



| 应用 | 已检合格种属 | 预测种属 | 推荐稀释比例 |
|---|---|---|---|
| WB | Human | Mouse, Rat, Rabbit, Pig, Cow, Chicken, Horse | 1:500-2000 |
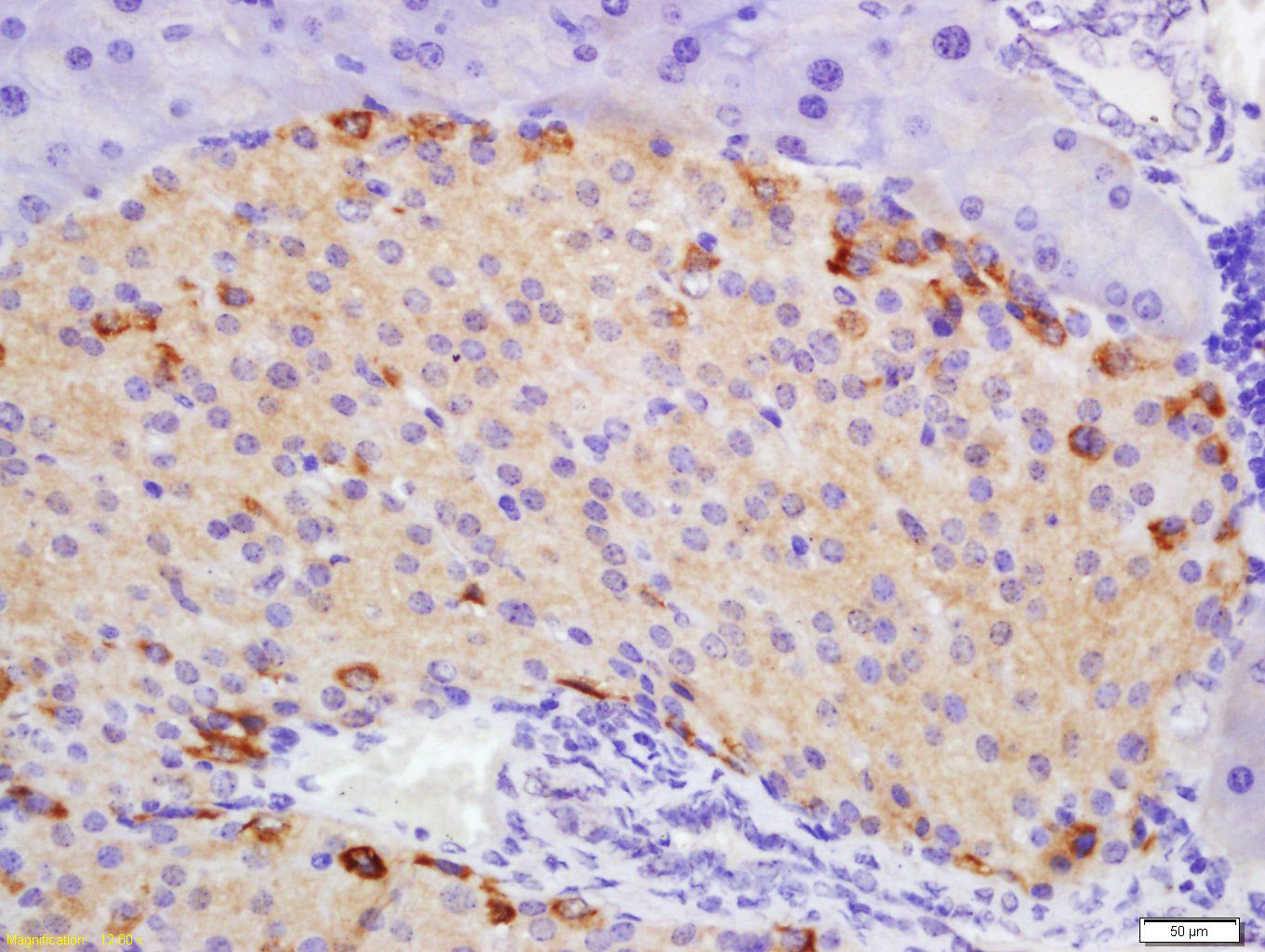
| IHC-P | Mouse | Human, Rat, Rabbit, Pig, Cow, Chicken, Horse | 1:100-500 |
| IHC-F | Mouse | Human, Rat, Rabbit, Pig, Cow, Chicken, Horse | 1:100-500 |
| IF | Mouse | Human, Rat, Rabbit, Pig, Cow, Chicken, Horse | 1:100-500 |
| Flow-Cyt | Rat | Human, Mouse, Rabbit, Pig, Cow, Chicken, Horse | 0.5μg /Test |
| ICC/IF | Human | Mouse, Rat, Rabbit, Pig, Cow, Chicken, Horse | 1:100-500 |
交叉反应: Human, Mouse, Rat (predicted: Rabbit, Pig, Cow, Chicken, Horse)
暂无相关产品