Ki67重组兔单抗

Rrmab?兔单抗
2026-03-02~2026-04-30,KXJ2603
Ki67重组兔单抗
货号:bsm-60738R
产品详情
相关标记
相关产品
相关文献
常见问题

概述

产品编号
bsm-60738R
产品类型
重组兔单抗
英文名称
Ki-67 Recombinant Rabbit mAb
中文名称
Ki67重组兔单抗
英文别名
KIA; MIB-; MIB-1; PPP1R105; KI67_HUMAN; MKI67; Antigen identified by monoclonal antibody Ki-67 (Antigen KI-67 | Antigen Ki67);
抗体来源
Rabbit
免疫原
KLH conjugated synthetic peptide derived from human Ki67
亚型
IgG
性状
Liquid
纯化方法
affinity purified by Protein A
克隆类型
Recombinant
克隆号
6B9
理论分子量
358 kDa
浓度
1mg/ml
储存液
PBS, Glycerol, BSA.
SWISS
Gene ID
保存条件
Shipped at 4℃. Store at -20℃ for one year. Avoid repeated freeze/thaw cycles.
注意事项
This product as supplied is intended for research use only, not for use in human, therapeutic or diagnostic applications.
产品介绍
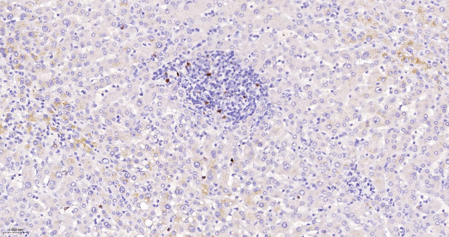
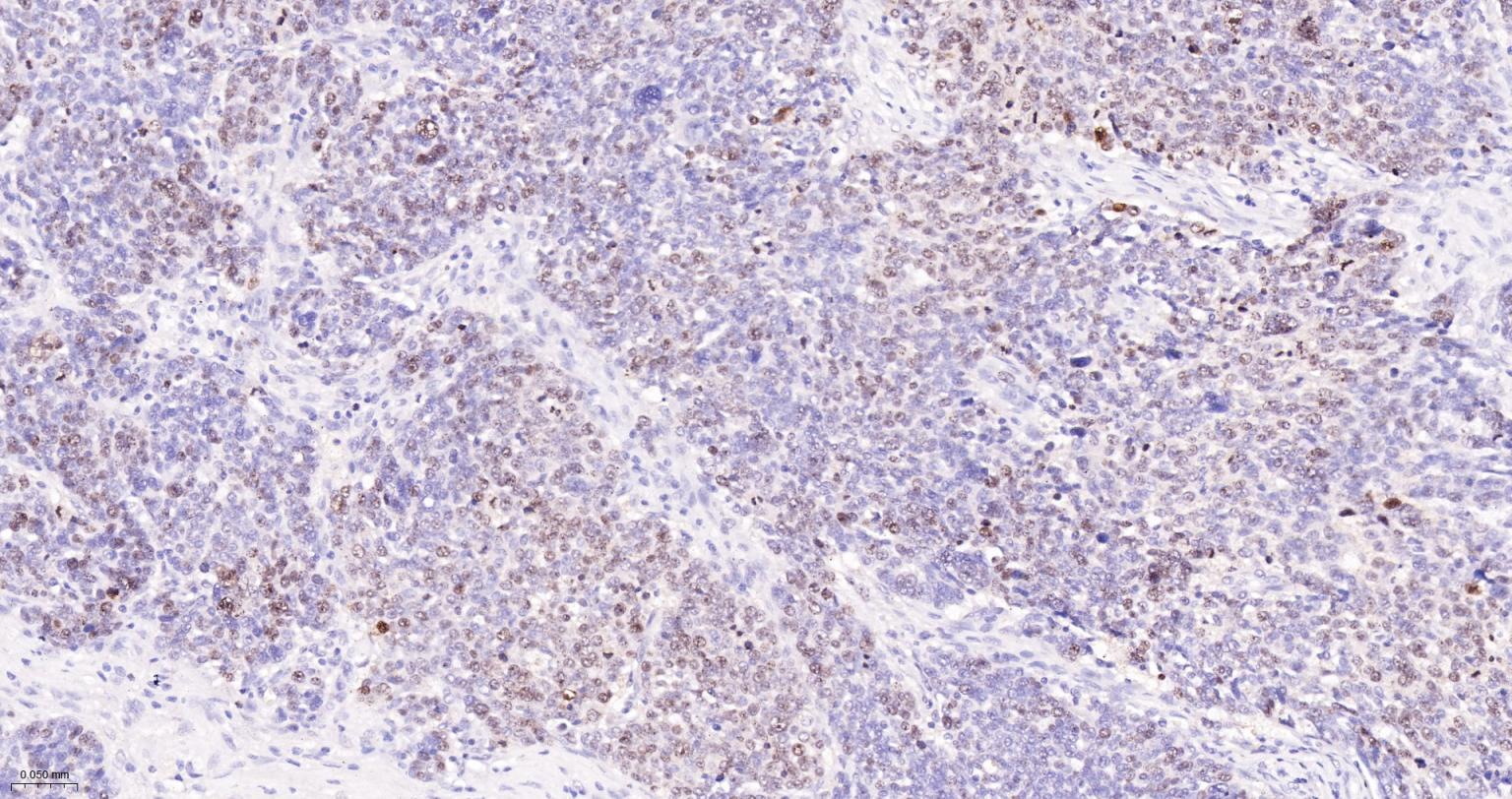
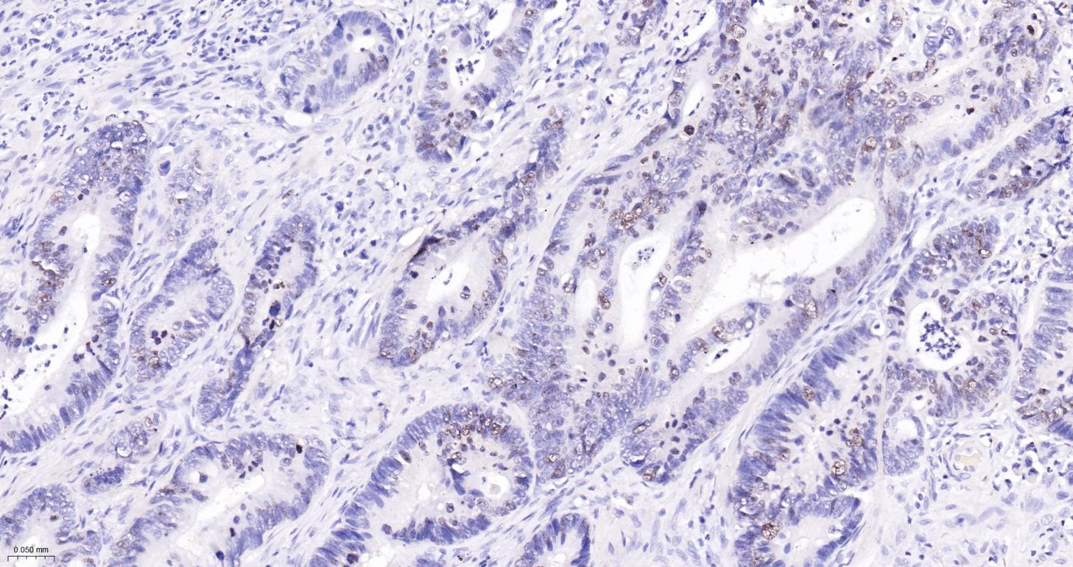
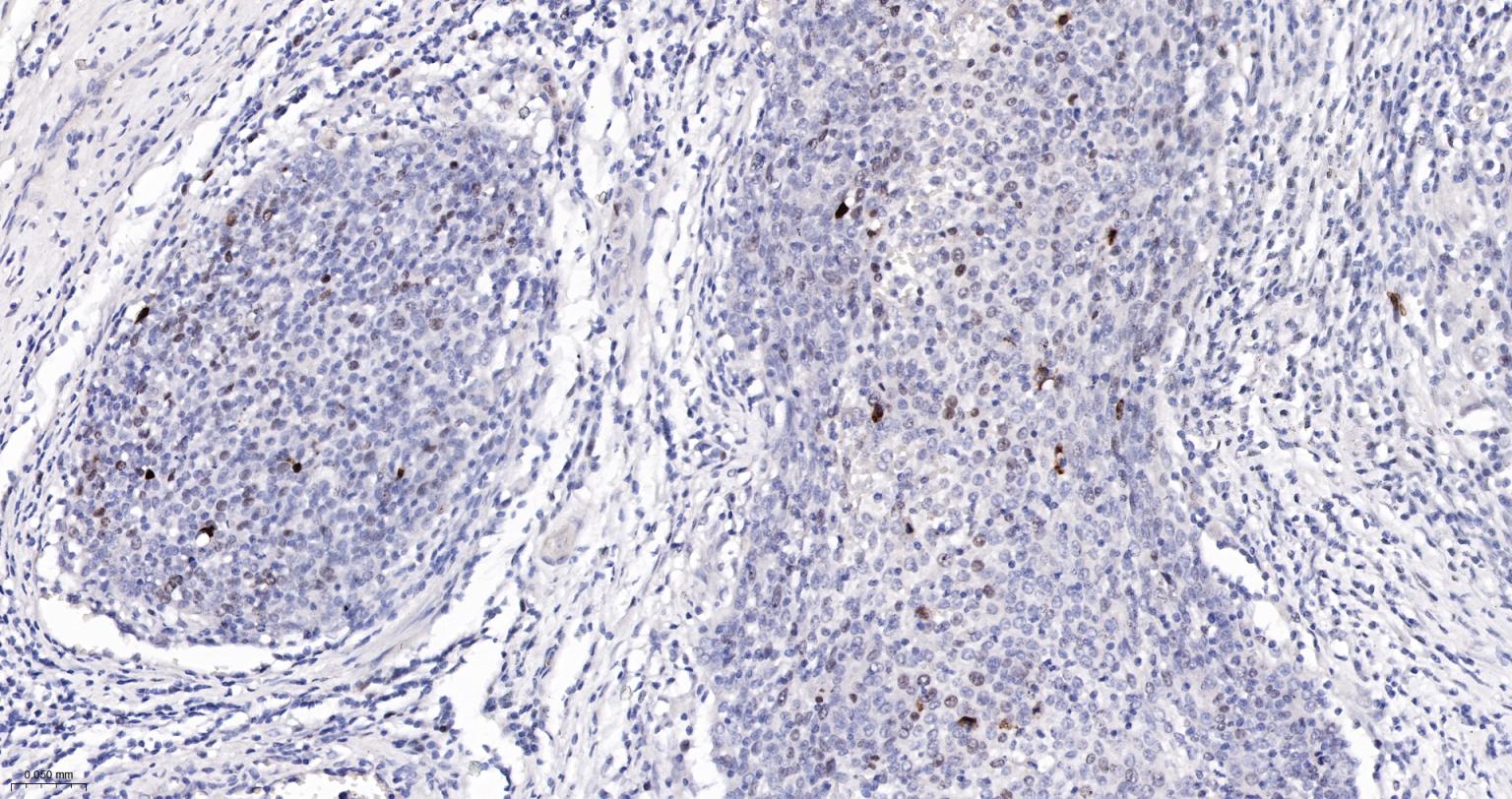
细胞增殖标志物(Proliferation Marker)
Ki67与PCNA一样,为细胞增殖的一种标记,在细胞凋亡中S、G2 、M期均有表达,G0期缺如。
Ki-67增殖指数高低与许多肿瘤的分化程度、浸润、转移以及预后密切相关,因此被广泛作为各种恶性肿瘤的必检项目之一。
背景资料
Ki67 antigen is the prototypic cell cycle related nuclear protein, expressed by proliferating cells in all phases of the active cell cycle (G1, S, G2 and M phase). It is absent in resting (G0) cells. Ki67 antibodies are useful in establishing the cell growing fraction in neoplasms (immunohistochemically quantified by determining the number of Ki67 positive cells among the total number of resting cells = Ki67 index). In neoplastic tissues the prognostic value is comparable to the tritiated thymidine labelling index. The correlation between low Ki67 index and histologically low grade tumours is strong. Ki67 is routinely used as a neuronal marker of cell cycling and proliferation.
Ki67重组兔单抗Ki67重组兔单抗Ki67重组兔单抗Ki67重组兔单抗Ki67重组兔单抗Ki67重组兔单抗Ki67重组兔单抗Ki67重组兔单抗Ki67重组兔单抗Ki67重组兔单抗Ki67重组兔单抗Ki67重组兔单抗Ki67重组兔单抗Ki67重组兔单抗Ki67重组兔单抗

产品应用

应用已检合格种属预测种属推荐稀释比例
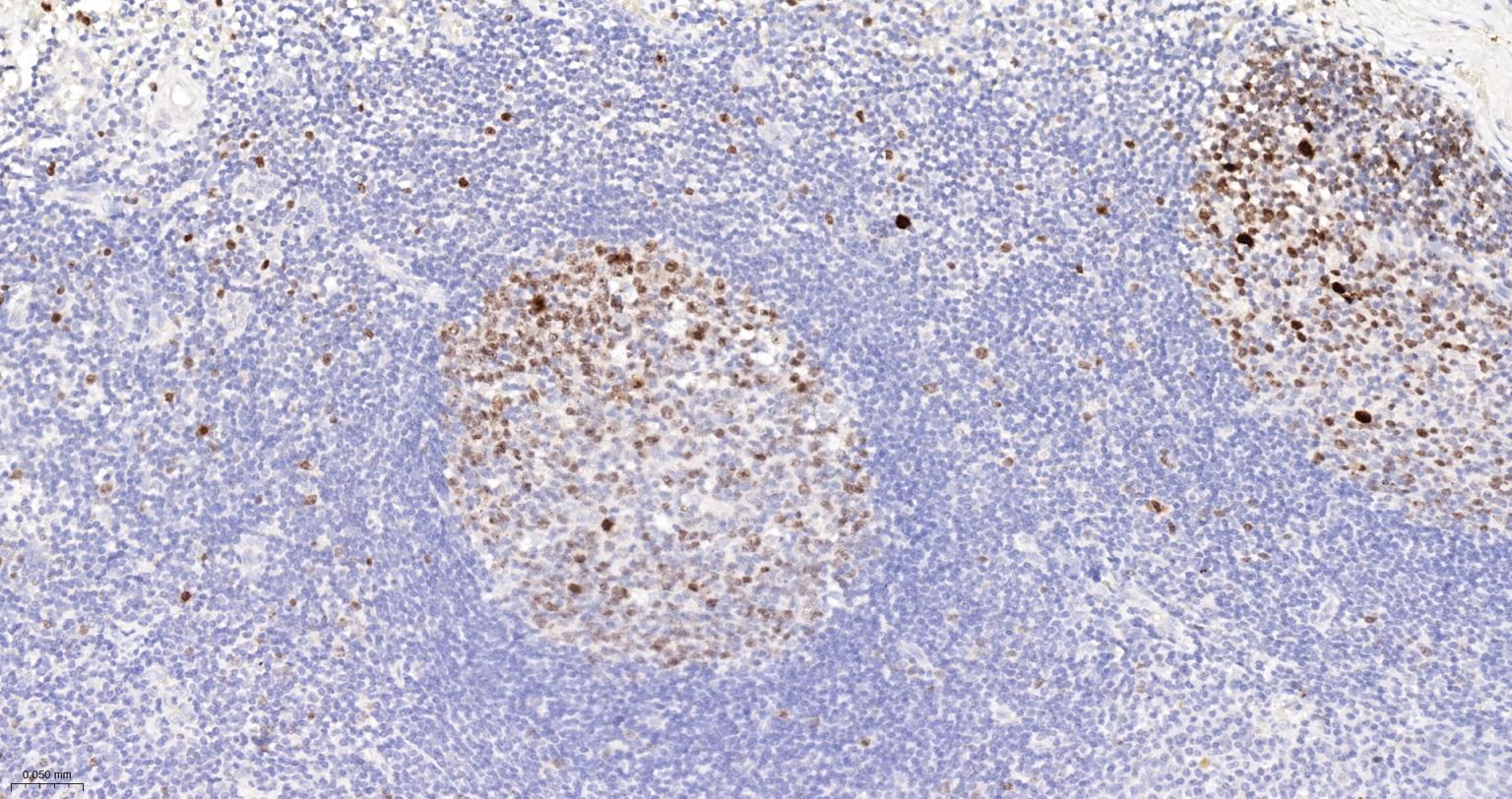
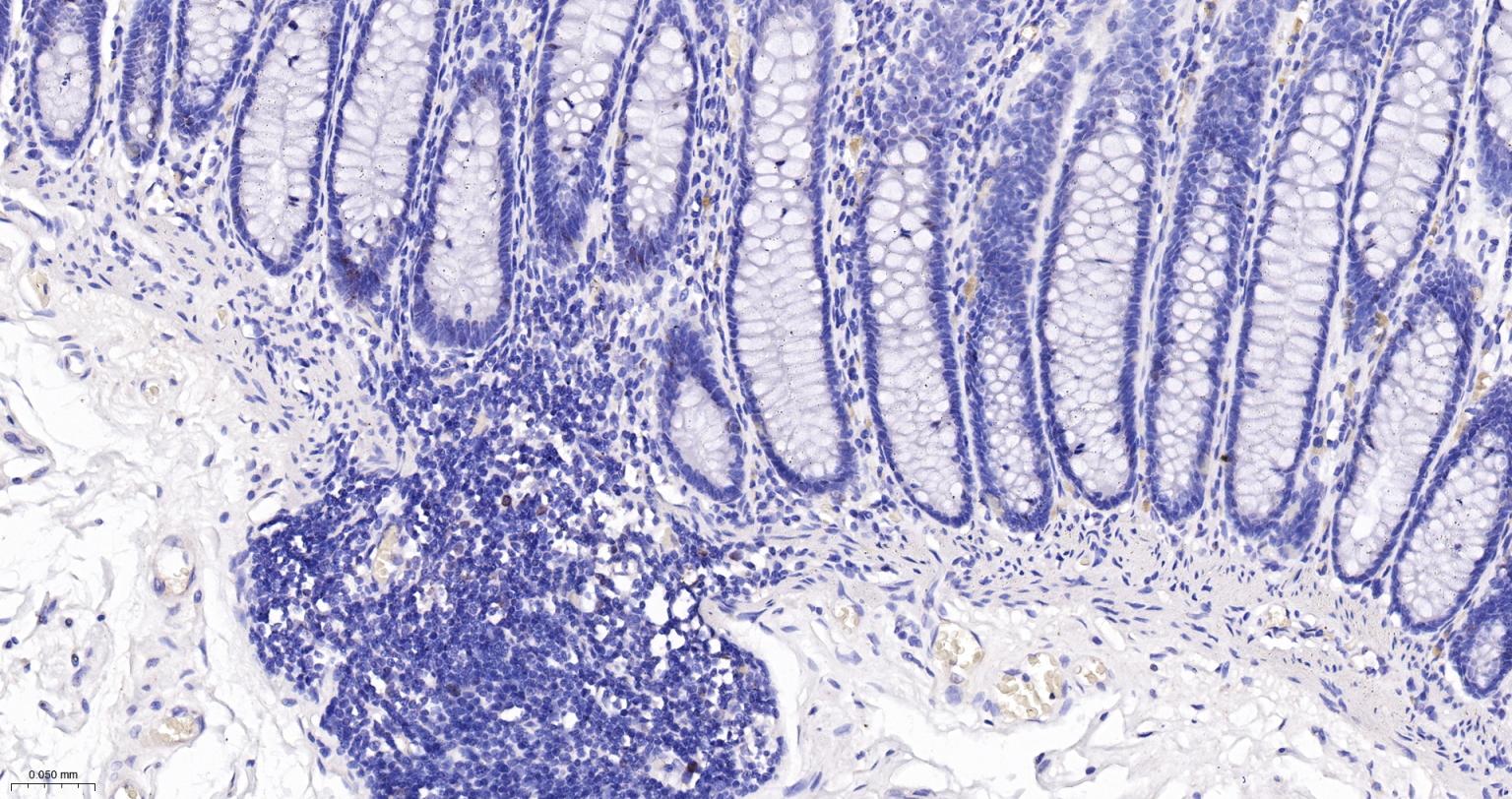
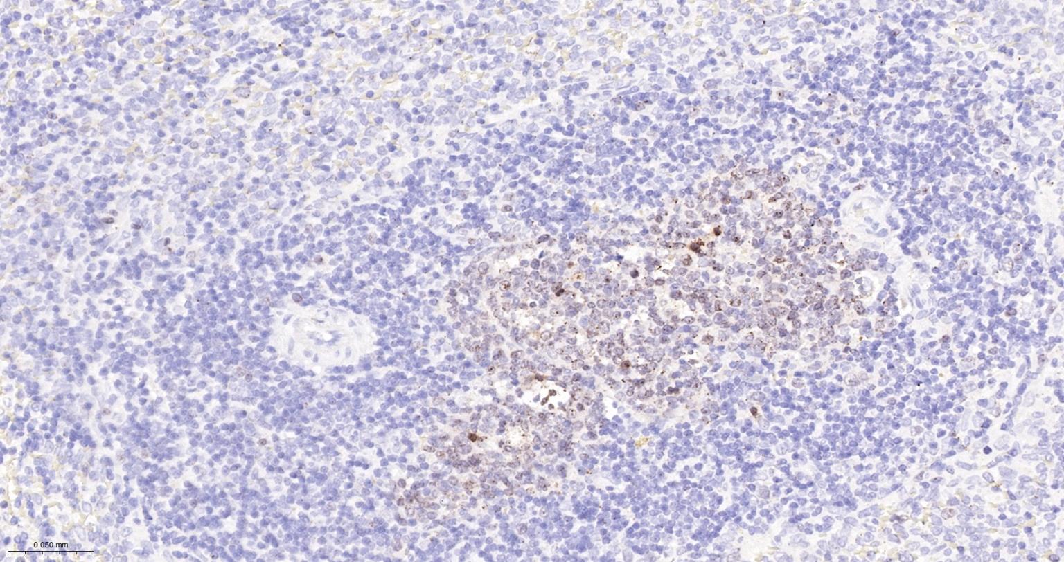
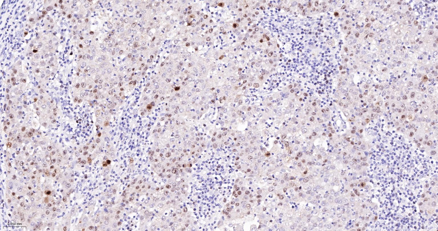
IHC-PHuman, RatMouse1:100-500
IHC-FHuman, RatMouse1:100-500
IFHuman, Mouse, Rat1:100-500
Flow-CytHumanMouse, Rat1ug/Test
ICC/IFHumanMouse, Rat1:100-500

交叉反应

交叉反应: Human, Mouse, Rat

相关产品

暂无相关产品

靶标

基因名
MKI67
蛋白名
Proliferation marker protein Ki-67
亚细胞定位
Nucleus. Chromosome. Predominantly localized in the G1 phase in the perinucleolar region, in the later phases it is also detected throughout the nuclear interior, being predominantly localized in the nuclear matrix. In mitosis, it is present on all chromosomes.
相似性
Contains 1 FHA domain.
功能
Thought to be required for maintaining cell proliferation.

标记抗体

暂无标记数据

同靶标产品

暂无同靶标产品

相关文献

提示: 发表研究结果有使用 bsm-60738R 时请让我们知道,以便我们可以引用参考文章。作为回馈,资料提供者将获得我们送上的小礼品。
具体参考文献:bsm-60738R 被引用于28文献中

暂无相关文献

常见问题

暂无常见问题