肿瘤抑制基因p63单克隆抗体

Rrmab?兔单抗
2026-03-02~2026-04-30,KXJ26032026-03-02~2026-04-30,促销赠品
肿瘤抑制基因p63单克隆抗体
货号:bsm-52514R
产品详情
相关标记
相关产品
相关文献
常见问题

概述

产品编号
bsm-52514R
产品类型
重组兔单抗、病理级抗体、p53 pathway
英文名称
p63 Recombinant Rabbit mAb
中文名称
肿瘤抑制基因p63单克隆抗体
英文别名
AIS; B(p51A); B(p51B); EEC3; KET; LMS; NBP; OFC8; RHS; SHFM4; TP53CP; TP53L; TP73L; p40; p51; p53CP; p63; p73H; p73L; P51/P63; Tp63; Trp53rp1; Trp63; P63_HUMAN; Chronic ulcerative stomatitis protein (CUSP); Keratinocyte transcription factor KET; Transformation-related protein 63 (TP63); Tumor protein p73-like (p73L); P63_MOUSE; P63_RAT;
抗体来源
Rabbit
免疫原
A synthesized peptide derived from human p63: 1-230
亚型
IgG
性状
Liquid
纯化方法
affinity purified by Protein A
克隆类型
Recombinant
克隆号
51A6
理论分子量
77 kDa
浓度
1mg/ml
储存液
1*TBS (pH7.4), 0.05% BSA, 40% Glycerol. Preservative: 0.02% Proclin300.
SWISS
Gene ID
保存条件
Shipped at 4℃. Store at -20℃ for one year. Avoid repeated freeze/thaw cycles.
注意事项
This product as supplied is intended for research use only, not for use in human, therapeutic or diagnostic applications.
产品介绍
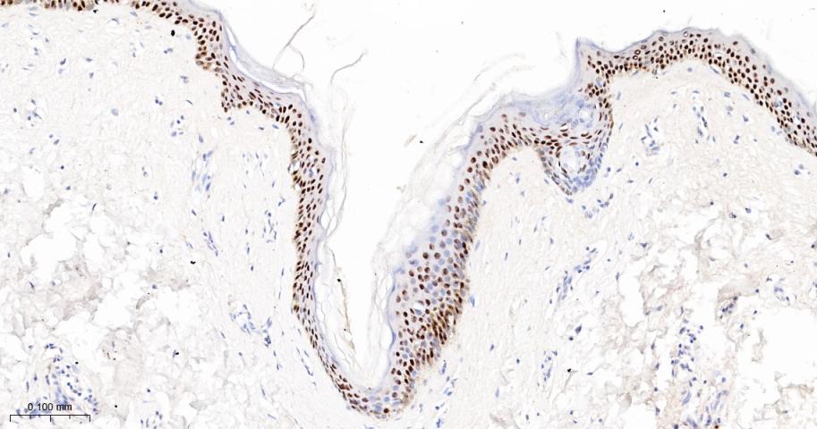
P63—也是肿瘤抑制因子之一.p63基因是抑癌基因p53的同源性基因,主要表达上皮组织的基底细胞或复层上皮细胞,如皮肤、食道、宫颈外口、扁桃体、膀胱等,和前列腺、乳腺腺样结构的基层细胞。
背景资料
This gene encodes a member of the p53 family of transcription factors. An animal model, p63 -/- mice, has been useful in defining the role this protein plays in the development and maintenance of stratified epithelial tissues. p63 -/- mice have several developmental defects which include the lack of limbs and other tissues, such as teeth and mammary glands, which develop as a result of interactions between mesenchyme and epithelium. Mutations in this gene are associated with ectodermal dysplasia, and cleft lip/palate syndrome 3 (EEC3); split-hand/foot malformation 4 (SHFM4); ankyloblepharon-ectodermal defects-cleft lip/palate; ADULT syndrome (acro-dermato-ungual-lacrimal-tooth); limb-mammary syndrome; Rap-Hodgkin syndrome (RHS); and orofacial cleft 8. Both alternative splicing and the use of alternative promoters results in multiple transcript variants encoding different proteins. Many transcripts encoding different proteins have been reported but the biological validity and the full-length nature of these variants have not been determined. [provided by RefSeq, Jul 2008].
肿瘤抑制基因p63单克隆抗体肿瘤抑制基因p63单克隆抗体肿瘤抑制基因p63单克隆抗体肿瘤抑制基因p63单克隆抗体肿瘤抑制基因p63单克隆抗体肿瘤抑制基因p63单克隆抗体

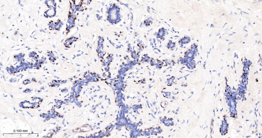
产品应用

应用已检合格种属预测种属推荐稀释比例
WBHuman1:500-2000
IHC-PHuman1:100-500
IHC-FHuman1:100-500
IFHuman1:100-500

交叉反应

交叉反应: Human

相关产品

暂无相关产品

靶标

基因名
TP63
蛋白名
Tumor protein 63
亚基
Binds DNA as a homotetramer. Isoform composition of the tetramer may determine transactivation activity. Isoforms Alpha and Gamma interact with HIPK2. Interacts with SSRP1, leading to stimulate coactivator activity. Isoform 1 and isoform 2 interact with WWP1. Interacts with PDS5A. Isoform 5 (via activation domain) interacts with NOC2L.
亚细胞定位
Nucleus.
组织特异性
Widely expressed, notably in heart, kidney, placenta, prostate, skeletal muscle, testis and thymus, although the precise isoform varies according to tissue type. Progenitor cell layers of skin, breast, eye and prostate express high levels of DeltaN-type isoforms. Isoform 10 is predominantly expressed in skin squamous cell carcinomas, but not in normal skin tissues.
翻译后修饰
May be sumoylated.
Ubiquitinated. Polyubiquitination involves WWP1 and leads to proteasomal degradation of this protein.
疾病
Acro-dermato-ungual-lacrimal-tooth syndrome (ADULT syndrome) [MIM:103285]: A form of ectodermal dysplasia. Ectodermal dysplasia defines a heterogeneous group of disorders due to abnormal development of two or more ectodermal structures. ADULT syndrome involves ectrodactyly, syndactyly, finger- and toenail dysplasia, hypoplastic breasts and nipples, intensive freckling, lacrimal duct atresia, frontal alopecia, primary hypodontiaand loss of permanent teeth. ADULT syndrome differs significantly from EEC3 syndrome by the absence of facial clefting. Note=The disease is caused by mutations affecting the gene represented in this entry.
Ankyloblepharon-ectodermal defects-cleft lip/palate (AEC) [MIM:106260]: An autosomal dominant condition characterized by congenital ectodermal dysplasia with coarse, wiry, sparse hair, dystrophic nails, slight hypohidrosis, scalp infections, ankyloblepharon filiform adnatum, maxillary hypoplasia, hypodontia and cleft lip/palate. Note=The disease is caused by mutations affecting the gene represented in this entry.
Ectrodactyly, ectodermal dysplasia, and cleft lip/palate syndrome 3 (EEC3) [MIM:604292]: A form of ectodermal dysplasia, a heterogeneous group of disorders due to abnormal development of two or more ectodermal structures. It is an autosomal dominant syndrome characterized by ectrodactyly of hands and feet, ectodermal dysplasia and facial clefting. Note=The disease is caused by mutations affecting the gene represented in this entry.
Split-hand/foot malformation 4 (SHFM4) [MIM:605289]: A limb malformation involving the central rays of the autopod and presenting with syndactyly, median clefts of the hands and feet, and aplasia and/or hypoplasia of the phalanges, metacarpals, and metatarsals. Some patients have been found to have mental retardation, ectodermal and craniofacial findings, and orofacial clefting. Note=The disease is caused by mutations affecting the gene represented in this entry.
Limb-mammary syndrome (LMS) [MIM:603543]: Characterized by ectrodactyly, cleft palate and mammary-gland abnormalities. Note=The disease is caused by mutations affecting the gene represented in this entry.
Note=Defects in TP63 are a cause of cervical, colon, head and neck, lung and
Ectodermal dysplasia, Rapp-Hodgkin type (EDRH) [MIM:129400]: A form of ectodermal dysplasia, a heterogeneous group of disorders due to abnormal development of two or more ectodermal structures. Characterized by the combination of anhidrotic ectodermal dysplasia, cleft lip, and cleft palate. The clinical syndrome is comprised of a characteristic facies (narrow nose and small mouth), wiry, slow-growing, and uncombable hair, sparse eyelashes and eyebrows, obstructed lacrimal puncta/epiphora, bilateral stenosis of external auditory canals, microsomia, hypodontia, cone-shaped incisors, enamel hypoplasia, dystrophic nails, and cleft lip/cleft palate. Note=The disease is caused by mutations affecting the gene represented in this entry.
Non-syndromic orofacial cleft 8 (OFC8) [MIM:129400]: A birth defect consisting of cleft lips with or without cleft palate. Cleft lips are associated with cleft palate in two-third of cases. A cleft lip can occur on one or both sides and range in severity from a simple notch in the upper lip to a complete opening in the lip extending into the floor of the nostril and involving the upper gum. Note=The disease is caused by mutations affecting the gene represented in this entry.
相似性
Belongs to the p53 family.
Contains 1 SAM (sterile alpha motif) domain.
功能
Acts as a sequence specific DNA binding transcriptional activator or repressor. The isoforms contain a varying set of transactivation and auto-regulating transactivation inhibiting domains thus showing an isoform specific activity. May be required in conjunction with TP73/p73 for initiation of p53/TP53 dependent apoptosis in response to genotoxic insults and the presence of activated oncogenes. Involved in Notch signaling by probably inducing JAG1 and JAG2. Plays a role in the regulation of epithelial morphogenesis. The ratio of DeltaN-type and TA*-type isoforms may govern the maintenance of epithelial stem cell compartments and regulate the initiation of epithelial stratification from the undifferentiated embryonal ectoderm. Required for limb formation from the apical ectodermal ridge.

标记抗体

暂无标记数据

同靶标产品

暂无同靶标产品

相关文献

提示: 发表研究结果有使用 bsm-52514R 时请让我们知道,以便我们可以引用参考文章。作为回馈,资料提供者将获得我们送上的小礼品。
具体参考文献:bsm-52514R 被引用于1文献中

暂无相关文献

常见问题

暂无常见问题