粘蛋白4重组兔单抗

Rrmab?兔单抗
2026-03-02~2026-04-30,KXJ26032026-03-02~2026-04-30,促销赠品
粘蛋白4重组兔单抗
货号:bsm-60295R
产品详情
相关标记
相关产品
相关文献
常见问题

概述

产品编号
bsm-60295R
产品类型
重组兔单抗
英文名称
MUC-4 Recombinant Rabbit mAb
中文名称
粘蛋白4重组兔单抗
英文别名
ASGP; HSA276359; MUC-4; 4933405I11Rik; MUC4_HUMAN; MUC4; Ascites sialoglycoprotein (ASGP); Pancreatic adenocarcinoma mucin; Testis mucin; Tracheobronchial mucin; MUC4_MOUSE;
抗体来源
Rabbit
免疫原
KLH conjugated synthetic peptide derived from human MUC-4
亚型
IgG
性状
Liquid
纯化方法
affinity purified by Protein A
克隆类型
Recombinant
克隆号
M1F3
理论分子量
80 kDa
浓度
1mg/ml
储存液
0.01M TBS (pH7.4) with 1% BSA, 0.02% Proclin300 and 50% Glycerol.
SWISS
Gene ID
保存条件
Shipped at 4℃. Store at -20℃ for one year. Avoid repeated freeze/thaw cycles.
注意事项
This product as supplied is intended for research use only, not for use in human, therapeutic or diagnostic applications.
产品介绍
肿瘤生物标志Tumor biomarkers
背景资料
The major constituents of mucus, the viscous secretion that covers epithelial surfaces such as those in the trachea, colon, and cervix, are highly glycosylated proteins called mucins. These glycoproteins play important roles in the protection of the epithelial cells and have been implicated in epithelial renewal and differentiation. This gene encodes an integral membrane glycoprotein found on the cell surface, although secreted isoforms may exist. At least two dozen transcript variants of this gene have been found, although for many of them the full-length transcript has not been determined or they are found only in tumor tissues. This gene contains a region in the coding sequence which has a variable number (>100) of 48 nt tandem repeats. [provided by RefSeq].
粘蛋白4重组兔单抗粘蛋白4重组兔单抗

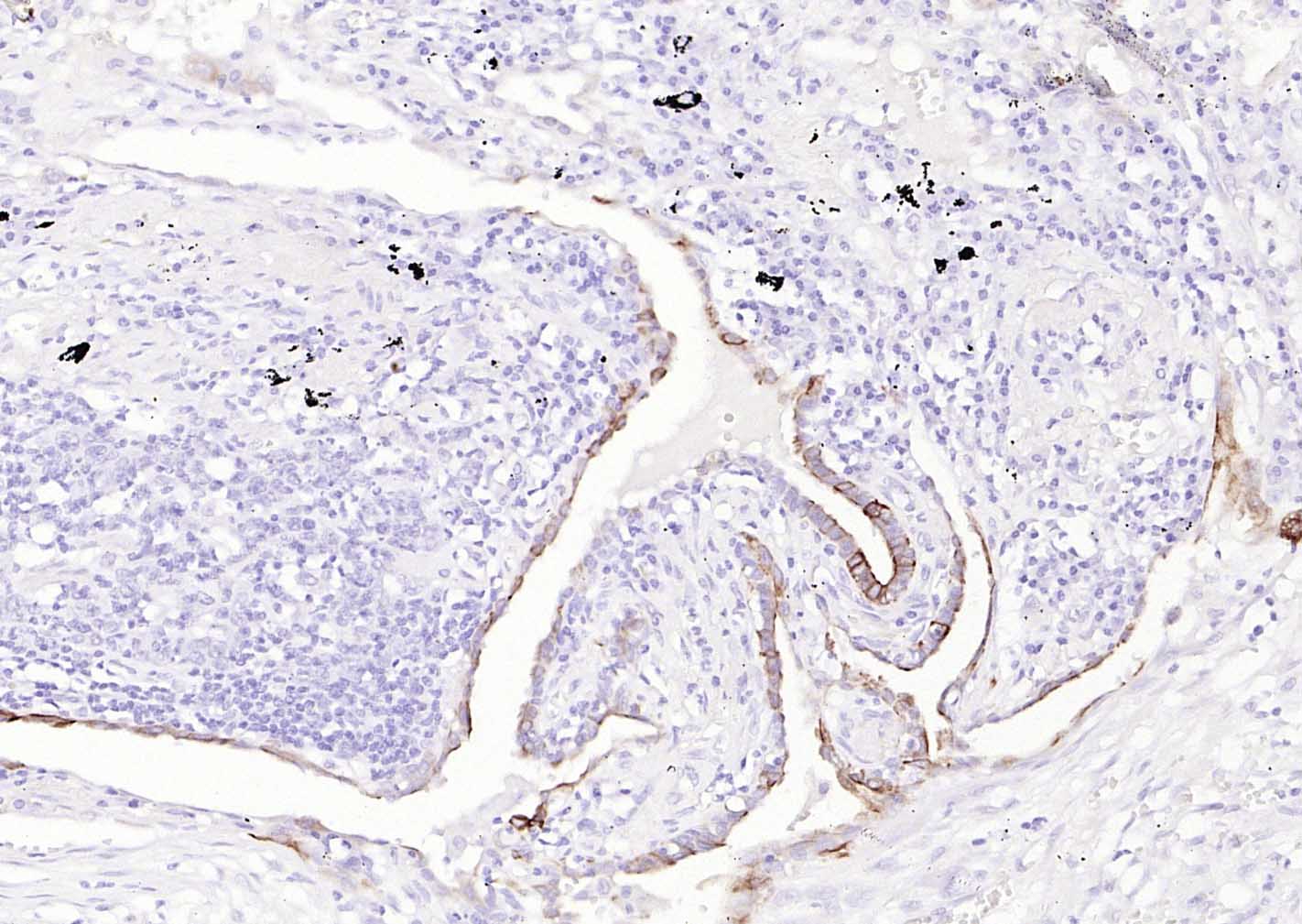
产品应用

应用已检合格种属预测种属推荐稀释比例
IHC-PHuman1:100-500
IHC-FHuman1:100-500
IFHuman1:100-500

交叉反应

交叉反应: Human

相关产品

暂无相关产品

靶标

基因名
MUC4
蛋白名
Mucin-4
亚基
A heterodimeric complex, composed of a mucin-4 alpha chain and a cysteine-rich transmembrane mucin-4 beta chain. Mucin-4 beta chain interacts with ERBB2 via the EGF-like domain 1. In nonpolarized cells, associates with ERBB2 and ERBB3.
亚细胞定位
Membrane; Single-pass membrane protein (Potential). Secreted. Note=Isoforms lacking the Cys-rich region, EGF-like domains and transmembrane region are secreted. Secretion occurs by splicing or proteolytic processing.
Mucin-4 beta chain: Cell membrane; Single-pass membrane protein.
Mucin-4 alpha chain: Secreted.
Isoform 3, 17: Cell membrane; Single-pass membrane protein. Isoform 11, 15: Secreted.
组织特异性
Expressed in the thymus, thyroid, lung, trachea, esophagus, stomach, small intestine, colon, testis, prostate, ovary, uterus, placenta, and mammary and salivary glands. Expressed in carcinomas arising from some of these epithelia, such as lung cancers, squamous cell carcinomas of the upper aerodigestive tract, mammary carcinomas, biliary tract, colon, and cervix cancers. Minimally or not expressed in the normal pancreas or chronic pancreatitis, but is highly expressed in pancreatic tumors and pancreatic tumor cell lines.
翻译后修饰
Proteolytically cleaved into 2 chains, mucin-4 alpha chain and mucin-4 beta chain.
mucrnin-4 alpha chain is highly O-glycosylated.
mucin-4 beta chain is predominantly N-glycosylated.
相似性
Contains 1 AMOP domain.
Contains 2 EGF-like domains.
Contains 1 NIDO domain.
Contains 1 VWFD domain.
功能
May play a role in tumor progression. Ability to promote tumor growth may be mainly due to repression of apoptosis as opposed to proliferation. Has anti-adhesive properties. Seems to alter cellular behavior through both anti-adhesive effects on cell-cell and cell-extracellular matrix interactions and in its ability to act as an intramembrane ligand for ERBB2. Plays an important role in cell proliferation and differentiation of epithelial cells by inducing specific phosphorylation of ERBB2. The MUC4-ERBB2 complex causes site-specific phosphorylation of the ERBB2 'Tyr-1248'. In polarized epithelilal cells segragates ERBB2 and other ERBB receptors and prevents ERBB2 from acting as a coreceptor. The interaction with ERBB2 leads to enhanced expression of CDKN1B. The formation of a MUC4-ERBB2-ERBB3-NRG1 complex leads to down-regulation of CDKN1B, resulting in repression of apoptosis and stimulation of proliferation.

标记抗体

暂无标记数据

同靶标产品

暂无同靶标产品

相关文献

提示: 发表研究结果有使用 bsm-60295R 时请让我们知道,以便我们可以引用参考文章。作为回馈,资料提供者将获得我们送上的小礼品。

暂无相关文献

常见问题

暂无常见问题