Cancer > Cancer Metabolism > Response to hypoxia
Cardiovascular > Atherosclerosis > Vascular Inflammation > Inflammatory mediators
Cardiovascular > Blood > Platelets
Cardiovascular > Vasculature > Endothelium
Epigenetics and Nuclear Signaling > Nuclear Signaling Pathways > NFkB pathway
Metabolism > Pathways and Processes > Metabolism processes > Hypoxia
Metabolism > Types of disease > Cancer
Metabolism > Types of disease > Heart disease
Metabolism > Types of disease > Neurodegenerative disease
Neuroscience > Neurology process > Neurodegenerative disease > Alzheimer's disease
Signal Transduction > Signaling Pathway > Nuclear Signaling > NFkB Pathway




















| 应用 | 已检合格种属 | 预测种属 | 推荐稀释比例 |
|---|---|---|---|
| WB | Human, Mouse, Rat | 1:1000-10000 | |
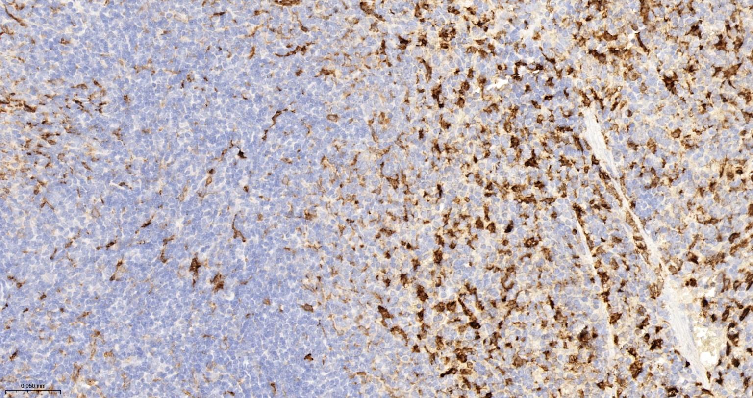
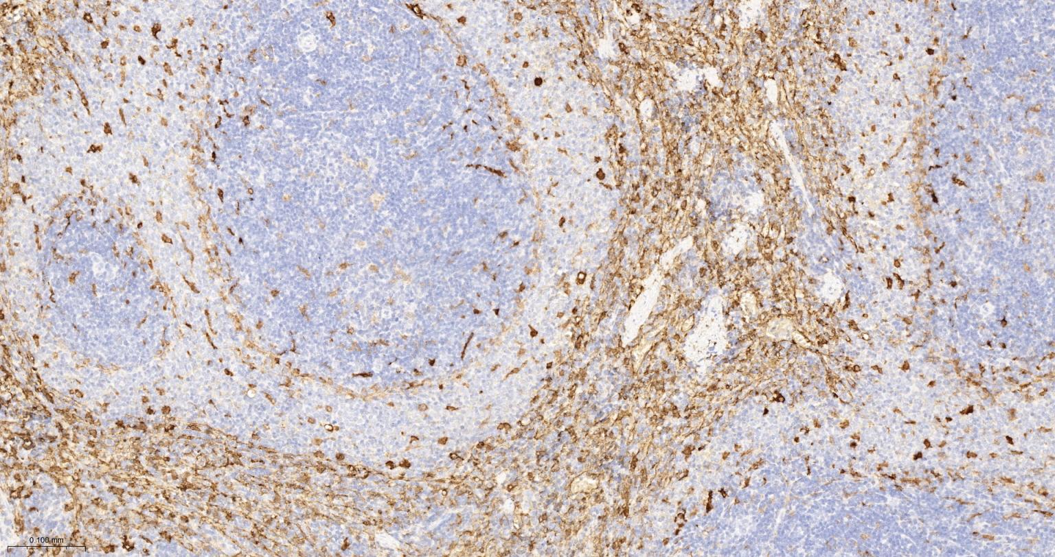
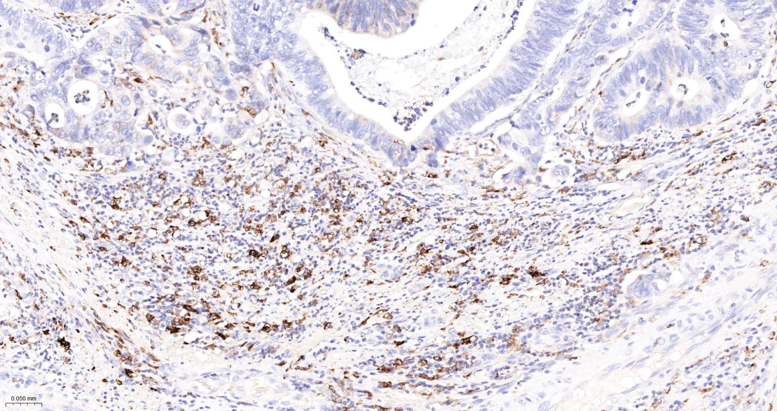
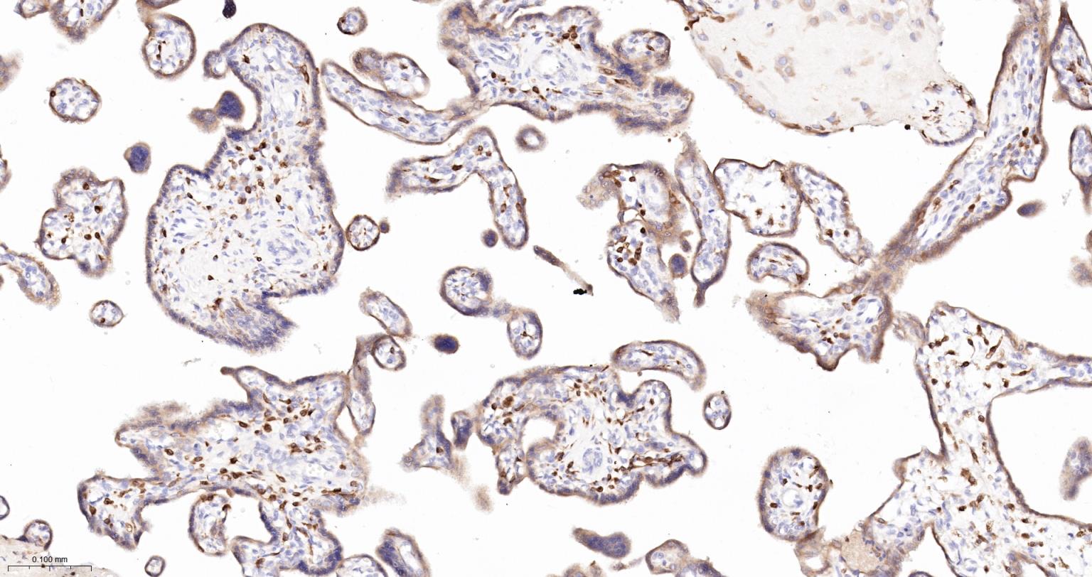
| IHC-P | Human, Mouse, Rat | 1:100-500 | |
| IHC-F | Human, Mouse, Rat | 1:100-500 | |
| IF | Human, Mouse, Rat | 1:100-500 | |
| Flow-Cyt | Human, Mouse, Rat | 1:50-100 | |
| ICC/IF | Human, Mouse, Rat | 1:50-200 |
交叉反应: Human, Mouse, Rat
暂无相关产品
暂无标记数据
暂无同靶标产品
暂无相关文献
暂无常见问题