Mart-1 Mouse mAb (一抗) - WB,IHC-P,IHC-F,IF | Bioss

2026-03-02~2026-04-30,KXJ26032026-03-02~2026-04-30,促销赠品
Mart-1 Mouse mAb (一抗) - WB,IHC-P,IHC-F,IF | Bioss
货号:bsm-34121M
产品详情
相关标记
相关产品
相关文献
常见问题

概述

产品编号
bsm-34121M
产品类型
病理级抗体
英文名称
Mart-1 Mouse mAb
中文名称
黑色素瘤相关抗原单克隆抗体
英文别名
MART-1; MART1; MAR1_HUMAN; MLANA; Antigen LB39-AA; Antigen SK29-AA; Protein Melan-A;
抗体来源
Mouse
免疫原
KLH conjugated synthetic peptide derived from human Mart-1
亚型
IgG
性状
Liquid
纯化方法
affinity purified by Protein A
克隆类型
Monoclonal
克隆号
F4D11
理论分子量
13 kDa
检测分子量
17 kDa
浓度
1mg/ml
储存液
PBS containing 50% Glycerol, 0.5% BSA and 0.02% Proclin300.
SWISS
Gene ID
保存条件
Shipped at 4℃. Store at -20℃ for one year. Avoid repeated freeze/thaw cycles.
注意事项
This product as supplied is intended for research use only, not for use in human, therapeutic or diagnostic applications.
产品介绍
信号中间体(Signaling Intermediates)
MelanA/MART-1是分化肿瘤抗原类别中具有代表性的成员,它表达于正常的黑素细胞和大多数原发及转移的黑色素瘤中,故称:黑色素瘤相关抗原。

背景资料
Melan A, a product of the MART-1 gene, is a melanocyte differentiation marker recognized by autologous cytotoxic T lymphocytes. Other melanoma-associated markers recognized by autologous cytotoxic T cells are reported to include MAGE-1, MAGE-3, tyrosinase, gp100, gp75, BAGE-1 and GAGE-1. The analysis of these different molecules and their expression in individual melanomas may be of help in the study of their particular molecular roles in melanocyte differentiation and tumorigenesis.
黑色素瘤相关抗原单克隆抗体-bsm-34121M黑色素瘤相关抗原单克隆抗体-bsm-34121M黑色素瘤相关抗原单克隆抗体-bsm-34121M

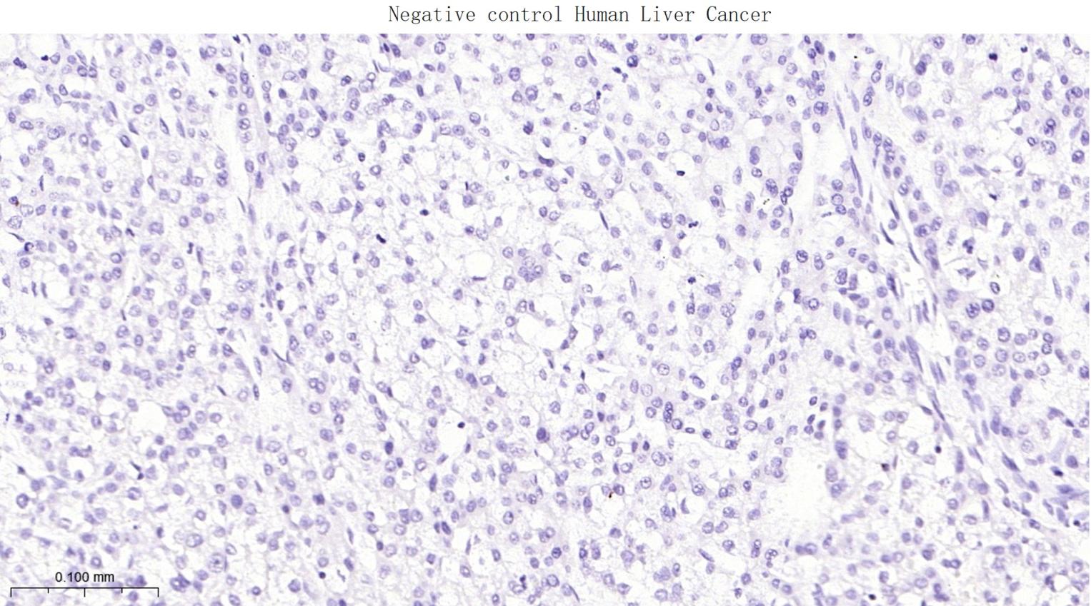
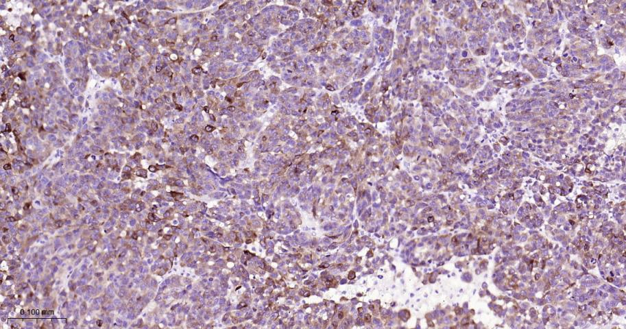
产品应用

应用已检合格种属预测种属推荐稀释比例
WBHuman1:500-2000
IHC-PHuman1:100-500
IHC-FHuman1:100-500
IFHuman1:100-500

交叉反应

交叉反应: Human

相关产品

暂无相关产品

靶标

基因名
MLANA
蛋白名
Melanoma antigen recognized by T-cells 1
亚基
Interacts with PMEL. Interacts with GPR143.
亚细胞定位
Endoplasmic reticulum membrane; Single-pass type III membrane protein. Golgi apparatus. Golgi apparatus, trans-Golgi network membrane. Melanosome. Note=Also found in small vesicles and tubules dispersed over the entire cytoplasm. A small fraction of the protein is inserted into the membrane in an inverted orientation. Inversion of membrane topology results in the relocalization of the protein from a predominant Golgi/post-Golgi area to the endoplasmic reticulum. Melanoma cells expressing the protein with an inverted membrane topology are more effectively recognized by specific cytolytic T-lymphocytes than those expressing the protein in its native membrane orientation.
组织特异性
Expression is restricted to melanoma and melanocyte cell lines and retina.
翻译后修饰
Acylated.
功能
Involved in melanosome biogenesis by ensuring the stability of GPR143. Plays a vital role in the expression, stability, trafficking, and processing of melanocyte protein PMEL, which is critical to the formation of stage II melanosomes.

同靶标产品

相关文献

提示: 发表研究结果有使用 bsm-34121M 时请让我们知道,以便我们可以引用参考文章。作为回馈,资料提供者将获得我们送上的小礼品。

常见问题