Cancer > Cancer Metabolism > Metabolic signaling pathway > Integration of energy metabolism
Cancer > Cell Death > Apoptosis > Apoptosis Markers > Cytochrome C
Cancer > Cell Death > Apoptosis > Metabolism
Cancer > Cell Death > Apoptosis > Mitochondrial
Cancer > Invasion/microenvironment > Apoptosis > Cytochrome C
Cardiovascular > Lipids / Lipoproteins > Lipid Metabolism > Cytochromes
Cell Biology > Apoptosis > Mitochondrial
Metabolism > Pathways and Processes > Metabolic signaling pathways > Energy transfer pathways > Energy Metabolism
Metabolism > Pathways and Processes > Metabolic signaling pathways > Energy transfer pathways > Integration of energy
Metabolism > Pathways and Processes > Metabolic signaling pathways > Lipid and lipoprotein metabolism > Lipases
Metabolism > Pathways and Processes > Metabolism processes > Apoptosis
Metabolism > Pathways and Processes > Mitochondrial Metabolism > Cytochromes
Metabolism > Pathways and Processes > Mitochondrial Metabolism > Mitochondrial markers
Metabolism > Pathways and Processes > Mitochondrial Metabolism > Oxidative phosphorylation









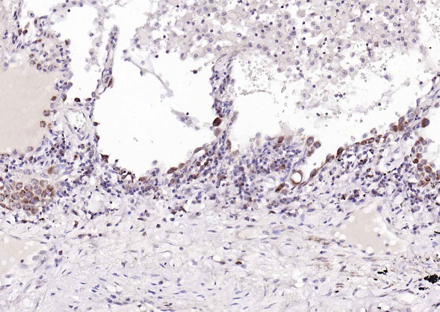
2661号盒-20230303-LLL_20.0x-5-C.jpg)
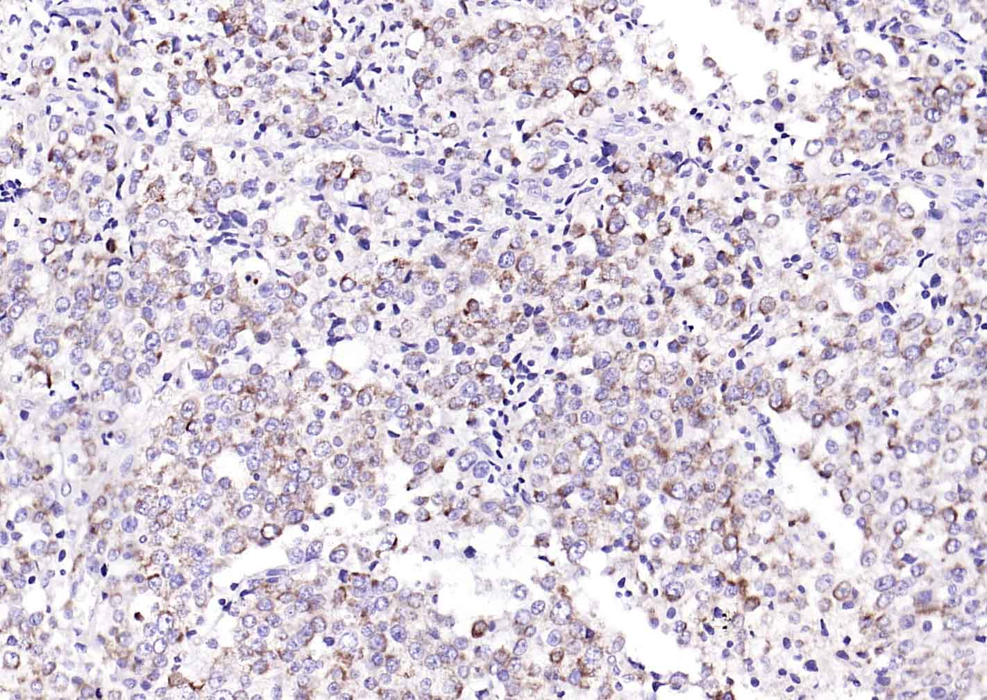
2661号盒-20230303-LLL_20.0x-3-C.jpg)

| 应用 | 已检合格种属 | 预测种属 | 推荐稀释比例 |
|---|---|---|---|
| WB | Human, Mouse, Rat | 1:2000-20000 | |
| IHC-P | Human, Mouse, Rat | 1:200-800 | |
| IHC-F | Human, Mouse, Rat | 1:200-800 | |
| IF | Human, Mouse, Rat | 1:200-800 | |
| ICC/IF | Human | Mouse, Rat | 1:100-500 |
交叉反应: Human, Mouse, Rat
暂无相关产品
Mitochondrion intermembrane space. Note=Loosely associated with the inner membrane.
Binds 1 heme c group covalently per subunit.
Phosphorylation at Tyr-49 and Tyr-98 both reduce by half the turnover in the reaction with cytochrome c oxidase, down-regulating mitochondrial respiration.
The disease is caused by variants affecting the gene represented in this entry
Belongs to the cytochrome c family.
Electron carrier protein. The oxidized form of the cytochrome c heme group can accept an electron from the heme group of the cytochrome c1 subunit of cytochrome reductase. Cytochrome c then transfers this electron to the cytochrome oxidase complex, the final protein carrier in the mitochondrial electron-transport chain.
Plays a role in apoptosis. Suppression of the anti-apoptotic members or activation of the pro-apoptotic members of the Bcl-2 family leads to altered mitochondrial membrane permeability resulting in release of cytochrome c into the cytosol. Binding of cytochrome c to Apaf-1 triggers the activation of caspase-9, which then accelerates apoptosis by activating other caspases.