G氨基丁酸B型受体2重组兔单抗

Rrmab?兔单抗
2026-03-02~2026-04-30,KXJ26032026-03-02~2026-04-30,促销赠品
G氨基丁酸B型受体2重组兔单抗
货号:bsm-54237R
产品详情
相关标记
相关产品
相关文献
常见问题

概述

产品编号
bsm-54237R
产品类型
重组兔单抗
英文名称
GABBR2 Recombinant Rabbit mAb
中文名称
G氨基丁酸B型受体2重组兔单抗
英文别名
DEE59; EIEE59; GABABR2; GPR51; GPRC3B; HG20; HRIHFB2099; NDPLHS; Gb2; Gm425; GABR2_HUMAN; GABBR2; GABA-B receptor 2; GABA-B-R2; GABA-BR2; G-protein coupled receptor 51; GABR2_MOUSE; GABR2_RAT;
抗体来源
Rabbit
免疫原
A synthesized peptide derived from human GABA B receptor 2: 900-941/941
亚型
IgG
性状
Liquid
纯化方法
affinity purified by Protein A
克隆类型
Recombinant
克隆号
9C9
理论分子量
103 kDa
浓度
1mg/ml
储存液
0.01M TBS (pH7.4) with 1% BSA, 0.02% Proclin300 and 50% Glycerol.
SWISS
Gene ID
保存条件
Shipped at 4℃. Store at -20℃ for one year. Avoid repeated freeze/thaw cycles.
注意事项
This product as supplied is intended for research use only, not for use in human, therapeutic or diagnostic applications.
产品介绍
g-氨基丁酸(GABA)是哺乳动物中枢神经系统中重要的抑制性神经递质,在体内通过作用于离子通道型的GABAA、GABAC受体及代谢型的GABAB受体而发挥生理功能。 GABAB 受体存在于神经元的突触前及突触后部位,介导慢的抑制性效应,在脑内参与许多重要的生理活动和病理变化,包括认知损害、癫痫、痉挛及药物成瘾等。 GABAB2在与GABAB1形成二聚体后可激活G蛋白,但它没有结合GABA的能力;GABAB2还可增强激动剂与GABAB1的亲和力,并且通过与GABAB1形成二聚体结构而屏蔽GABAB1的胞内滞留信号。
背景资料
The multi-pass membrane protein encoded by this gene belongs to the G-protein coupled receptor 3 family and GABA-B receptor subfamily. The GABA-B receptors inhibit neuronal activity through G protein-coupled second-messenger systems, which regulate the release of neurotransmitters, and the activity of ion channels and adenylyl cyclase. This receptor subunit forms an active heterodimeric complex with GABA-B receptor subunit 1, neither of which is effective on its own. Allelic variants of this gene have been associated with nicotine dependence.[provided by RefSeq, Jan 2010].
G氨基丁酸B型受体2重组兔单抗G氨基丁酸B型受体2重组兔单抗G氨基丁酸B型受体2重组兔单抗G氨基丁酸B型受体2重组兔单抗G氨基丁酸B型受体2重组兔单抗G氨基丁酸B型受体2重组兔单抗

产品应用

应用已检合格种属预测种属推荐稀释比例
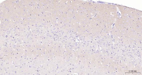
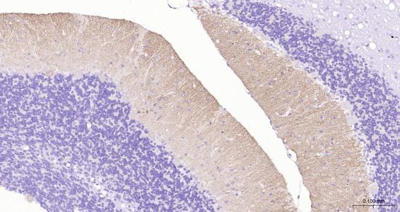
IHC-PHuman, Mouse, Rat1:50-200
IHC-FHuman, Mouse, Rat1:50-200
IFHuman, Mouse, Rat1:50-200

交叉反应

交叉反应: Human, Mouse, Rat

相关产品

暂无相关产品

靶标

基因名
GABBR2
蛋白名
gamma-aminobutyric acid type B receptor subunit 2
亚基
Heterodimer of GABA-B-R1 and GABA-B-R2. Neither of which is effective on its own and homodimeric assembly does not seem to happen. Interacts with ATF4 via its C-terminal region.
亚细胞定位
ell membrane; Multi-pass membrane protein. Cell junction, synapse, postsynaptic cell membrane; Multi-pass membrane protein. Note=Moreover coexpression of GABA-B-R1 and GABA-B-R2 appears to be a prerequisite for maturation and transport of GABA-B-R1 to the plasma membrane.
组织特异性
Highly expressed in brain, especially in cerebral cortex, thalamus, hippocampus, frontal, occipital and temporal lobe, occipital pole and cerebellum, followed by corpus callosum, caudate nucleus, spinal cord, amygdala and medulla. Weakly expressed in heart, testis and skeletal muscle.
相似性
Belongs to the G-protein coupled receptor 3 family. GABA-B receptor subfamily.
功能
Receptor for GABA. The activity of this receptor is mediated by G-proteins that inhibit adenylyl cyclase activity, stimulates phospholipase A2, activates potassium channels, inactivates voltage-dependent calcium-channels and modulates inositol phospholipids hydrolysis. Plays a critical role in the fine-tuning of inhibitory synaptic transmission. Pre-synaptic GABA-B-R inhibit neurotransmitter release by down-regulating high-voltage activated calcium channels, whereas postsynaptic GABA-B-R decrease neuronal excitability by activating a prominent inwardly rectifying potassium (Kir) conductance that underlies the late inhibitory postsynaptic potentials. Not only implicated in synaptic inhibition but also in hippocampal long-term potentiation, slow wave sleep, muscle relaxation and antinociception.

标记抗体

暂无标记数据

同靶标产品

暂无同靶标产品

相关文献

提示: 发表研究结果有使用 bsm-54237R 时请让我们知道,以便我们可以引用参考文章。作为回馈,资料提供者将获得我们送上的小礼品。

暂无相关文献

常见问题

暂无常见问题