MSH2 Recombinant Rabbit mAb (一抗) - WB,IHC-P,IHC-F,IF,Flow-Cyt,ICC/IF | Bioss

Rrmab?兔单抗
2026-05-01~2026-06-30,AB26052026-05-01~2026-06-30,WB精选(促销赠品)
MSH2 Recombinant Rabbit mAb (一抗) - WB,IHC-P,IHC-F,IF,Flow-Cyt,ICC/IF | Bioss
货号:bsm-60222R
产品详情
相关标记
相关产品
相关文献
常见问题

概述

产品编号
bsm-60222R
产品类型
重组兔单抗、mIHC精品抗体
英文名称
MSH2 Recombinant Rabbit mAb
中文名称
错配修复蛋白2重组兔单抗
英文别名
COCA1; FCC1; HNPCC; HNPCC1; LCFS2; LYNCH1; MMRCS2; MSH-2; hMSH2; MSH2_HUMAN; MSH2; MutS protein homolog 2; MSH2_MOUSE; MSH2_RAT; mutS homolog 2; mutS (E. coli) homolog 2 (colon cancer, nonpolyposis type 1); mutS homolog 2, colon cancer, nonpolyposis type 1 (E. coli); DNA mismatch repair protein Msh2
抗体来源
Rabbit
免疫原
A synthesized peptide derived from human MSH2: 1-50/934
亚型
IgG
性状
Liquid
纯化方法
affinity purified by Protein A
克隆类型
Recombinant
克隆号
B4F3
理论分子量
105 kDa
检测分子量
105 kDa
浓度
1mg/ml
储存液
0.01M TBS (pH7.4) with 1% BSA, 0.02% Proclin300 and 50% Glycerol.
SWISS
Gene ID
保存条件
Shipped at 4℃. Store at -20℃ for one year. Avoid repeated freeze/thaw cycles.
注意事项
This product as supplied is intended for research use only, not for use in human, therapeutic or diagnostic applications.
产品介绍
MSH2是核苷酸错配修复酶之一,其突变和多种肿瘤的发生有关,主要用于:先天性结肠癌、散发性结肠癌及一些消化系统肿瘤方面的研究。DNA错配修复系统是指由特异修复DNA碱基错配的酶组成,保证DNA遗传物质的高保真性。它由MLH1、MSH2、PMS1、PMS2、MSH6和MSH3基因组成。如果上述基因发生突变或失活,会使细胞错配修复功能缺陷,产生遗传不稳定性,导致肿瘤易感。MSH2基因突变发生在散发性结肠癌中。
hMSH-2和hMLH1都与肿瘤的发生有关。
背景资料
Component of the post-replicative DNA mismatch repair system (MMR). Forms two different heterodimers: MutS alpha (MSH2-MSH6 heterodimer) and MutS beta (MSH2-MSH3 heterodimer) which binds to DNA mismatches thereby initiating DNA repair. When bound, heterodimers bend the DNA helix and shields approximately 20 base pairs. MutS alpha recognizes single base mismatches and dinucleotide insertion-deletion loops (IDL) in the DNA. MutS beta recognizes larger insertion-deletion loops up to 13 nucleotides long. After mismatch binding, MutS alpha or beta forms a ternary complex with the MutL alpha heterodimer, which is thought to be responsible for directing the downstream MMR events, including strand discrimination, excision, and resynthesis. ATP binding and hydrolysis play a pivotal role in mismatch repair functions. The ATPase activity associated with MutS alpha regulates binding similar to a molecular switch: mismatched DNA provokes ADP-->ATP exchange, resulting in a discernible conformational transition that converts MutS alpha into a sliding clamp capable of hydrolysis-independent diffusion along the DNA backbone. This transition is crucial for mismatch repair. MutS alpha may also play a role in DNA homologous recombination repair. In melanocytes may modulate both UV-B-induced cell cycle regulation and apoptosis.
错配修复蛋白2重组兔单抗-bsm-60222R错配修复蛋白2重组兔单抗-bsm-60222R错配修复蛋白2重组兔单抗-bsm-60222R错配修复蛋白2重组兔单抗-bsm-60222R错配修复蛋白2重组兔单抗-bsm-60222R错配修复蛋白2重组兔单抗-bsm-60222R错配修复蛋白2重组兔单抗-bsm-60222R错配修复蛋白2重组兔单抗-bsm-60222R错配修复蛋白2重组兔单抗-bsm-60222R错配修复蛋白2重组兔单抗-bsm-60222R错配修复蛋白2重组兔单抗-bsm-60222R

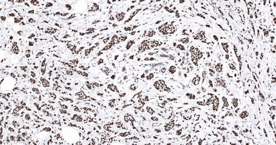
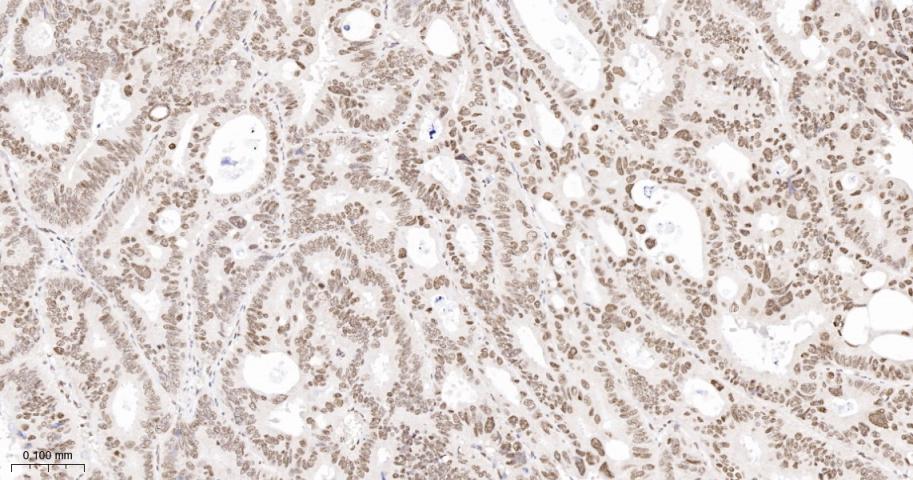
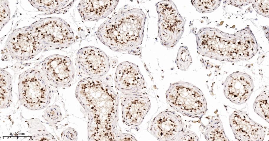
产品应用

应用已检合格种属预测种属推荐稀释比例
WBHuman1:1000-5000
IHC-PHuman1:200-1000
IHC-FHuman1:200-1000
IFHuman1:200-1000
Flow-CytHuman1:50-100
ICC/IFHuman1:50-200

交叉反应

交叉反应: Human

相关产品

暂无相关产品

靶标

基因名
MSH2
蛋白名
DNA mismatch repair protein Msh2
亚基
Heterodimer consisting of MSH2-MSH6 (MutS alpha) or MSH2-MSH3 (MutS beta). Both heterodimer form a ternary complex with MutL alpha (MLH1-PMS1). Interacts with EXO1. Part of the BRCA1-associated genome surveillance complex (BASC), which contains BRCA1, MSH2, MSH6, MLH1, ATM, BLM, PMS2 and the RAD50-MRE11-NBS1 protein complex. This association could be a dynamic process changing throughout the cell cycle and within subnuclear domains. Interacts with ATR. Interacts with SLX4/BTBD12; this interaction is direct and links MutS beta to SLX4, a subunit of different structure-specific endonucleases. Interacts with SMARCAD1.
亚细胞定位
Nucleus.
组织特异性
Ubiquitously expressed.
翻译后修饰
Phosphorylated by PRKCZ, which may prevent MutS alpha degradation by the ubiquitin-proteasome pathway. Phosphorylated upon DNA damage, probably by ATM or ATR.
疾病
Hereditary non-polyposis colorectal cancer 1 (HNPCC1) [MIM:120435]: An autosomal dominant disease associated with marked increase in cancer susceptibility. It is characterized by a familial predisposition to early-onset colorectal carcinoma (CRC) and extra-colonic tumors of the gastrointestinal, urological and female reproductive tracts. HNPCC is reported to be the most common form of inherited colorectal cancer in the Western world. Clinically, HNPCC is often divided into two subgroups. Type I is characterized by hereditary predisposition to colorectal cancer, a young age of onset, and carcinoma observed in the proximal colon. Type II is characterized by increased risk for cancers in certain tissues such as the uterus, ovary, breast, stomach, small intestine, skin, and larynx in addition to the colon. Diagnosis of classical HNPCC is based on the Amsterdam criteria: 3 or more relatives affected by colorectal cancer, one a first degree relative of the other two; 2 or more generation affected; 1 or more colorectal cancers presenting before 50 years of age; exclusion of hereditary polyposis syndromes. The term 'suspected HNPCC' or 'incomplete HNPCC' can be used to describe families who do not or only partially fulfill the Amsterdam criteria, but in whom a genetic basis for colon cancer is strongly suspected. Note=The disease is caused by mutations affecting the gene represented in this entry.
Muir-Torre syndrome (MRTES) [MIM:158320]: Rare autosomal dominant disorder characterized by sebaceous neoplasms and visceral malignancy. Note=The disease is caused by mutations affecting the gene represented in this entry.
Endometrial cancer (ENDMC) [MIM:608089]: A malignancy of endometrium, the mucous lining of the uterus. Most endometrial cancers are adenocarcinomas, cancers that begin in cells that make and release mucus and other fluids. Note=Disease susceptibility is associated with variations affecting the gene represented in this entry.
相似性
Belongs to the DNA mismatch repair MutS family.
功能
Component of the post-replicative DNA mismatch repair system (MMR). Forms two different heterodimers: MutS alpha (MSH2-MSH6 heterodimer) and MutS beta (MSH2-MSH3 heterodimer) which binds to DNA mismatches thereby initiating DNA repair. When bound, heterodimers bend the DNA helix and shields approximately 20 base pairs. MutS alpha recognizes single base mismatches and dinucleotide insertion-deletion loops (IDL) in the DNA. MutS beta recognizes larger insertion-deletion loops up to 13 nucleotides long. After mismatch binding, MutS alpha or beta forms a ternary complex with the MutL alpha heterodimer, which is thought to be responsible for directing the downstream MMR events, including strand discrimination, excision, and resynthesis. ATP binding and hydrolysis play a pivotal role in mismatch repair functions. The ATPase activity associated with MutS alpha regulates binding similar to a molecular switch: mismatched DNA provokes ADP-->ATP exchange, resulting in a discernible conformational transition that converts MutS alpha into a sliding clamp capable of hydrolysis-independent diffusion along the DNA backbone. This transition is crucial for mismatch repair. MutS alpha may also play a role in DNA homologous recombination repair. In melanocytes may modulate both UV-B-induced cell cycle regulation and apoptosis.

同靶标产品

相关文献

提示: 发表研究结果有使用 bsm-60222R 时请让我们知道,以便我们可以引用参考文章。作为回馈,资料提供者将获得我们送上的小礼品。

常见问题