FGFR3 Recombinant Rabbit mAb (一抗) - WB,IHC-P,IHC-F,IF,Flow-Cyt | Bioss

Rrmab?兔单抗
2026-05-01~2026-06-30,AB2605
FGFR3 Recombinant Rabbit mAb (一抗) - WB,IHC-P,IHC-F,IF,Flow-Cyt | Bioss
货号:bsm-60715R
产品详情
相关标记
相关产品
相关文献
常见问题

概述

产品编号
bsm-60715R
产品类型
重组兔单抗
英文名称
FGFR3 Recombinant Rabbit mAb
中文名称
成纤维细胞生长因子受体3重组兔单抗
英文别名
ACH; CD333; CEK2; HSFGFR3EX; JTK4; FR3; Fgfr-3; Flg-2; HBGFR; Mfr3; sam3; FGFR3_HUMAN; FGFR3; 2.7.10.1; FGFR3_MOUSE; Heparin-binding growth factor receptor; fibroblast growth factor receptor 3; achondroplasia, thanatophoric dwarfism
抗体来源
Rabbit
免疫原
KLH conjugated synthetic peptide derived from human FGFR3
亚型
IgG
性状
Liquid
纯化方法
affinity purified by Protein A
克隆类型
Recombinant
克隆号
R5D9
理论分子量
86 kDa
检测分子量
135 kDa
浓度
1mg/ml
储存液
0.01M TBS (pH7.4) with 1% BSA, 0.02% Proclin300 and 50% Glycerol.
SWISS
Gene ID
保存条件
Shipped at 4℃. Store at -20℃ for one year. Avoid repeated freeze/thaw cycles.
注意事项
This product as supplied is intended for research use only, not for use in human, therapeutic or diagnostic applications.
产品介绍
成纤维细胞生长因子受体3也是酪氨酸激酶受体家族成员,在细胞有丝分裂的发生、血管新生、伤口愈合及肿瘤形成中起重要作用。FGFR3目前多用于肿瘤方面的研究。
背景资料
The encoded protein is synthesized mainly in corticotroph cells of the anterior pituitary where four cleavage sites are used; adrenocorticotrophin, essential for normal steroidogenesis and the maintenance of normal adrenal weight, and lipotropin beta are the major end products. In other tissues, including the hypothalamus, placenta, and epithelium, all cleavage sites may be used, giving rise to peptides with roles in pain and energy homeostasis, melanocyte stimulation, and immune modulation. These include several distinct melanotropins, lipotropins, and endorphins that are contained within the adrenocorticotrophin and beta-lipotropin peptides. Mutations in this gene have been associated with early onset obesity, adrenal insufficiency, and red hair pigmentation. Alternatively spliced transcript variants encoding the same protein have been described.
成纤维细胞生长因子受体3重组兔单抗-bsm-60715R成纤维细胞生长因子受体3重组兔单抗-bsm-60715R成纤维细胞生长因子受体3重组兔单抗-bsm-60715R成纤维细胞生长因子受体3重组兔单抗-bsm-60715R

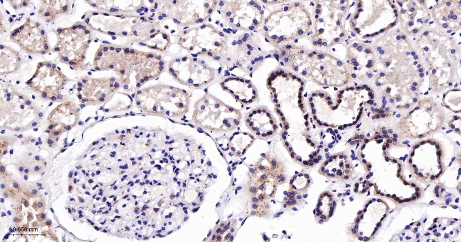
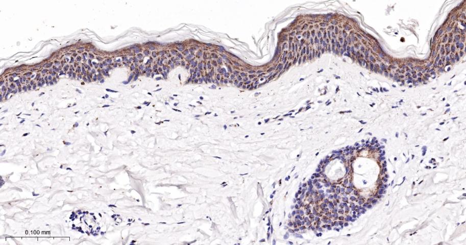
产品应用

应用已检合格种属预测种属推荐稀释比例
WBHuman1:500-2000
IHC-PHuman1:50-200
IHC-FHuman1:50-200
IFHuman1:50-200
Flow-CytHuman1:50-100

交叉反应

交叉反应: Human

相关产品

暂无相关产品

靶标

基因名
FGFR3
蛋白名
Fibroblast growth factor receptor 3
亚基
Monomer. Homodimer after ligand binding. Interacts with FGF1, FGF2, FGF4, FGF6; FGF8, FGF9, FGF10, FGF17, FGF18, FGF19, FGF20 and FGF23 (in vitro). Interacts with KLB. Affinity for fibroblast growth factors (FGFs) is increased by heparan sulfate glycosaminoglycans that function as coreceptors. Likewise, KLB increases the affinity for FGF19 and FGF21. Interacts with PIK3R1, PLCG1, SOCS1 and SOCS3.
亚细胞定位
Cell membrane; Single-pass type I membrane protein. Cytoplasmic vesicle. Endoplasmic reticulum. Note=The activated receptor is rapidly internalized and degraded. Detected in intracellular vesicles after internalization of the autophosphorylated receptor.
组织特异性
Expressed in brain, kidney and testis. Very low or no expression in spleen, heart, and muscle. In 20- to 22-week old fetuses it is expressed at high level in kidney, lung, small intestine and brain, and to a lower degree in spleen, liver, and muscle. Isoform 2 is detected in epithelial cells. Isoform 1 is not detected in epithelial cells. Isoform 1 and isoform 2 are detected in fibroblastic cells.
翻译后修饰
Autophosphorylated. Binding of FGF family members together with heparan sulfate proteoglycan or heparin promotes receptor dimerization and autophosphorylation on tyrosine residues. Autophosphorylation occurs in trans between the two FGFR molecules present in the dimer. Phosphorylation at Tyr-724 is essential for stimulation of cell proliferation and activation of PIK3R1, STAT1 and MAP kinase signaling. Phosphorylation at Tyr-760 is required for interaction with PIK3R1 and PLCG1.
疾病
Defects in FGFR3 are the cause of achondroplasia (ACH) [MIM:100800]. ACH is an autosomal dominant disease and is the most frequent form of short-limb dwarfism. It is characterized by a long, narrow trunk, short extremities, particularly in the proximal (rhizomelic) segments, a large head with frontal bossing, hypoplasia of the midface and a trident configuration of the hands.
Defects in FGFR3 are the cause of Crouzon syndrome with acanthosis nigricans (CAN) [MIM:612247]. Classic Crouzon disease which is caused by mutations in the FGFR2 gene is characterized by craniosynostosis (premature fusion of the skull sutures), and facial hypoplasia. Crouzon syndrome with acanthosis nigricans (a skin disorder characterized by pigmentation anomalies), CAN, is considered to be an independent disorder from classic Crouzon syndrome. CAN is characterized by additional more severe physical manifestation, such as Chiari malformation, hydrocephalus, and atresia or stenosis of the choanas, and is caused by a specific mutation (Ala-391 to Glu) in the transmembrane domain of FGFR3. It is proposed to have an autosomal dominant mode of inheritance.
Defects in FGFR3 are a cause of thanatophoric dysplasia type 1 (TD1) [MIM:187600]; also known as thanatophoric dwarfism or platyspondylic lethal skeletal dysplasia Sand Diego type (PLSD-SD). TD1 is the most common neonatal lethal skeletal dysplasia. Affected individuals display features similar to those seen in homozygous achondroplasia. It causes severe shortening of the limbs with macrocephaly, narrow thorax and short ribs. In the most common subtype, TD1, femur are curved.
Defects in FGFR3 are a cause of thanatophoric dysplasia type 2 (TD2) [MIM:187601]. It is a neonatal lethal skeletal dysplasia causing severe shortening of the limbs, narrow thorax and short ribs. Patients with thanatophoric dysplasia type 2 have straight femurs and cloverleaf skull.
Defects in FGFR3 are a cause of hypochondroplasia (HCH) [MIM:146000]. HCH is an autosomal dominant disease and is characterized by disproportionate short stature. It resembles achondroplasia, but with a less severe phenotype.
Defects in FGFR3 are a cause of susceptibility to bladder cancer (BLC) [MIM:109800]. A malignancy originating in tissues of the urinary bladder. It often presents with multiple tumors appearing at different times and at different sites in the bladder. Most bladder cancers are transitional cell carcinomas. They begin in cells that normally make up the inner lining of the bladder. Other types of bladder cancer include squamous cell carcinoma (cancer that begins in thin, flat cells) and adenocarcinoma (cancer that begins in cells that make and release mucus and other fluids). Bladder cancer is a complex disorder with both genetic and environmental influences. Note=Somatic mutations can constitutively activate FGFR3.
Defects in FGFR3 are a cause of cervical cancer (CERCA) [MIM:603956]. A malignant neoplasm of the cervix, typically originating from a dysplastic or premalignant lesion previously present at the active squamocolumnar junction. The transformation from mild dysplastic to invasive carcinoma generally occurs slowly within several years, although the rate of this process varies widely. Carcinoma in situ is particularly known to precede invasive cervical cancer in most cases. Cervical cancer is strongly associated with infection by oncogenic types of human papillomavirus.
相似性
Belongs to the protein kinase superfamily. Tyr protein kinase family.
Fibroblast growth factor receptor subfamily.
Contains 3 Ig-like C2-type (immunoglobulin-like) domains.
Contains 1 protein kinase domain.
功能
Tyrosine-protein kinase that acts as cell-surface receptor for fibroblast growth factors and plays an essential role in the regulation of cell proliferation, differentiation and apoptosis. Plays an essential role in the regulation of chondrocyte differentiation, proliferation and apoptosis, and is required for normal skeleton development. Regulates both osteogenesis and postnatal bone mineralization by osteoblasts. Promotes apoptosis in chondrocytes, but can also promote cancer cell proliferation. Required for normal development of the inner ear. Phosphorylates PLCG1, CBL and FRS2. Ligand binding leads to the activation of several signaling cascades. Activation of PLCG1 leads to the production of the cellular signaling molecules diacylglycerol and inositol 1,4,5-trisphosphate.

同靶标产品

相关文献

提示: 发表研究结果有使用 bsm-60715R 时请让我们知道,以便我们可以引用参考文章。作为回馈,资料提供者将获得我们送上的小礼品。

常见问题