S100钙结合蛋白P重组兔单抗

Rrmab?兔单抗
2026-03-02~2026-04-30,KXJ26032026-03-02~2026-04-30,促销赠品
S100钙结合蛋白P重组兔单抗
货号:bsm-60370R
产品详情
相关标记
相关产品
相关文献
常见问题

概述

产品编号
bsm-60370R
产品类型
重组兔单抗、病理级抗体、mIHC精品抗体
英文名称
S100P Recombinant Rabbit mAb
中文名称
S100钙结合蛋白P重组兔单抗
英文别名
MIG9; S100P_HUMAN; S100P; Migration-inducing gene 9 protein (MIG9); Protein S100-E; S100 calcium-binding protein P; S100E;
抗体来源
Rabbit
免疫原
A synthesized peptide derived from human S100P: 71-95
亚型
IgG
性状
Liquid
纯化方法
affinity purified by Protein A
克隆类型
Recombinant
克隆号
E10A6
理论分子量
10 kDa
浓度
1mg/ml
储存液
0.01M TBS (pH7.4) with 1% BSA, 0.02% Proclin300 and 50% Glycerol.
SWISS
Gene ID
保存条件
Shipped at 4℃. Store at -20℃ for one year. Avoid repeated freeze/thaw cycles.
注意事项
This product as supplied is intended for research use only, not for use in human, therapeutic or diagnostic applications.
背景资料
The protein encoded by this gene is a member of the S100 family of proteins containing 2 EF-hand calcium-binding motifs. S100 proteins are localized in the cytoplasm and/or nucleus of a wide range of cells, and involved in the regulation of a number of cellular processes such as cell cycle progression and differentiation. S100 genes include at least 13 members which are located as a cluster on chromosome 1q21; however, this gene is located at 4p16. This protein, in addition to binding Ca2+, also binds Zn2+ and Mg2+. This protein may play a role in the etiology of prostate cancer. [provided by RefSeq]
S100钙结合蛋白P重组兔单抗S100钙结合蛋白P重组兔单抗S100钙结合蛋白P重组兔单抗S100钙结合蛋白P重组兔单抗S100钙结合蛋白P重组兔单抗

产品应用

应用已检合格种属预测种属推荐稀释比例
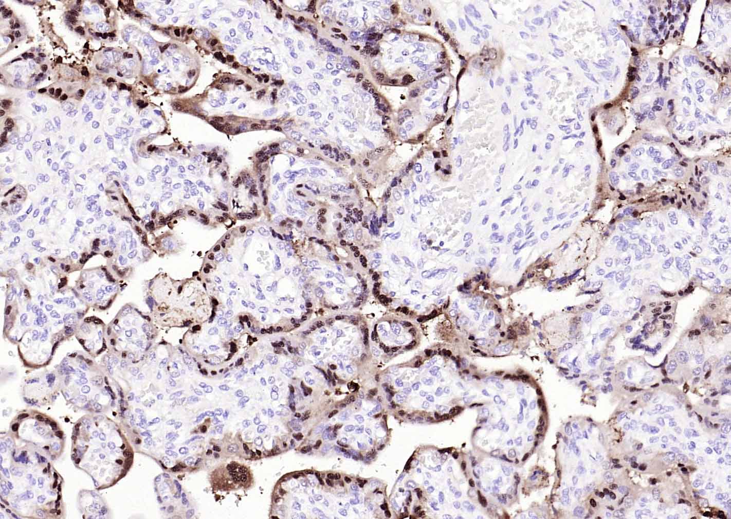
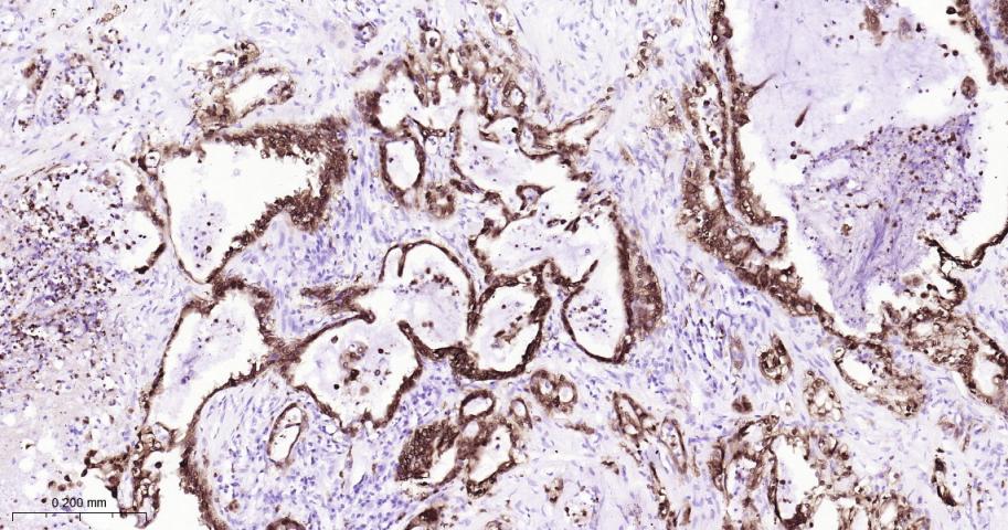
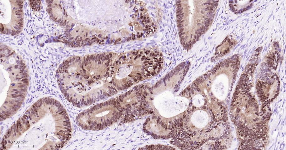
IHC-PHuman1:100-500
IHC-FHuman1:100-500
IFHuman1:100-500
Flow-CytHuman1:50-100

交叉反应

交叉反应: Human

相关产品

暂无相关产品

靶标

基因名
S100P
蛋白名
Protein S100-P
亚基
Homodimer and heterodimer with S100A1. Interacts with S100PBP and S100Z. Interacts with CACYBP in a calcium-dependent manner. Dimeric form binds to and activates EZR/Ezrin by unmasking its F-actin binding sites. Interacts with PPP5C (via TPR repeats); the interaction is calcium-dependent and modulates PPP5C activity.
亚细胞定位
Nucleus. Cytoplasm. Colocalizes with S100PBP in the nucleus.
组织特异性
etected in all of the tissues except brain, testis and small intestine, expression level is higher in placenta, heart, lung, skeletal muscle, spleen and leukocyte. Up-regulated in various pancreatic ductal adenocarcinomas and pancreatic intraepithelial neoplasias.
相似性
Belongs to the S-100 family.
Contains 2 EF-hand domains.
功能
May function as calcium sensor and contribute to cellular calcium signaling. In a calcium-dependent manner, functions by interacting with other proteins, such as EZR and PPP5C, and indirectly plays a role in physiological processes like the formation of microvilli in epithelial cells. May stimulate cell proliferation in an autocrine manner via activation of the receptor for activated glycation end products (RAGE).

标记抗体

暂无标记数据

同靶标产品

暂无同靶标产品

相关文献

提示: 发表研究结果有使用 bsm-60370R 时请让我们知道,以便我们可以引用参考文章。作为回馈,资料提供者将获得我们送上的小礼品。

暂无相关文献

常见问题

暂无常见问题