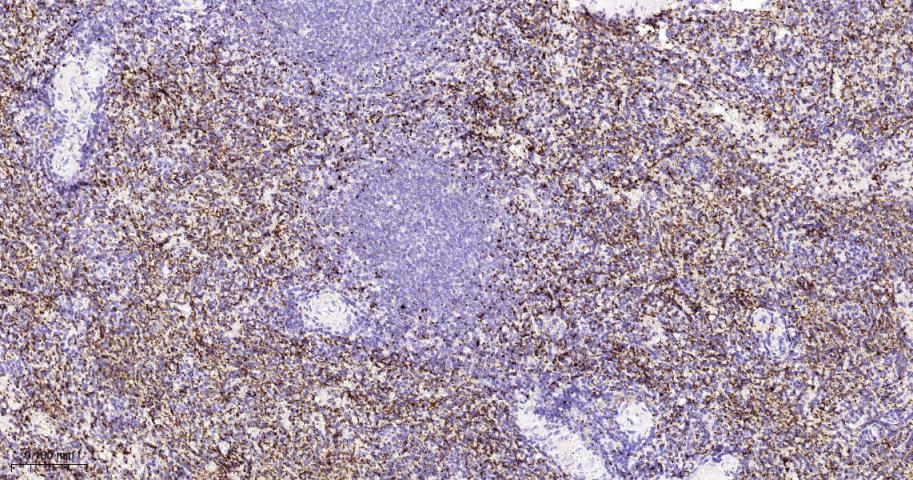
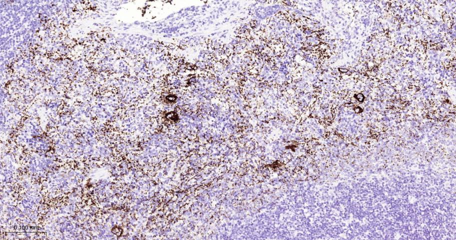
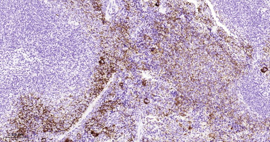
血小板糖蛋白GPIb(CD42b)重组兔单抗

Rrmab?兔单抗
2026-03-02~2026-04-30,KXJ26032026-03-02~2026-04-30,促销赠品
血小板糖蛋白GPIb(CD42b)重组兔单抗
货号:bsm-60017R
产品详情
相关标记
相关产品
相关文献
常见问题

概述

产品编号
bsm-60017R
产品类型
重组兔单抗、mIHC精品抗体
英文名称
GP1BA Recombinant Rabbit mAb
中文名称
血小板糖蛋白GPIb(CD42b)重组兔单抗
英文别名
BDPLT1; BDPLT3; BSS; CD42B; CD42b-alpha; DBPLT3; GP1B; GPIbA; GPIbalpha; VWDP; GP1BA_HUMAN; GP1BA; GP-Ib alpha; GPIb-alpha; Glycoprotein Ibalpha; Antigen CD42b-alpha;
抗体来源
Rabbit
免疫原
KLH conjugated synthetic peptide derived from human GP1BA/CD42b
亚型
IgG
性状
Liquid
纯化方法
affinity purified by Protein A
克隆类型
Recombinant
克隆号
3B9
理论分子量
67 kDa
浓度
1mg/ml
储存液
0.01M TBS (pH7.4) with 1% BSA, 0.02% Proclin300 and 50% Glycerol.
SWISS
Gene ID
保存条件
Shipped at 4℃. Store at -20℃ for one year. Avoid repeated freeze/thaw cycles.
注意事项
This product as supplied is intended for research use only, not for use in human, therapeutic or diagnostic applications.
背景资料
Glycoprotein Ib (GP Ib) is a platelet surface membrane glycoprotein composed of a heterodimer, an alpha chain and a beta chain, that is linked by disulfide bonds. The Gp Ib functions as a receptor for von Willebrand factor (VWF). The complete receptor complex includes noncovalent association of the alpha and beta subunits with platelet glycoprotein IX and platelet glycoprotein V. The binding of the GP Ib-IX-V complex to VWF facilitates initial platelet adhesion to vascular subendothelium after vascular injury, and also initiates signaling events within the platelet that lead to enhanced platelet activation, thrombosis, and hemostasis. This gene encodes the alpha subunit. Several polymorphisms and mutations have been described in this gene, some of which are the cause of Bernard-Soulier syndromes and platelet-type von Willebrand disease. [provided by RefSeq, Mar 2010].
血小板糖蛋白GPIb(CD42b)重组兔单抗血小板糖蛋白GPIb(CD42b)重组兔单抗血小板糖蛋白GPIb(CD42b)重组兔单抗血小板糖蛋白GPIb(CD42b)重组兔单抗

产品应用

应用已检合格种属预测种属推荐稀释比例
WBHumanMouse, Rat1:500-2000
IHC-PHuman, Mouse, Rat1:100-500
IHC-FHuman, Mouse, Rat1:100-500
IFHuman, Mouse, Rat1:100-500

交叉反应

交叉反应: Human, Mouse, Rat

相关产品

暂无相关产品

靶标

基因名
GP1BA
蛋白名
Platelet glycoprotein Ib alpha chain
亚基
Heterodimer composed of GP-Ib alpha and beta; disulfide linked. GP-IX is complexed with the GP-Ib heterodimer via a non covalent linkage. Interacts with FLNB.
亚细胞定位
Membrane; Single-pass type I membrane protein.
翻译后修饰
lycocalicin, which is approximately coextensive with the extracellular part of the molecule, is cleaved off by calpain during platelet lysis.
疾病
Genetic variations in GP1BA may be a cause of susceptibility to non-arteritic anterior ischemic optic neuropathy (NAION) [MIM:258660]. NAION is an ocular disease due to ischemic injury to the optic nerve. It usually affects the optic disk and leads to visual loss and optic disk swelling of a pallid nature. Visual loss is usually sudden, or over a few days at most and is usually permanent, with some recovery possibly occurring within the first weeks or months. Patients with small disks having smaller or non-existent cups have an anatomical predisposition for non-arteritic anterior ischemic optic neuropathy. As an ischemic episode evolves, the swelling compromises circulation, with a spiral of ischemia resulting in further neuronal damage.
Defects in GP1BA are a cause of Bernard-Soulier syndrome (BSS) [MIM:231200]; also known as giant platelet disease (GPD). BSS patients have unusually large platelets and have a clinical bleeding tendency.
Defects in GP1BA are the cause of benign Mediterranean macrothrombocytopenia (BMM) [MIM:153670]; also known as autosomal dominant benign Bernard-Soulier syndrome. BMM is characterized by mild or no clinical symptoms, normal platelet function, and normal megakaryocyte count.
Defects in GP1BA are the cause of von Willebrand disease platelet-type (PVWD) [MIM:177820]; also known as pseudo-von Willebrand disease (pseudo-vWD). This autosomal dominant bleeding disorder is caused by an increased affinity of GP-Ib for soluble vWF resulting in impaired hemostatic function due to the removal of vWF from the circulation.
相似性
Contains 7 LRR (leucine-rich) repeats.
Contains 1 LRRCT domain.
Contains 1 LRRNT domain.
功能
GP-Ib, a surface membrane protein of platelets, participates in the formation of platelet plugs by binding to the A1 domain of vWF, which is already bound to the subendothelium.

标记抗体

暂无标记数据

同靶标产品

暂无同靶标产品

相关文献

提示: 发表研究结果有使用 bsm-60017R 时请让我们知道,以便我们可以引用参考文章。作为回馈,资料提供者将获得我们送上的小礼品。

暂无相关文献

常见问题

暂无常见问题