CD73重组兔单抗

Rrmab?兔单抗
2026-03-02~2026-04-30,KXJ26032026-03-02~2026-04-30,促销赠品
CD73重组兔单抗
货号:bsm-52916R
产品详情
相关标记
相关产品
相关文献
常见问题

概述

产品编号
bsm-52916R
产品类型
重组兔单抗
英文名称
CD73 Recombinant Rabbit mAb
中文名称
CD73重组兔单抗
英文别名
CALJA; CD73; E5NT; NT; NT5; NTE; eN; eNT; 5NTD_HUMAN; NT5E; 5'-NT; 5'-deoxynucleotidase; Ecto-5'-nucleotidase; IMP-specific 5'-nucleotidase; Thymidylate 5'-phosphatase; 3.1.3.35; 3.1.3.5; 3.1.3.89; 3.1.3.91; 3.1.3.99;
抗体来源
Rabbit
免疫原
Recombinant human CD73 protein
亚型
IgG
性状
Liquid
纯化方法
affinity purified by Protein A
克隆类型
Recombinant
克隆号
2C9
理论分子量
63 kDa
浓度
1mg/ml
储存液
0.01M TBS (pH7.4) with 1% BSA, 0.02% Proclin300 and 50% Glycerol.
SWISS
Gene ID
保存条件
Store at -20℃ for one year. Avoid repeated freeze/thaw cycles. The lyophilized antibody is stable at room temperature for at least one month and for greater than a year when kept at -20°C. When reconstituted in sterile pH 7.4 0.01M PBS or diluent of antibody the antibody is stable for at least two weeks at 2-4℃.
注意事项
This product as supplied is intended for research use only, not for use in human, therapeutic or diagnostic applications.
背景资料
The protein encoded by this gene is a plasma membrane protein that catalyzes the conversion of extracellular nucleotides to membrane-permeable nucleosides. The encoded protein is used as a determinant of lymphocyte differentiation. Defects in this gene can lead to the calcification of joints and arteries. Two transcript variants encoding different isoforms have been found for this gene.[provided by RefSeq, Mar 2011]
CD73重组兔单抗CD73重组兔单抗CD73重组兔单抗CD73重组兔单抗

产品应用

应用已检合格种属预测种属推荐稀释比例
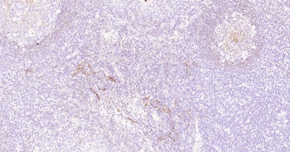
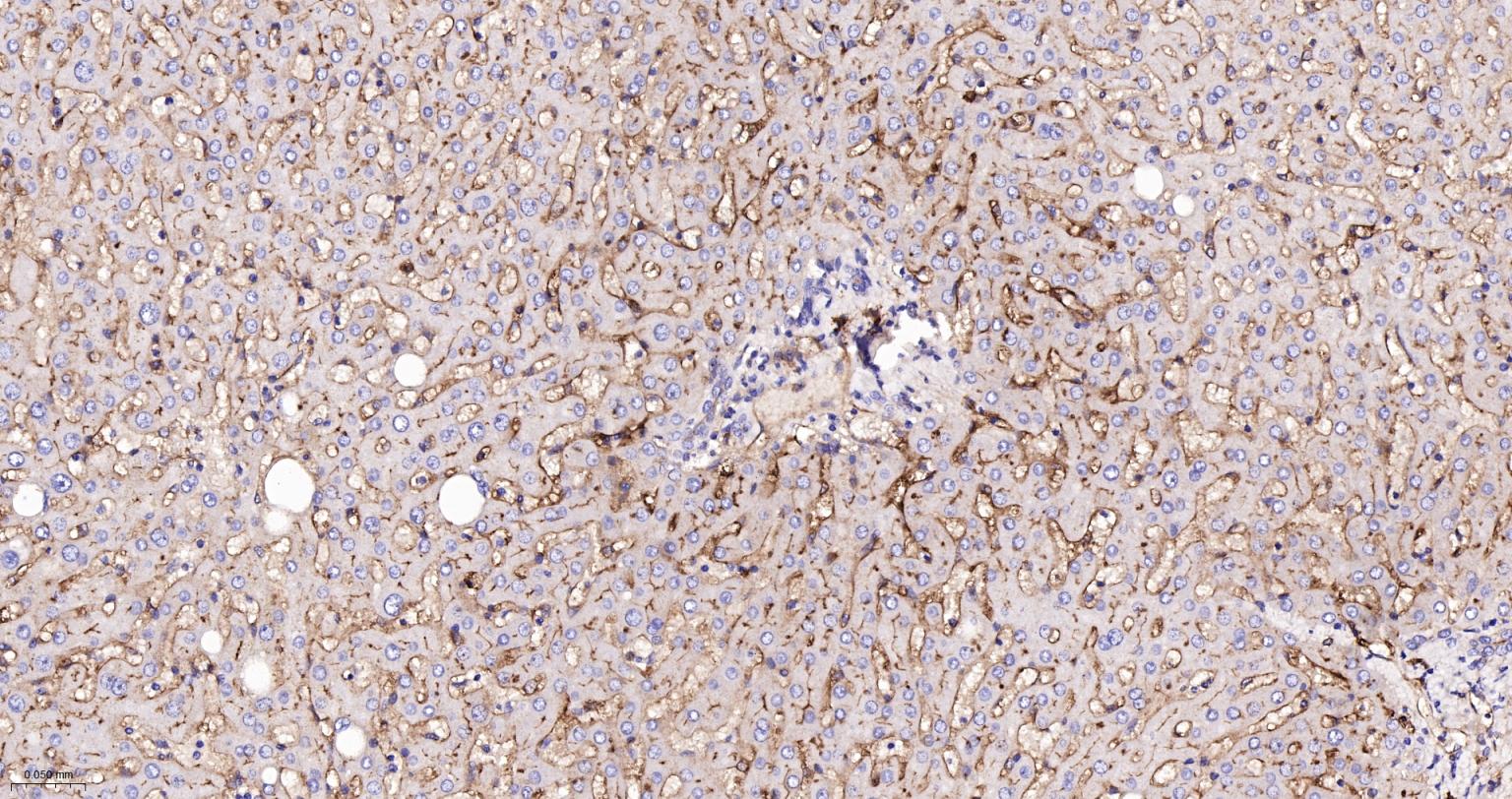
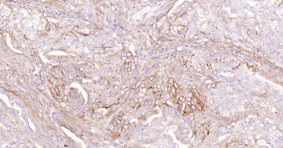
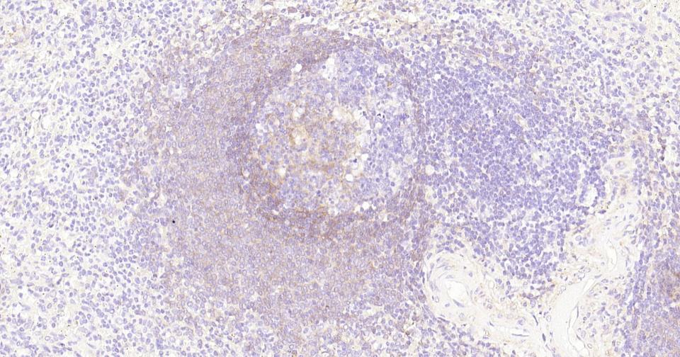
IHC-PHuman1:100-500
IHC-FHuman1:100-500
IFHuman1:100-500

交叉反应

交叉反应: Human

相关产品

暂无相关产品

靶标

基因名
Nt5e
蛋白名
5'-nucleotidase
亚细胞定位
Cell membrane.
疾病
Defects in NT5E are the cause of calcification of joints and arteries (CAJA). A condition characterized by adult-onset calcification of the lower extremity arteries, including the iliac, femoral and tibial arteries, and hand and foot capsule joints. Age of onset has been reported as early as the second decade of life, usually involving intense joint pain or calcification in the hands.
相似性
Belongs to the 5'-nucleotidase family.
功能
Hydrolyzes extracellular nucleotides into membrane permeable nucleosides.

标记抗体

暂无标记数据

同靶标产品

暂无同靶标产品

相关文献

提示: 发表研究结果有使用 bsm-52916R 时请让我们知道,以便我们可以引用参考文章。作为回馈,资料提供者将获得我们送上的小礼品。
具体参考文献:bsm-52916R 被引用于1文献中

暂无相关文献

常见问题

暂无常见问题