间皮素重组兔单抗

Rrmab?兔单抗
2026-03-02~2026-04-30,KXJ26032026-03-02~2026-04-30,促销赠品
间皮素重组兔单抗
货号:bsm-60005R
产品详情
相关标记
相关产品
相关文献
常见问题

概述

产品编号
bsm-60005R
产品类型
重组兔单抗
英文名称
Mesothelin Recombinant Rabbit mAb
中文名称
间皮素重组兔单抗
英文别名
MPF; SMRP; MSLN_HUMAN; MSLN; CAK1 antigen; Pre-pro-megakaryocyte-potentiating factor;
抗体来源
Rabbit
免疫原
A synthesized peptide derived from human Mesothelin: 550-570/630
亚型
IgG
性状
Liquid
纯化方法
affinity purified by Protein A
克隆类型
Recombinant
克隆号
1A14
理论分子量
64 kDa
浓度
1mg/ml
储存液
0.01M TBS (pH7.4) with 1% BSA, 0.02% Proclin300 and 50% Glycerol.
SWISS
Gene ID
保存条件
Shipped at 4℃. Store at -20℃ for one year. Avoid repeated freeze/thaw cycles.
注意事项
This product as supplied is intended for research use only, not for use in human, therapeutic or diagnostic applications.
产品介绍
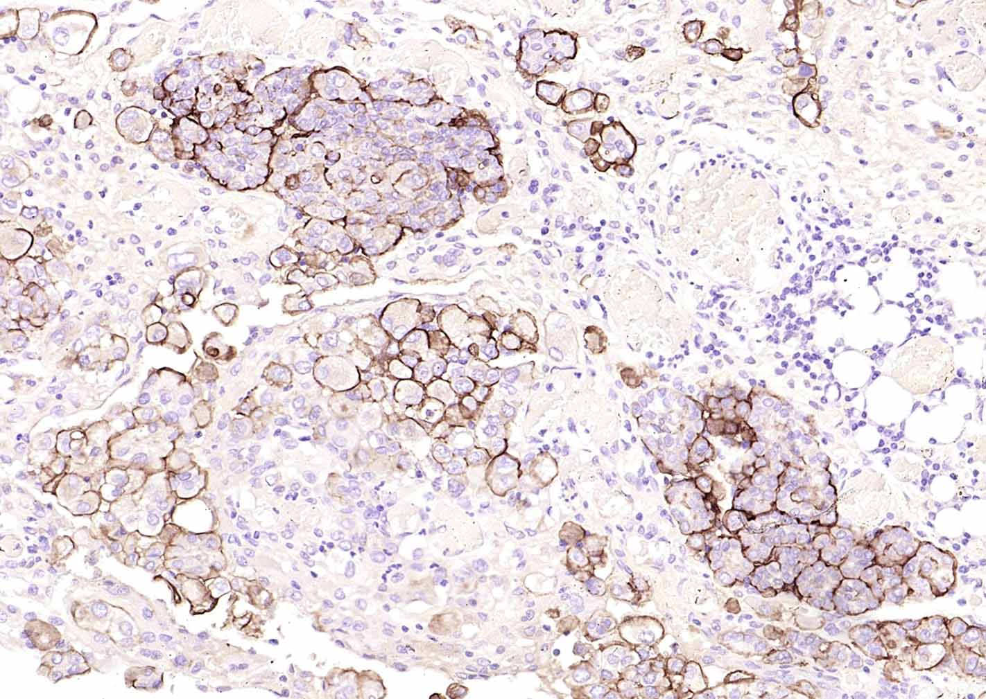
间皮素(mesothelin, MSLN)是一种相对分子量:64kDa的细胞表面糖蛋白, 在间皮瘤、 卵巢癌、 胰腺癌等恶性肿瘤中有较高的表达。主要用于恶性肿瘤的研究。
背景资料
Mesothelin(MSLN)may play a role in cell adhesion and cell shape dynamics; human homolog highly expressed in renal cell carcinoma. malignant tumors, such as a skin lump, ovary cancer and the pancreas cancer...etc..Mainly used for the research of the malignant tumor.
间皮素重组兔单抗间皮素重组兔单抗间皮素重组兔单抗

产品应用

应用已检合格种属预测种属推荐稀释比例
WBHuman1:500-2000
IHC-PHuman1:100-500
IHC-FHuman1:100-500
IFHuman1:100-500

交叉反应

交叉反应: Human

相关产品

暂无相关产品

靶标

基因名
MSLN
蛋白名
Mesothelin
亚基
Interacts with MUC16.
亚细胞定位
Cell membrane; Lipid-anchor, GPI-anchor. Golgi apparatus.
Megakaryocyte-potentiating factor: Secreted.
Isoform 3: Secreted.
组织特异性
Expressed in lung. Expressed at low levels in heart, placenta and kidney. Expressed in mesothelial cells. Highly expressed in mesotheliomas, ovarian cancers, and some squamous cell carcinomas (at protein level).
翻译后修饰
Both MPF and the cleaved form of mesothelin are N-glycosylated.
Proteolytically cleaved by a furin-like convertase to generate megakaryocyte-potentiating factor (MPF), and the cleaved form of mesothelin.
相似性
Belongs to the mesothelin family.
功能
Membrane-anchored forms may play a role in cellular adhesion. Megakaryocyte-potentiating factor (MPF) potentiates megakaryocyte colony formation in vitro.

标记抗体

暂无标记数据

同靶标产品

暂无同靶标产品

相关文献

提示: 发表研究结果有使用 bsm-60005R 时请让我们知道,以便我们可以引用参考文章。作为回馈,资料提供者将获得我们送上的小礼品。

暂无相关文献

常见问题

暂无常见问题