



| 应用 | 已检合格种属 | 预测种属 | 推荐稀释比例 |
|---|---|---|---|
| WB | Human, Mouse | Rat, Rabbit, Pig, Cow, Chicken, Dog | 1:500-2000 |
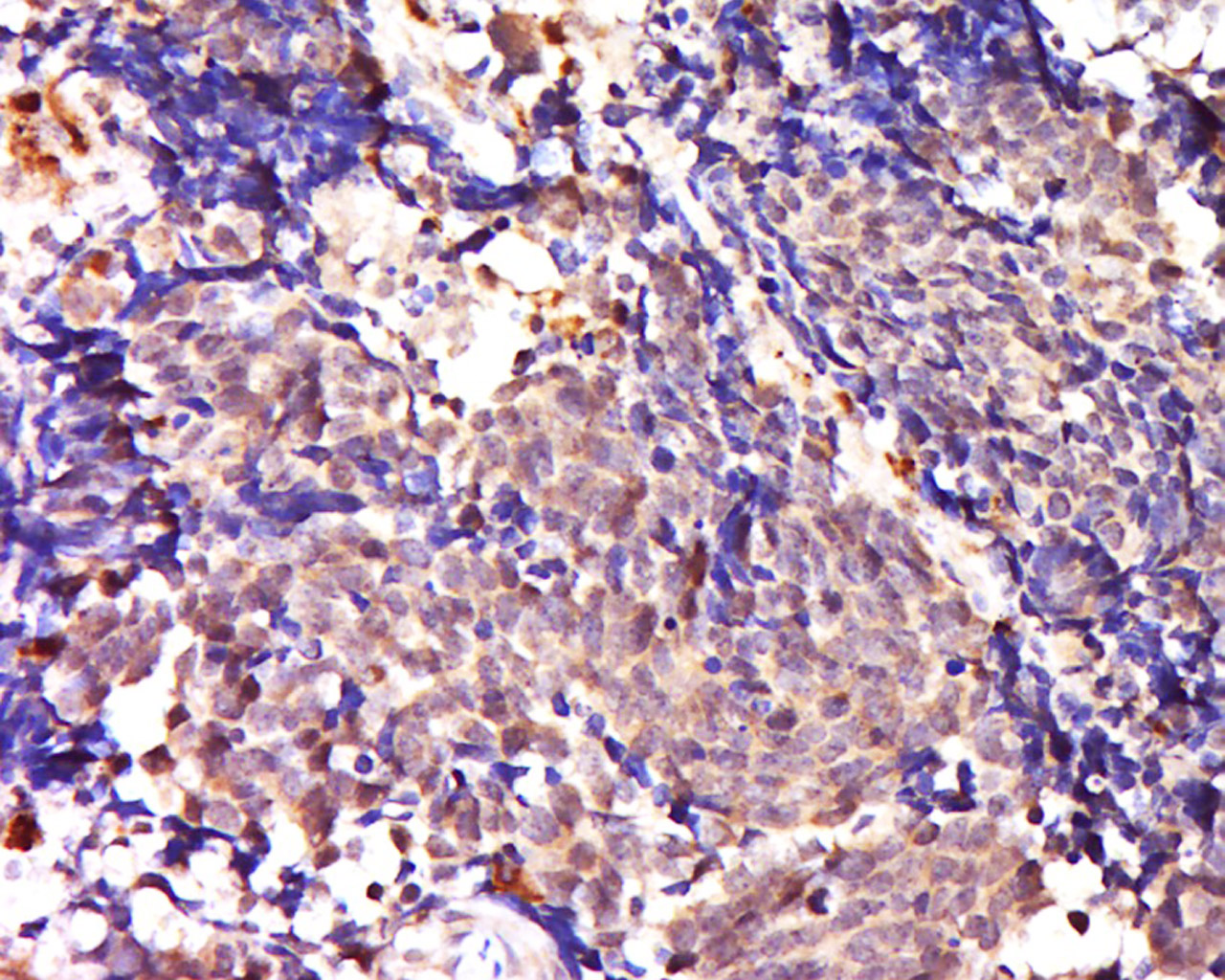
| IHC-P | Human | Mouse, Rat, Rabbit, Pig, Cow, Chicken, Dog | 1:100-500 |
| IHC-F | Human | Mouse, Rat, Rabbit, Pig, Cow, Chicken, Dog | 1:100-500 |
| IF | Human | Mouse, Rat, Rabbit, Pig, Cow, Chicken, Dog | 1:100-500 |
| Flow-Cyt | Human | Mouse, Rat, Rabbit, Pig, Cow, Chicken, Dog | 1ug/Test |
交叉反应: Human, Mouse (predicted: Rat, Rabbit, Pig, Cow, Chicken, Dog)
暂无相关产品