RAB5A Recombinant Rabbit mAb (一抗) - WB,IHC-P,IHC-F,IF,ICC/IF | Bioss

Rrmab?兔单抗
2026-03-02~2026-04-30,KXJ2603
RAB5A Recombinant Rabbit mAb (一抗) - WB,IHC-P,IHC-F,IF,ICC/IF | Bioss
货号:bsm-52451R
产品详情
相关标记
相关产品
相关文献
常见问题

概述

产品编号
bsm-52451R
产品类型
重组兔单抗
英文名称
RAB5A Recombinant Rabbit mAb
中文名称
ras癌基因家族Rab5蛋白重组兔单抗
英文别名
RAB5; 2410015H04Rik; nnyRab5a; RAB5A_HUMAN; RAB5A; 3.6.5.2; RAB5A_MOUSE;
抗体来源
Rabbit
免疫原
A synthesized peptide derived from human Rab5A: 175-215
亚型
IgG
性状
Liquid
纯化方法
affinity purified by Protein A
克隆类型
Recombinant
克隆号
4A6
理论分子量
22 kDa
检测分子量
25 kDa
浓度
1mg/ml
储存液
0.01M TBS (pH7.4) with 1% BSA, 0.02% Proclin300 and 50% Glycerol.
SWISS
Gene ID
保存条件
Shipped at 4℃. Store at -20℃ for one year. Avoid repeated freeze/thaw cycles.
注意事项
This product as supplied is intended for research use only, not for use in human, therapeutic or diagnostic applications.
背景资料
Rab5-related subfamily. This subfamily includes Rab5 and Rab22 of mammals, Ypt51/Ypt52/Ypt53 of yeast, and RabF of plants. The members of this subfamily are involved in endocytosis and endocytic-sorting pathways. In mammals, Rab5 GTPases localize to early endosomes and regulate fusion of clathrin-coated vesicles to early endosomes and fusion between early endosomes. In yeast, Ypt51p family members similarly regulate membrane trafficking through prevacuolar compartments. GTPase activating proteins (GAPs) interact with GTP-bound Rab and accelerate the hydrolysis of GTP to GDP. Guanine nucleotide exchange factors (GEFs) interact with GDP-bound Rabs to promote the formation of the GTP-bound state. Rabs are further regulated by guanine nucleotide dissociation inhibitors (GDIs), which facilitate Rab recycling by masking C-terminal lipid binding and promoting cytosolic localization. Most Rab GTPases contain a lipid modification site at the C-terminus, with sequence motifs CC, CXC, or CCX. Lipid binding is essential for membrane attachment, a key feature of most Rab proteins. Due to the presence of truncated sequences in this CD, the lipid modification site is not available for annotation.
ras癌基因家族Rab5蛋白重组兔单抗-bsm-52451Rras癌基因家族Rab5蛋白重组兔单抗-bsm-52451Rras癌基因家族Rab5蛋白重组兔单抗-bsm-52451Rras癌基因家族Rab5蛋白重组兔单抗-bsm-52451Rras癌基因家族Rab5蛋白重组兔单抗-bsm-52451Rras癌基因家族Rab5蛋白重组兔单抗-bsm-52451Rras癌基因家族Rab5蛋白重组兔单抗-bsm-52451Rras癌基因家族Rab5蛋白重组兔单抗-bsm-52451Rras癌基因家族Rab5蛋白重组兔单抗-bsm-52451Rras癌基因家族Rab5蛋白重组兔单抗-bsm-52451R

产品应用

应用已检合格种属预测种属推荐稀释比例
WBHuman, Mouse, Rat1:500-2000
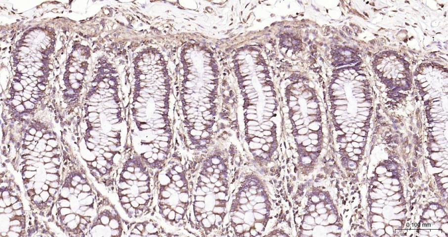
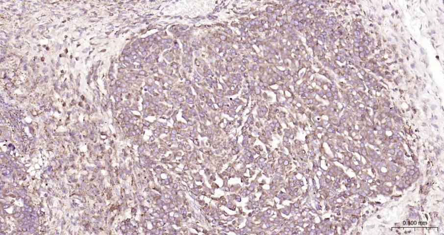
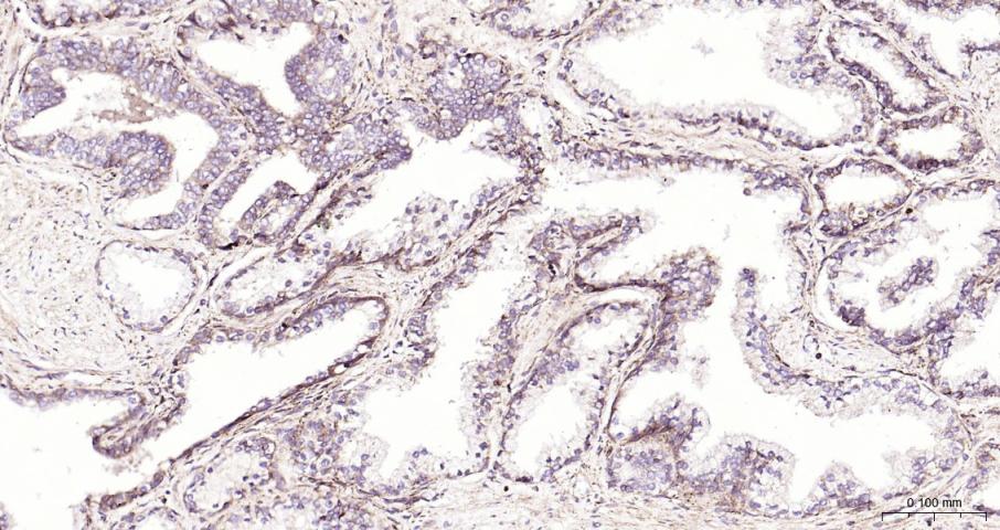
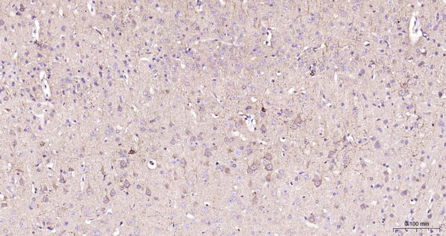
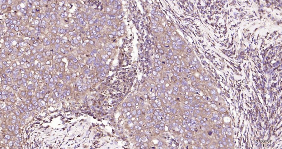
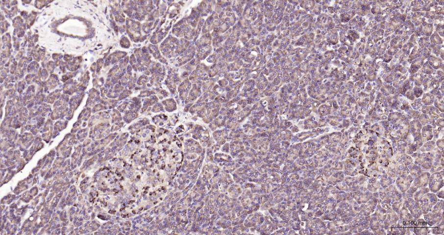
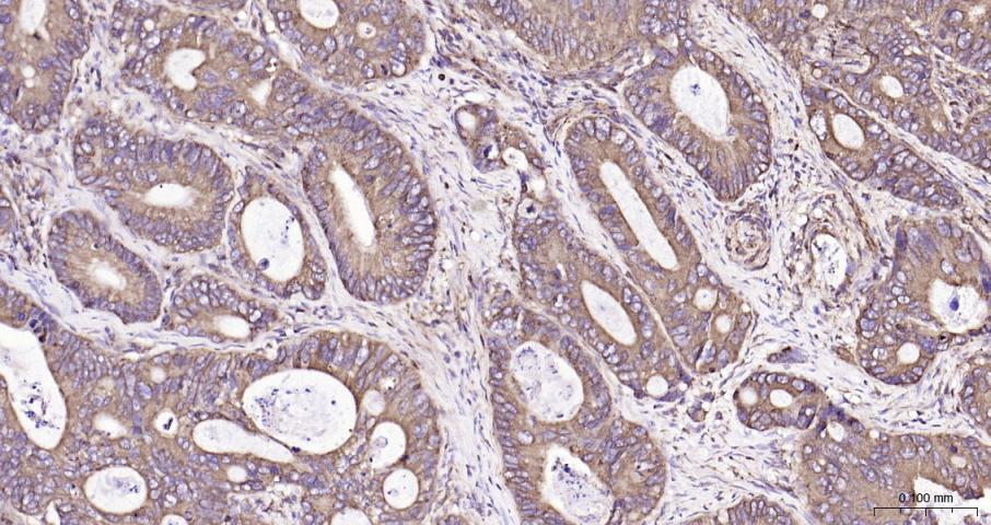
IHC-PHuman, Mouse, Rat1:100-500
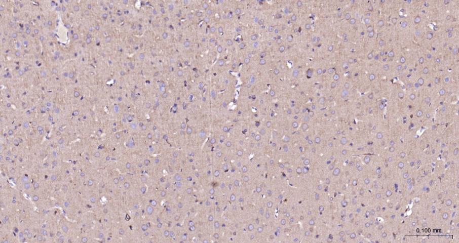
IHC-FHuman, Mouse, Rat1:100-500
IFHuman, Mouse, Rat1:100-500
ICC/IFHuman, Mouse, Rat1:50-200

交叉反应

交叉反应: Human, Mouse, Rat

相关产品

暂无相关产品

靶标

基因名
RAB5A
蛋白名
Ras-related protein Rab-5A
亚基
Binds EEA1. Interacts with RIN1 and GAPVD1, which regulate its pathway, probably by acting as a GEF. Interacts with ALS2CL, RABEP1, SUN2, ZFYVE20 and RUFY1. Interacts with SGSM1 and SGSM3. Interacts with PIK3CB.
亚细胞定位
Cell membrane; Lipid-anchor; Cytoplasmic side. Early endosome membrane; Lipid-anchor. Melanosome.
相似性
Belongs to the small GTPase superfamily. Rab family.
功能
Binds EEA1. Interacts with RIN1 and GAPVD1, which regulate its pathway, probably by acting as a GEF. Interacts with ALS2CL, RABEP1, SUN2, ZFYVE20 and RUFY1. Interacts with SGSM1 and SGSM3. Interacts with PIK3CB.

同靶标产品

相关文献

提示: 发表研究结果有使用 bsm-52451R 时请让我们知道,以便我们可以引用参考文章。作为回馈,资料提供者将获得我们送上的小礼品。

常见问题