Azurocidin/HBP Mouse mAb (一抗) - WB,IHC-P,IHC-F,IF,ELISA | Bioss

2026-03-02~2026-04-30,KXJ26032026-03-02~2026-04-30,促销赠品
Azurocidin/HBP Mouse mAb (一抗) - WB,IHC-P,IHC-F,IF,ELISA | Bioss
货号:bsm-41704M
产品详情
相关标记
相关产品
相关文献
常见问题

概述

产品编号
bsm-41704M
产品类型
mIHC精品抗体
英文名称
Azurocidin/HBP Mouse mAb
中文名称
天青素/肝素结合蛋白单克隆抗体
英文别名
AZAMP; AZU; CAP37; HBP; HUMAZUR; NAZC; hHBP; CAP7_HUMAN; AZU1; Cationic antimicrobial protein CAP37; Heparin-binding protein (HBP | hHBP);
抗体来源
Mouse
免疫原
Recombinant Human Azurocidin Protein: 20-250/251
亚型
IgG1
性状
Liquid
纯化方法
affinity purified by Protein A
克隆类型
Monoclonal
克隆号
5F1
理论分子量
24 kDa
检测分子量
38-42 kDa
储存液
0.01M PBS (pH7.4).
SWISS
Gene ID
保存条件
Shipped at 4℃. Store at -20℃ for one year. Avoid repeated freeze/thaw cycles.
注意事项
This product as supplied is intended for research use only, not for use in human, therapeutic or diagnostic applications.
背景资料
This is a neutrophil granule-derived antibacterial and monocyte- and fibroblast-specific chemotactic glycoprotein. Binds heparin. The cytotoxic action is limited to many species of Gram-negative bacteria; this specificity may be explained by a strong affinity of the very basic N-terminal half for the negatively charged lipopolysaccharides that are unique to the Gram-negative bacterial outer envelope. It may play a role in mediating recruitment of monocytes in the second wave of inflammation. Has antibacterial activity against the Gram-nagative bacterium P.aeruginosa, this activity is inhibited by LPS from P.aeruginosa.
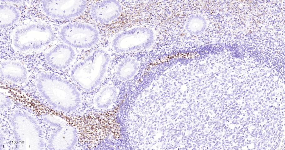
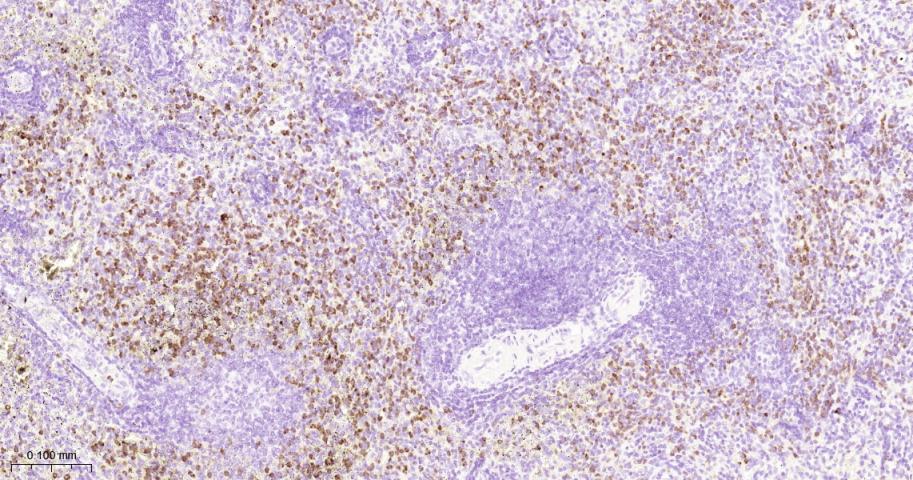
天青素/肝素结合蛋白单克隆抗体-bsm-41704M天青素/肝素结合蛋白单克隆抗体-bsm-41704M天青素/肝素结合蛋白单克隆抗体-bsm-41704M天青素/肝素结合蛋白单克隆抗体-bsm-41704M天青素/肝素结合蛋白单克隆抗体-bsm-41704M天青素/肝素结合蛋白单克隆抗体-bsm-41704M

产品应用

应用已检合格种属预测种属推荐稀释比例
WBHuman1:500-2000
IHC-PHuman1:100-500
IHC-FHuman1:100-500
IFHuman1:100-500
ELISAHuman1:5000-10000

交叉反应

交叉反应: Human

相关产品

暂无相关产品

靶标

基因名
AZU1
蛋白名
Azurocidin
亚基
Monomer.
亚细胞定位
Cytoplasmic granule. Note=Cytoplasmic granules of neutrophils.
Belongs to the peptidase S1 family. Elastase subfamily.
Contains 1 peptidase S1 domain.
相似性
Belongs to the peptidase S1 family. Elastase subfamily.
Contains 1 peptidase S1 domain.
功能
This is a neutrophil granule-derived antibacterial and monocyte- and fibroblast-specific chemotactic glycoprotein. Binds heparin. The cytotoxic action is limited to many species of Gram-negative bacteria; this specificity may be explained by a strong affinity of the very basic N-terminal half for the negatively charged lipopolysaccharides that are unique to the Gram-negative bacterial outer envelope. It may play a role in mediating recruitment of monocytes in the second wave of inflammation. Has antibacterial activity against the Gram-nagative bacterium P.aeruginosa, this activity is inhibited by LPS from P.aeruginosa. Acting alone, it does not have antimicrobial activity against the Gram-negative bacteria A.actinomycetemcomitans ATCC 29532, A.actinomycetemcomitans NCTC 9709, A.actinomycetemcomitans FDC-Y4, H.aphrophilus ATCC 13252, E.corrodens ATCC 23834, C.sputigena ATCC 33123, Capnocytophaga sp ATCC 33124, Capnocytophaga sp ATCC 27872 or E.coli ML-35. Has antibacterial activity against C.sputigena ATCC 33123 when acting synergistically with either elastase or cathepsin G.

同靶标产品

相关文献

提示: 发表研究结果有使用 bsm-41704M 时请让我们知道,以便我们可以引用参考文章。作为回馈,资料提供者将获得我们送上的小礼品。

常见问题