Epigenetics and Nuclear Signaling > Transcription > Domain Families > Forkhead Box > Other FOXes
Epigenetics and Nuclear Signaling > Transcription > Transcription Factors
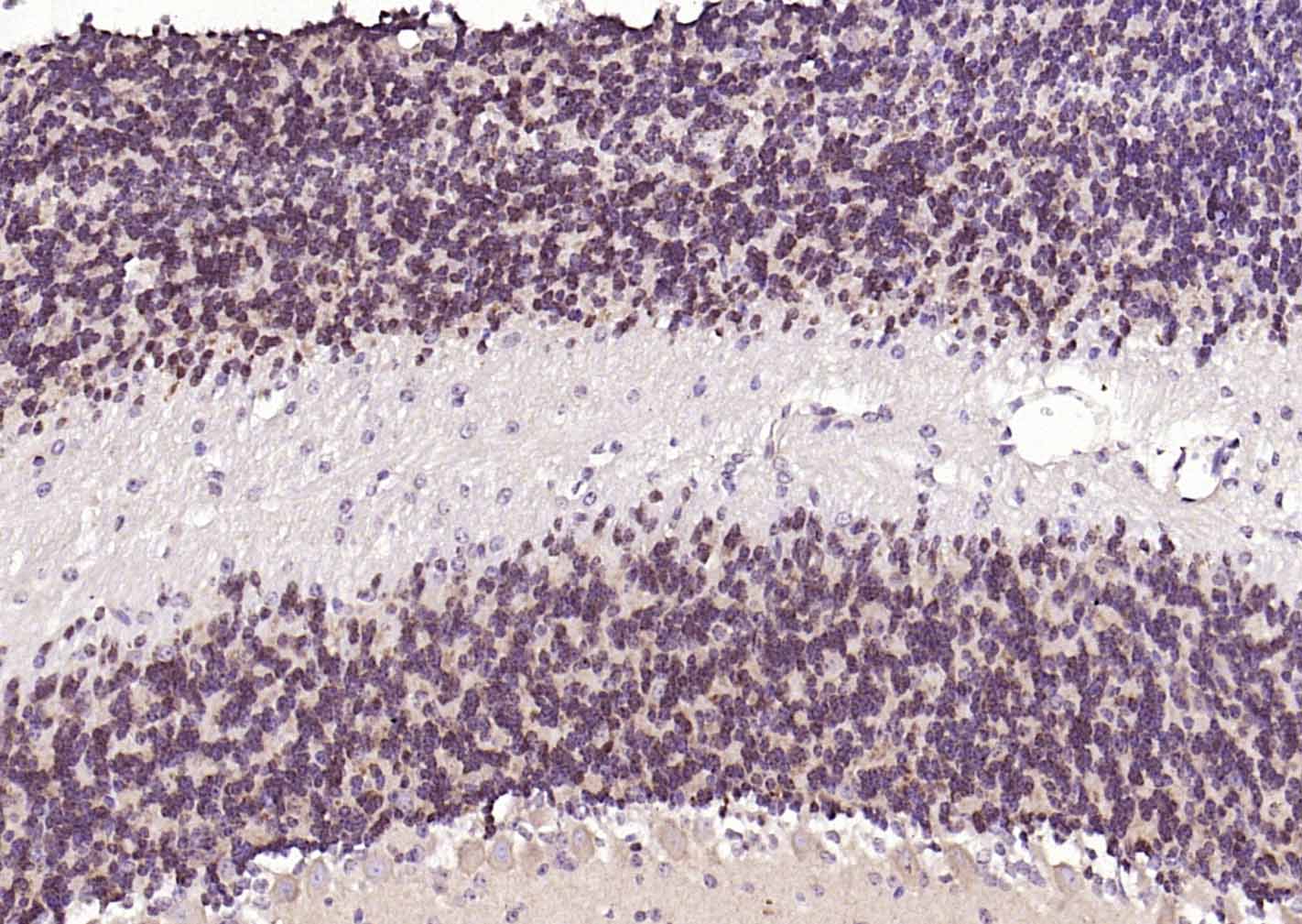
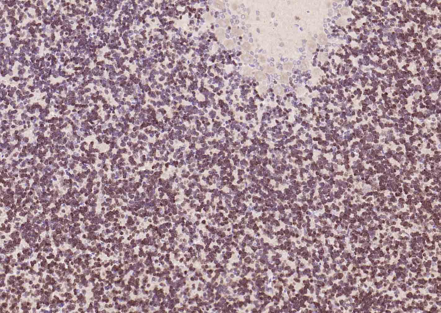
Neuroscience > Cell Type Marker > Neuron marker > Soma marker
Signal Transduction > Antibodies > neun
Tags & Cell Markers > Cell Type Markers > Neuroscience Markers > Neuronal





| 应用 | 已检合格种属 | 预测种属 | 推荐稀释比例 |
|---|---|---|---|
| WB | Mouse | Human, Rat, Cow, Dog, Horse | 1:500-2000 |
| IHC-P | Mouse, Rat | Human, Cow, Dog, Horse | 1:100-500 |
| IHC-F | Mouse, Rat | Human, Cow, Dog, Horse | 1:100-500 |
交叉反应: Mouse, Rat (predicted: Human, Cow, Dog, Horse)
暂无相关产品