic cells (By similarity). Together with KRT8, is involved in interleukin-6 (IL-6)-mediated barrier protection.

同靶标产品

相关文献

提示: 发表研究结果有使用 bsm-52058R 时请让我们知道,以便我们可以引用参考文章。作为回馈,资料提供者将获得我们送上的小礼品。
具体参考文献:bsm-52058R 被引用于1文献中

常见问题