Cancer > Cancer Metabolism > Cellular metabolic process
Cancer > Cell Death > Apoptosis > Metabolism
Cancer > Cell Death > Apoptosis > Mitochondrial
Cell Biology > Apoptosis > Mitochondrial
Isotype/Loading Controls > Loading Controls > VDAC1 - Mitochondrial Preps
Metabolism > Pathways and Processes > Metabolic signaling pathways > Energy transfer pathways > Energy Metabolism
Metabolism > Pathways and Processes > Metabolism processes > Apoptosis
Metabolism > Pathways and Processes > Mitochondrial Metabolism > Mitochondrial markers
Metabolism > Types of disease > Cancer
Signal Transduction > Metabolism > Energy Metabolism
Signal Transduction > Metabolism > Mitochondrial
Signal Transduction > Metabolism > Plasma Membrane > Channels
Tags & Cell Markers > Subcellular Markers > Organelles > Mitochondria

















| 应用 | 已检合格种属 | 预测种属 | 推荐稀释比例 |
|---|---|---|---|
| WB | Human, Mouse, Rat | 1:500-5000 | |
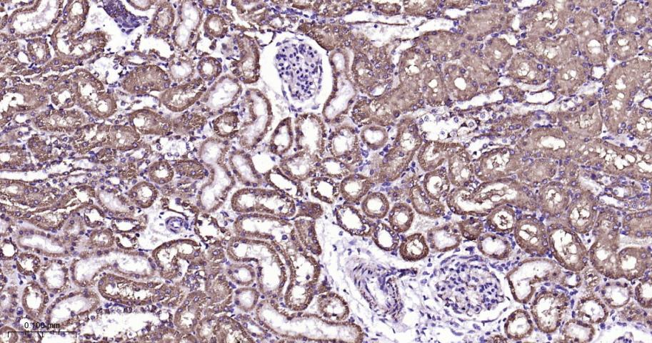
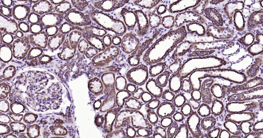
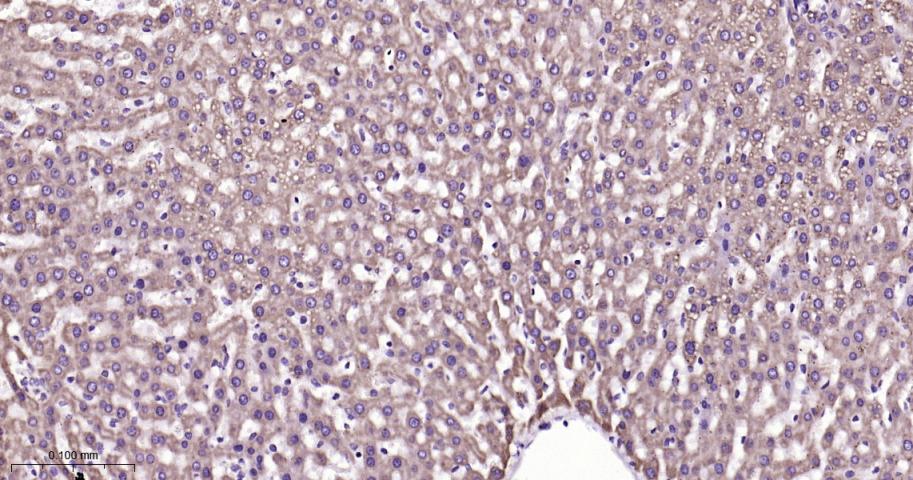
| IHC-P | Human, Mouse, Rat | 1:100-500 | |
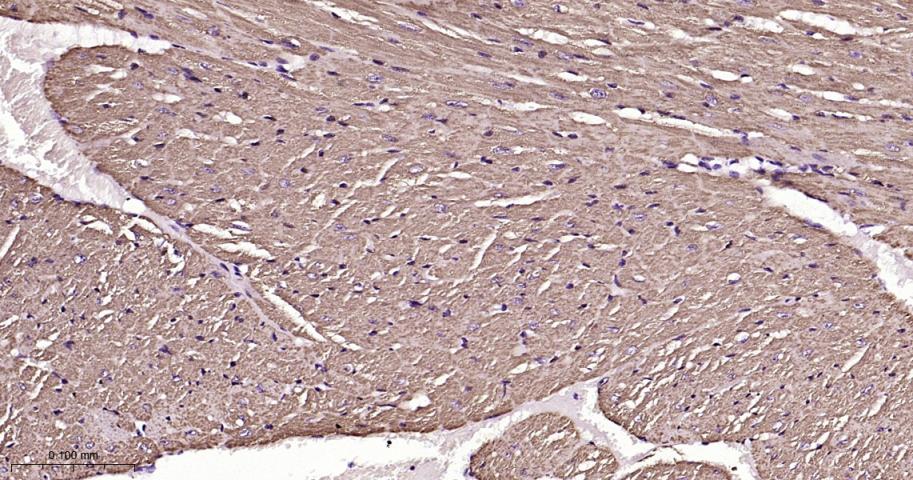
| IHC-F | Human, Mouse, Rat | 1:100-500 | |
| IF | Human, Mouse, Rat | 1:100-500 | |
| ICC/IF | Human | Mouse, Rat | 1:50-200 |
交叉反应: Human, Mouse, Rat
暂无相关产品
暂无标记数据
暂无同靶标产品
暂无相关文献
暂无常见问题