黑色素瘤相关抗原重组兔单抗

Rrmab?兔单抗
2026-03-02~2026-04-30,KXJ26032026-03-02~2026-04-30,促销赠品
黑色素瘤相关抗原重组兔单抗
货号:bsm-52384R
产品详情
相关标记
相关产品
相关文献
常见问题

概述

产品编号
bsm-52384R
产品类型
重组兔单抗、mIHC精品抗体
英文名称
CD63 Recombinant Rabbit mAb
中文名称
黑色素瘤相关抗原重组兔单抗
英文别名
AD1; HOP-26; ME491; MLA1; OMA81H; Pltgp40; TSPAN30; CD63_HUMAN; CD63; Granulophysin; Lysosomal-associated membrane protein 3 (LAMP-3); Lysosome integral membrane protein 1 (Limp1); Melanoma-associated antigen ME491; Ocular melanoma-associated antigen; Tetraspanin-30 (Tspan-30);
抗体来源
Rabbit
免疫原
A synthesized peptide derived from human CD63: 100-200
亚型
IgG
性状
Liquid
纯化方法
affinity purified by Protein A
克隆类型
Recombinant
克隆号
4C2
理论分子量
26 kDa
检测分子量
30-50 kDa
储存液
0.01M TBS (pH7.4) with 1% BSA, 0.02% Proclin300 and 50% Glycerol.
SWISS
Gene ID
保存条件
Shipped at 4℃. Store at -20℃ for one year. Avoid repeated freeze/thaw cycles.
注意事项
This product as supplied is intended for research use only, not for use in human, therapeutic or diagnostic applications.
产品介绍
CD63为溶酶体膜糖蛋白也是一种细胞表面糖蛋白,可表达在多种细胞的表面和胞浆内,血小板活化后即转移至膜表面。
CD63—又称黑色素瘤相关抗原MLA1和整合素形成复合物。是血液血小板活化的标志。与一些肿瘤的进展也有关联。
背景资料
The protein encoded by this gene is a member of the transmembrane 4 superfamily, also known as the tetraspanin family. Most of these members are cell-surface proteins that are characterized by the presence of four hydrophobic domains. The proteins mediate signal transduction events that play a role in the regulation of cell development, activation, growth and motility. The encoded protein is a cell surface glycoprotein that is known to complex with integrins. It may function as a blood platelet activation marker. Deficiency of this protein is associated with Hermansky-Pudlak syndrome. Also this gene has been associated with tumor progression. Alternative splicing results in multiple transcript variants encoding different protein isoforms. [provided by RefSeq, Apr 2012]
黑色素瘤相关抗原重组兔单抗黑色素瘤相关抗原重组兔单抗黑色素瘤相关抗原重组兔单抗黑色素瘤相关抗原重组兔单抗黑色素瘤相关抗原重组兔单抗黑色素瘤相关抗原重组兔单抗黑色素瘤相关抗原重组兔单抗黑色素瘤相关抗原重组兔单抗

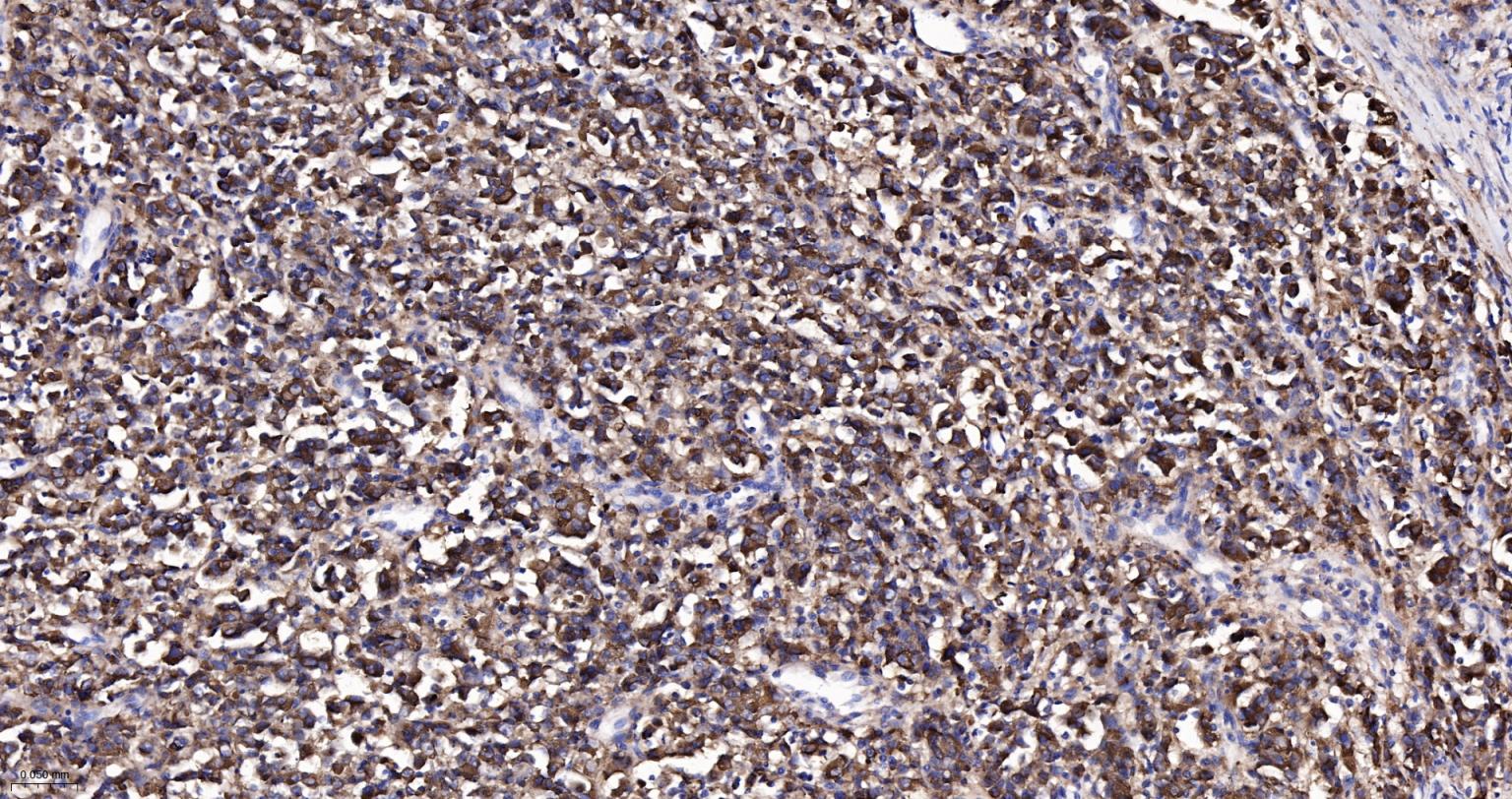
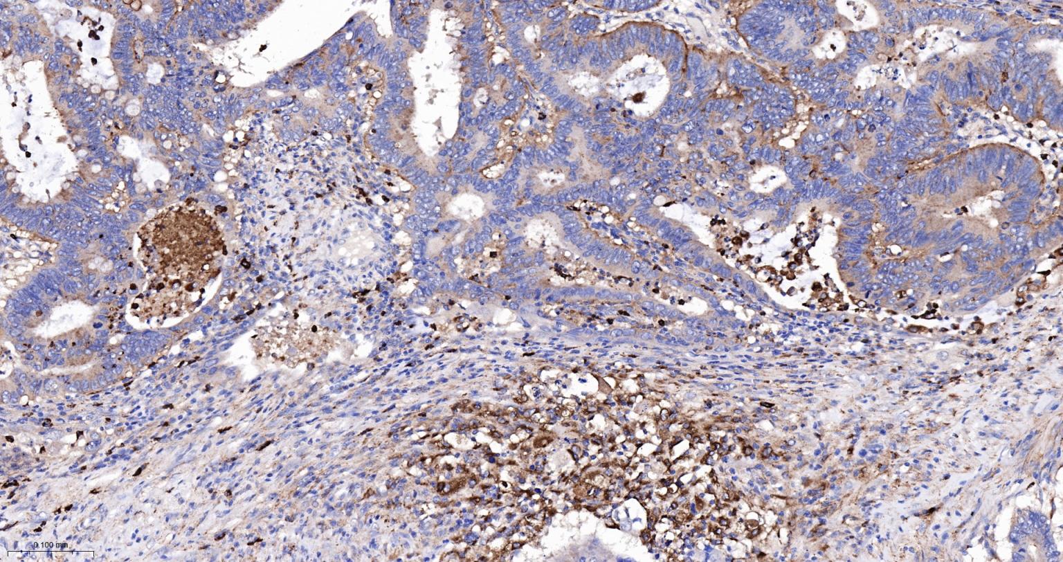
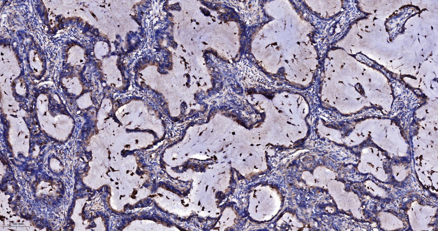
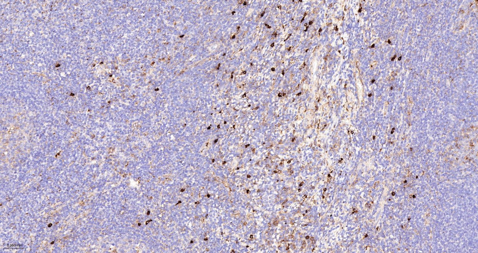
产品应用

应用已检合格种属预测种属推荐稀释比例
WBHuman1:1000-5000
IHC-PHuman1:200-800
IHC-FHuman1:200-800
IFHuman1:200-800
ICC/IFHuman1:50-200

交叉反应

交叉反应: Human

相关产品

暂无相关产品

靶标

基因名
CD63
蛋白名
CD63 antigen
亚细胞定位
Cell membrane; Multi-pass membrane protein. Lysosome membrane; Multi-pass membrane protein. Late endosome membrane; Multi-pass membrane protein. Note=Also found in Weibel-Palade bodies of endothelial cells. Located in platelet dense granules.
组织特异性
Dysplastic nevi, radial growth phase primary melanomas, hematopoietic cells, tissue macrophages.
相似性
Belongs to the tetraspanin (TM4SF) family.
功能
This antigen is associated with early stages of melanoma tumor progression. May play a role in growth regulation.

标记抗体

暂无标记数据

同靶标产品

暂无同靶标产品

相关文献

提示: 发表研究结果有使用 bsm-52384R 时请让我们知道,以便我们可以引用参考文章。作为回馈,资料提供者将获得我们送上的小礼品。
具体参考文献:bsm-52384R 被引用于5文献中

暂无相关文献

常见问题

暂无常见问题