Ⅰ型补体受体重组兔单抗

Rrmab?兔单抗
2026-03-02~2026-04-30,KXJ26032026-03-02~2026-04-30,促销赠品
Ⅰ型补体受体重组兔单抗
货号:bsm-60247R
产品详情
相关标记
相关产品
相关文献
常见问题

概述

产品编号
bsm-60247R
产品类型
重组兔单抗、病理级抗体、mIHC精品抗体
英文名称
CD35 Recombinant Rabbit mAb
中文名称
Ⅰ型补体受体重组兔单抗
英文别名
C3BR; C4BR; CD35; KN; CR1_HUMAN; CR1; C3b/C4b receptor;
抗体来源
Rabbit
免疫原
A synthesized peptide derived from human CR1: 2000-2039
亚型
IgG
性状
Liquid
纯化方法
affinity purified by Protein A
克隆类型
Recombinant
克隆号
1A11
理论分子量
274 kDa
浓度
1mg/ml
储存液
0.01M TBS (pH7.4) with 1% BSA, 0.02% Proclin300 and 50% Glycerol.
SWISS
Gene ID
保存条件
Shipped at 4℃. Store at -20℃ for one year. Avoid repeated freeze/thaw cycles.
注意事项
This product as supplied is intended for research use only, not for use in human, therapeutic or diagnostic applications.
产品介绍
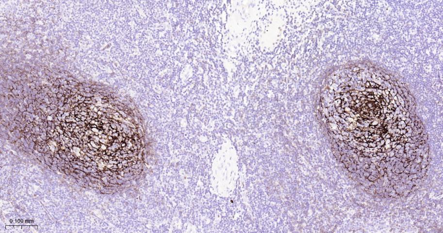
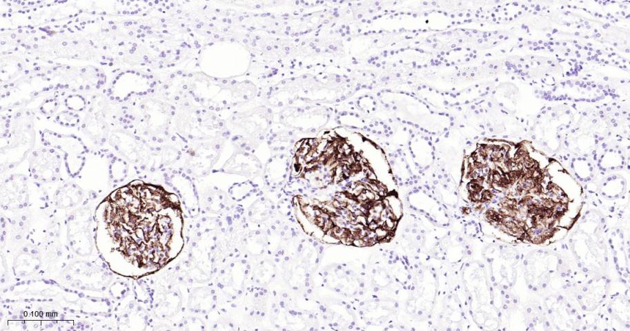
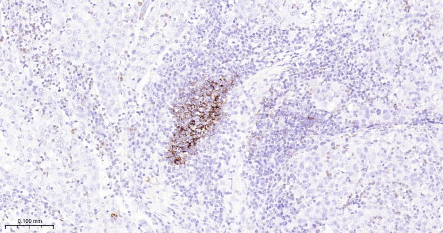
CD35广泛分布于红细胞、粒细胞、单核细胞、肥大细胞、滤泡树突状细胞、肾小球足突细胞、B细胞及部分CD4+T细胞表面.CD35抗原又称为CR1或者C3b/C4b R,是一种分子量160-250kDa的C3b/C4b补体结合跨膜蛋白,主要用于滤泡树突状细胞标记和滤泡树突状细胞瘤的诊断。
背景资料
This gene is a member of the receptors of complement activation (RCA) family and is located in the 'cluster RCA' region of chromosome 1. The genome is polymorphic at this locus with allele-specific splice variants encoding different isoforms, based on the presence/absence of long homologous repeats (LHRs). The gene encodes a monomeric single-pass type I membrane glycoprotein found on erythrocytes, leukocytes, glomerular podocytes, and splenic follicular dendritic cells. The Knops blood group system is a system of antigens located on this protein. The protein mediates cellular binding to particles and immune complexes that have activated complement. Decreases in expression of this protein and/or mutations in this gene have been associated with gallbladder carcinomas, mesangiocapillary glomerulonephritis, systemic lupus erythematosus, sarcoidosis and Alzheimer's disease. Mutations in this gene have also been associated with a reduction in Plasmodium falciparum rosetting, conferring protection against severe malaria. [provided by RefSeq, May 2020]
Ⅰ型补体受体重组兔单抗Ⅰ型补体受体重组兔单抗Ⅰ型补体受体重组兔单抗Ⅰ型补体受体重组兔单抗Ⅰ型补体受体重组兔单抗

产品应用

应用已检合格种属预测种属推荐稀释比例
IHC-PHuman1:100-500
IHC-FHuman1:100-500
IFHuman1:100-500

交叉反应

交叉反应: Human

相关产品

暂无相关产品

靶标

基因名
CR1
蛋白名
Complement receptor type 1
亚基
Monomer.
亚细胞定位
Membrane; Single-pass type I membrane protein.
组织特异性
Present on erythrocytes, leukocytes, glomerular podocytes, and splenic follicular dendritic cells.
相似性
Belongs to the receptors of complement activation (RCA) family.
Contains 30 Sushi (CCP/SCR) domains.
功能
Mediates cellular binding of particles and immune complexes that have activated complement.

标记抗体

暂无标记数据

同靶标产品

暂无同靶标产品

相关文献

提示: 发表研究结果有使用 bsm-60247R 时请让我们知道,以便我们可以引用参考文章。作为回馈,资料提供者将获得我们送上的小礼品。

暂无相关文献

常见问题

暂无常见问题