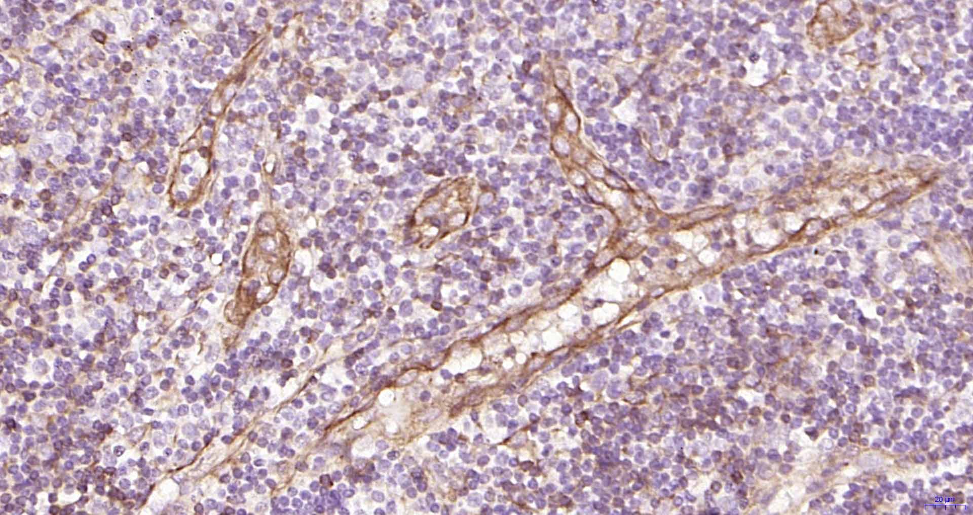
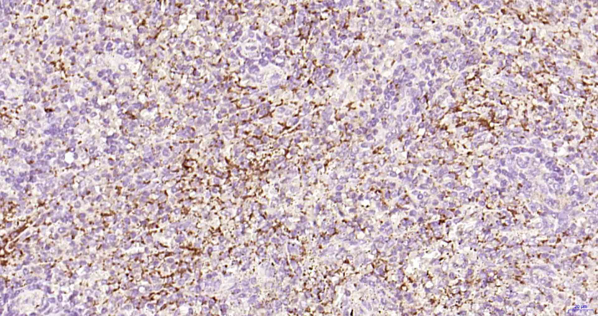
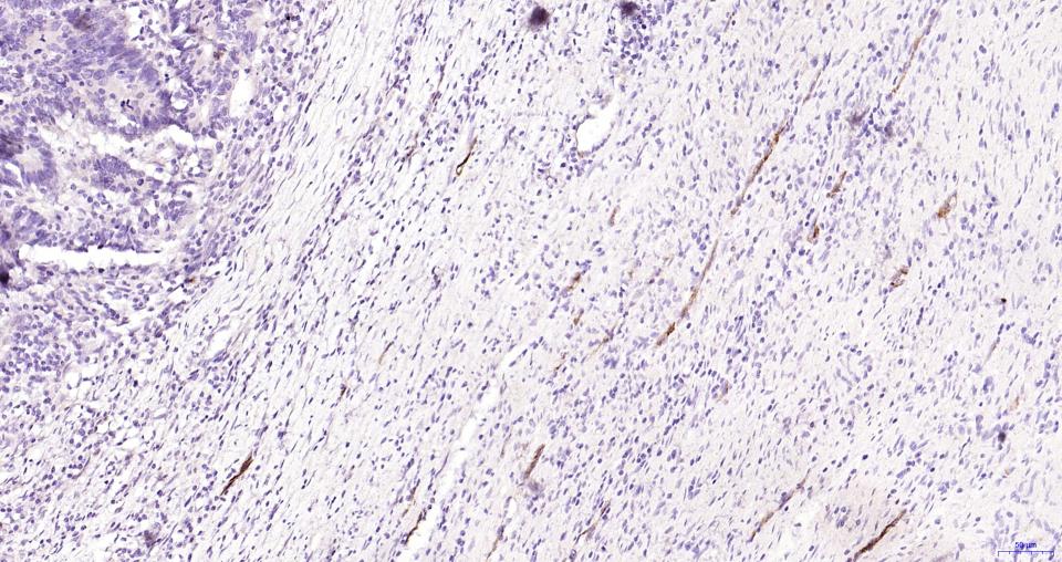
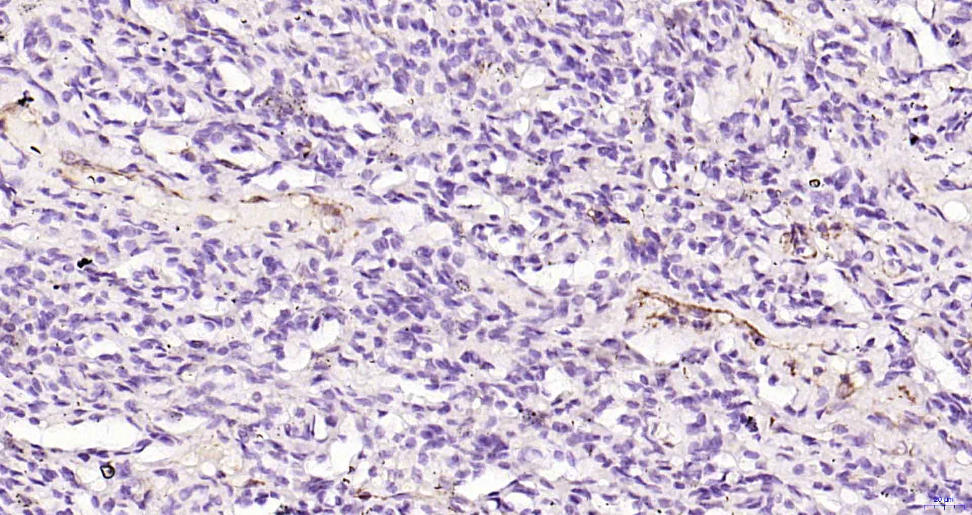
Cardiovascular > Angiogenesis > Endothelial Cell Markers
Cardiovascular > Atherosclerosis > Vascular Inflammation > Leukocyte recruitment > Cell adhesion molecules
Cardiovascular > Blood > Platelets
Immunology > Adaptive Immunity > Regulatory T Cells
Immunology > Cell Type Markers > CD > Platelets
Stem Cells > Hematopoietic Progenitors > Myeloid > Thrombocytic Lineage







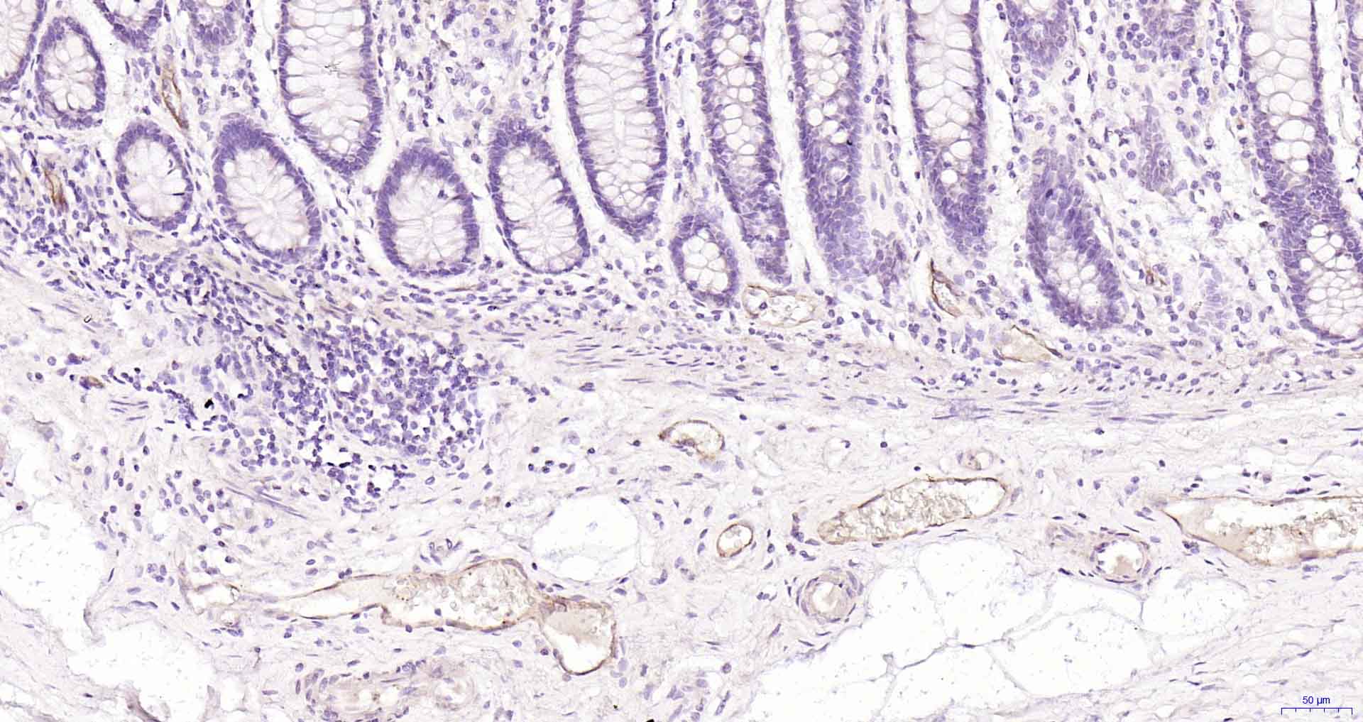
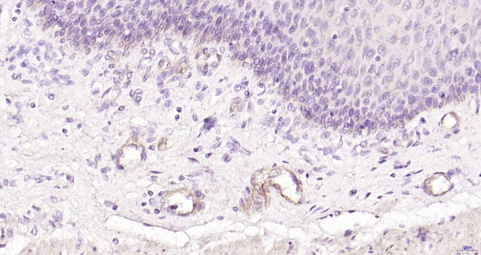
| 应用 | 已检合格种属 | 预测种属 | 推荐稀释比例 |
|---|---|---|---|
| IHC-P | Human | 1:100-500 | |
| IHC-F | Human | 1:100-500 | |
| IF | Human | 1:100-500 |
交叉反应: Human
暂无相关产品
暂无标记数据
暂无同靶标产品
暂无相关文献
暂无常见问题