Cardiovascular > Angiogenesis > Endothelial Cell Markers
Immunology > Adaptive Immunity > B Cells > CD
Immunology > Adaptive Immunity > Regulatory T Cells
Immunology > Adaptive Immunity > T Cells > CD
Immunology > Cell Type Markers > CD > Non-lineage
Neuroscience > Cell Type Marker > Glia marker > Microglia marker
Signal Transduction > Protein Phosphorylation > Tyrosine Phosphatases
Stem Cells > Hematopoietic Progenitors > Lymphoid > B Lymphocytic Lineage
Stem Cells > Hematopoietic Progenitors > Lymphoid > NK Cell Lineage
Stem Cells > Hematopoietic Progenitors > Lymphoid > T Lymphocytic Lineage
Stem Cells > Hematopoietic Progenitors > Myeloid > Dendritic Cell Lineage
Stem Cells > Hematopoietic Progenitors > Myeloid > Mast Cell Lineage
Stem Cells > Hematopoietic Progenitors > Myeloid > Monocytic Lineage
Stem Cells > Hematopoietic Progenitors > Myeloid > Neutrophil Lineage










| 应用 | 已检合格种属 | 预测种属 | 推荐稀释比例 |
|---|---|---|---|
| WB | Human | 1:500-2000 | |
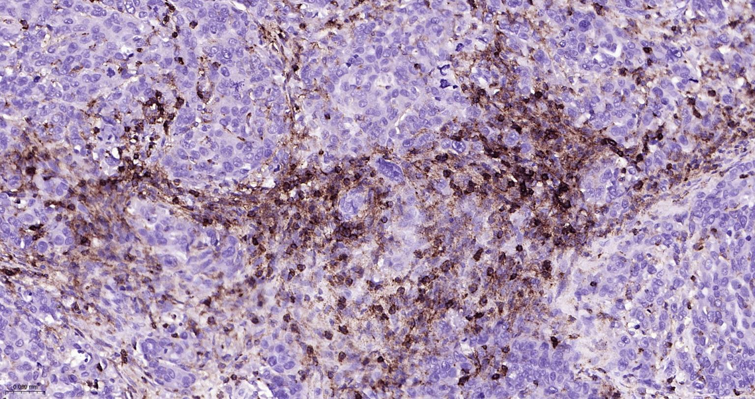
| IHC-P | Human | 1:100-500 | |
| IHC-F | Human | 1:100-500 | |
| IF | Human | 1:100-500 |
交叉反应: Human
暂无相关产品
暂无标记数据
暂无同靶标产品
暂无相关文献
暂无常见问题