抑癌蛋白EZH2重组兔单抗

Rrmab?兔单抗
2026-03-02~2026-04-30,KXJ26032026-03-02~2026-04-30,促销赠品
抑癌蛋白EZH2重组兔单抗
货号:bsm-60001R
产品详情
相关标记
相关产品
相关文献
常见问题

概述

产品编号
bsm-60001R
产品类型
重组兔单抗
英文名称
EZH2 Recombinant Rabbit mAb
中文名称
抑癌蛋白EZH2重组兔单抗
英文别名
ENX-1; ENX1; EZH2b; KMT6; KMT6A; WVS; WVS2; Enx1h; mKIAA4065; EZH2_HUMAN; EZH2; Enhancer of zeste homolog 2; Lysine N-methyltransferase 6; 2.1.1.356; EZH2_MOUSE;
抗体来源
Rabbit
免疫原
KLH conjugated synthetic peptide derived from human EZH2
亚型
IgG
性状
Liquid
纯化方法
affinity purified by Protein A
克隆类型
Recombinant
克隆号
10A2
理论分子量
82 kDa
浓度
1mg/ml
储存液
0.01M TBS (pH7.4) with 1% BSA, 0.02% Proclin300 and 50% Glycerol.
SWISS
Gene ID
保存条件
Shipped at 4℃. Store at -20℃ for one year. Avoid repeated freeze/thaw cycles.
注意事项
This product as supplied is intended for research use only, not for use in human, therapeutic or diagnostic applications.
产品介绍
    EZH2(enhancer of zeste homolog 2)是新识别的一种人类基因,是果蝇zeste基因增强子的人类同源基因,Polycomb group基因家族的重要成员之一。
EZH2在多种肿瘤中高表达,具有促进细胞增殖,肿瘤细胞的扩散的恶性表型,EZH2在肿瘤中的作用成为研究热门。EZHZ在前列腺癌、乳腺癌、膀胧癌、肝细胞癌、大肠癌、胃癌中高表达;局限性前列腺癌、乳腺癌、膀胧癌高表达EZH2,则临床预后较差。因此EZH2可作为肿瘤标志物监测肿瘤的演变。随着PcG蛋白和TrxG蛋白复合物研究的深入,对细胞记忆机制的认识不断提高,而扰乱细胞的转录记忆系统可导致个体发育缺陷,使正常细胞丢失自身特性而癌变。
EZH2通过基因沉默机制改变细胞的记忆系统并调控转录,促进前肿瘤恶性形成。EZH2在肿瘤发生发展中的作用仍远未阐明,特别是EZH2的下游基因仍不清楚,EZH2在肿瘤发生与发展的机制有待进一步研究。
背景资料
This gene encodes a member of the Polycomb-group (PcG) family. PcG family members form multimeric protein complexes, which are involved in maintaining the transcriptional repressive state of genes over successive cell generations. This protein associates with the embryonic ectoderm development protein, the VAV1 oncoprotein, and the X-linked nuclear protein. This protein may play a role in the hematopoietic and central nervous systems. Multiple alternatively splcied transcript variants encoding distinct isoforms have been identified for this gene. [provided by RefSeq, Feb 2011].
抑癌蛋白EZH2重组兔单抗抑癌蛋白EZH2重组兔单抗抑癌蛋白EZH2重组兔单抗抑癌蛋白EZH2重组兔单抗抑癌蛋白EZH2重组兔单抗抑癌蛋白EZH2重组兔单抗抑癌蛋白EZH2重组兔单抗抑癌蛋白EZH2重组兔单抗抑癌蛋白EZH2重组兔单抗

产品应用

应用已检合格种属预测种属推荐稀释比例
WBHuman, Mouse, Rat1:500-2000
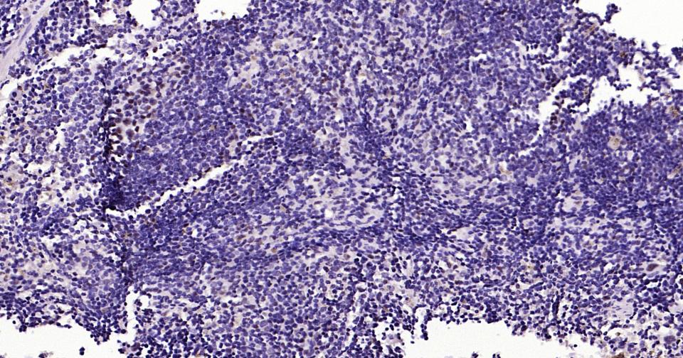
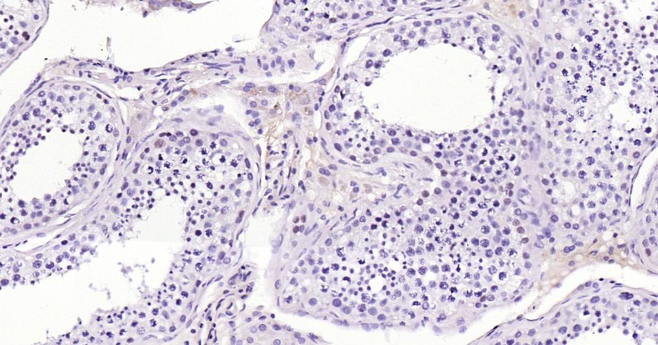
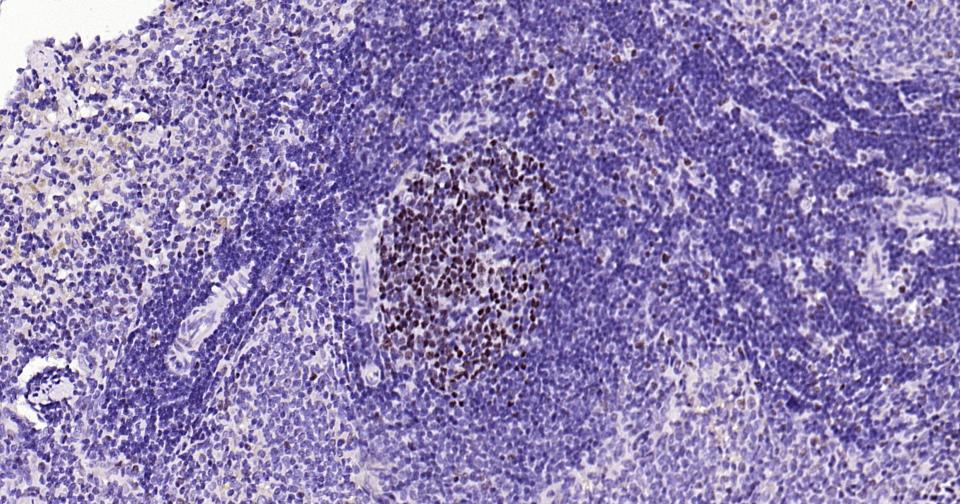
IHC-PHuman, Mouse, Rat1:50-200
IHC-FHuman, Mouse, Rat1:50-200
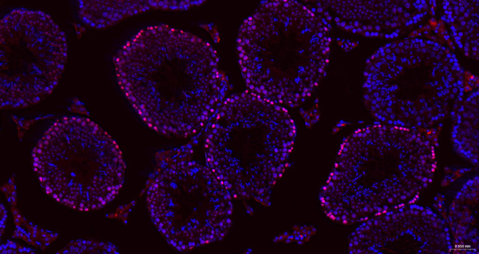
IFHuman, Mouse, Rat1:50-200

交叉反应

交叉反应: Human, Mouse, Rat

相关产品

暂无相关产品

靶标

基因名
EZH2
蛋白名
Histone-lysine N-methyltransferase EZH2
亚基
Binds ATRX via the SET domain (Probable). Component of the PRC2/EED-EZH2 complex, which includes EED, EZH2, SUZ12, RBBP4 and RBBP7 and possibly AEBP2. The minimum components required for methyltransferase activity of the PRC2/EED-EZH2 complex are EED, EZH2 and SUZ12. The PRC2 complex may also interact with DNMT1, DNMT3A, DNMT3B and PHF1 via the EZH2 subunit and with SIRT1 via the SUZ12 subunit. Interacts with HDAC1 and HDAC2. Interacts with PRAME.
亚细胞定位
Nucleus.
组织特异性
xpressed in many tissues. Overexpressed in numerous tumor types including carcinomas of the breast, colon, larynx, lymphoma and testis.
翻译后修饰
Phosphorylated by AKT1. Phosphorylation by AKT1 reduces methyltransferase activity. Phosphorylation at Thr-345 by CDK1 and CDK2 promotes maintenance of H3K27me3 levels at EZH2-target loci, thus leading to epigenetic gene silencing.
相似性
Belongs to the histone-lysine methyltransferase family. EZ subfamily.
Contains 1 CXC domain.
Contains 1 SET domain.
功能
olycomb group (PcG) protein. Catalytic subunit of the PRC2/EED-EZH2 complex, which methylates 'Lys-9' (H3K9me) and 'Lys-27' (H3K27me) of histone H3, leading to transcriptional repression of the affected target gene. Able to mono-, di- and trimethylate 'Lys-27' of histone H3 to form H3K27me1, H3K27me2 and H3K27me3, respectively. Compared to EZH2-containing complexes, it is more abundant in embryonic stem cells and plays a major role in forming H3K27me3, which is required for embryonic stem cell identity and proper differentiation. The PRC2/EED-EZH2 complex may also serve as a recruiting platform for DNA methyltransferases, thereby linking two epigenetic repression systems. Genes repressed by the PRC2/EED-EZH2 complex include HOXC8, HOXA9, MYT1, CDKN2A and retinoic acid target genes. EZH2 can also methylate non-histone proteins such as the transcription factor GATA4.

标记抗体

暂无标记数据

同靶标产品

暂无同靶标产品

相关文献

提示: 发表研究结果有使用 bsm-60001R 时请让我们知道,以便我们可以引用参考文章。作为回馈,资料提供者将获得我们送上的小礼品。
具体参考文献:bsm-60001R 被引用于2文献中

暂无相关文献

常见问题

暂无常见问题