Cardiovascular > Atherosclerosis > Diabetes associated
Cardiovascular > Atherosclerosis > Vascular Inflammation > Inflammatory mediators
Neuroscience > Neurology process > Neurodegenerative disease > Alzheimer's disease
Neuroscience > Neurology process > Neurodegenerative disease > Alzheimer's disease > Amyloid







| 应用 | 已检合格种属 | 预测种属 | 推荐稀释比例 |
|---|---|---|---|
| WB | Mouse, Rat | Human | 1:500-2000 |
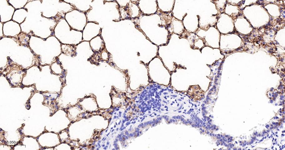
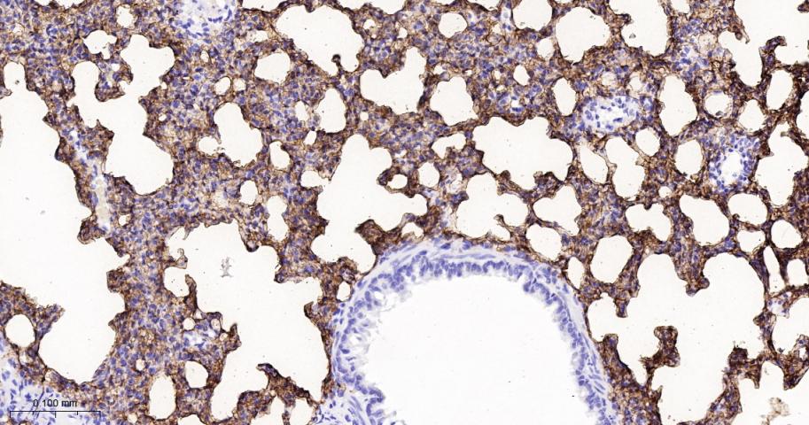
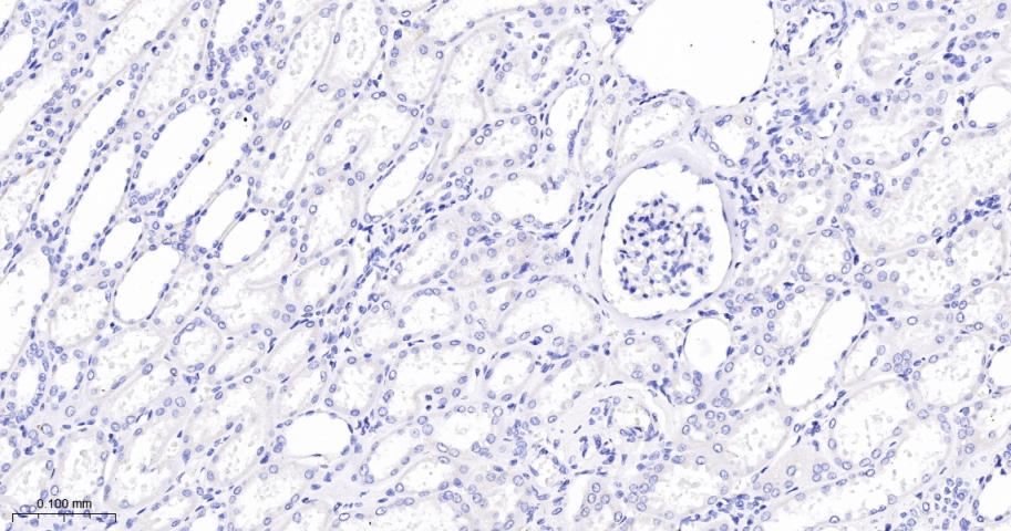
| IHC-P | Human, Mouse, Rat | 1:100-500 | |
| IHC-F | Human, Mouse, Rat | 1:100-500 | |
| IF | Human, Mouse, Rat | 1:100-500 |
交叉反应: Human, Mouse, Rat
暂无相关产品
暂无标记数据
暂无同靶标产品
暂无相关文献
暂无常见问题