Immunology > Adaptive Immunity > B Cells > CD
Immunology > Adaptive Immunity > Regulatory T Cells
Immunology > Adaptive Immunity > T Cells > CD
Immunology > Immune System Diseases > Autoimmune
Immunology > Innate Immunity > Cytokines > TNF Superfamily
Kits/ Lysates/ Other > Kits > ELISA Kits > ELISA Kits > CD markers ELISA kits
Kits/ Lysates/ Other > Kits > ELISA Kits > ELISA Kits > TNF ELISA kits
Stem Cells > Hematopoietic Progenitors > Lymphoid > T Lymphocytic Lineage






| 应用 | 已检合格种属 | 预测种属 | 推荐稀释比例 |
|---|---|---|---|
| WB | Human | 1:500-2000 | |
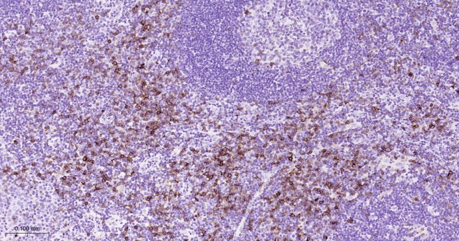
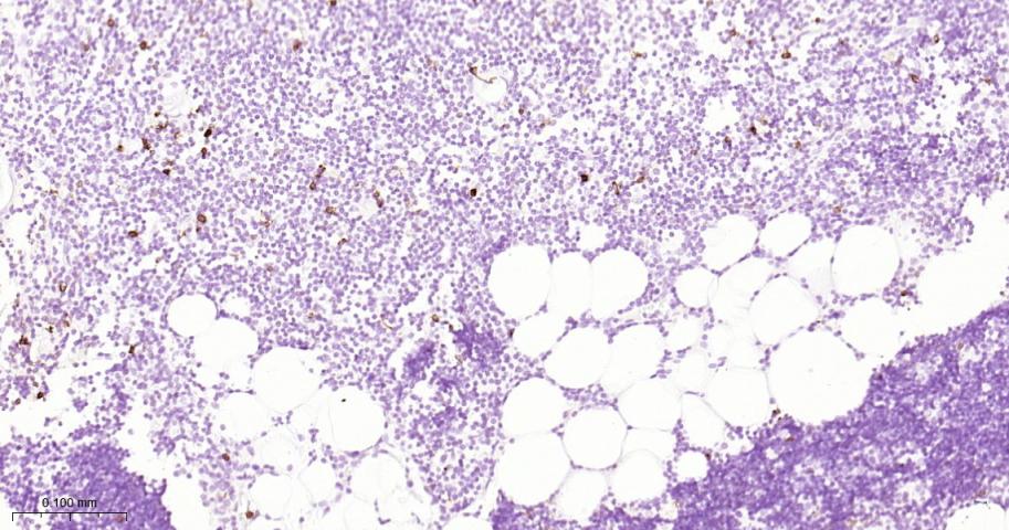
| IHC-P | Human | 1:50-200 | |
| IHC-F | Human | 1:50-200 | |
| IF | Human | 1:50-200 | |
| Flow-Cyt | Human | 1:50-100 | |
| ICC/IF | Human | 1:50-200 |
交叉反应: Human
暂无相关产品
暂无标记数据
暂无同靶标产品
暂无相关文献
暂无常见问题