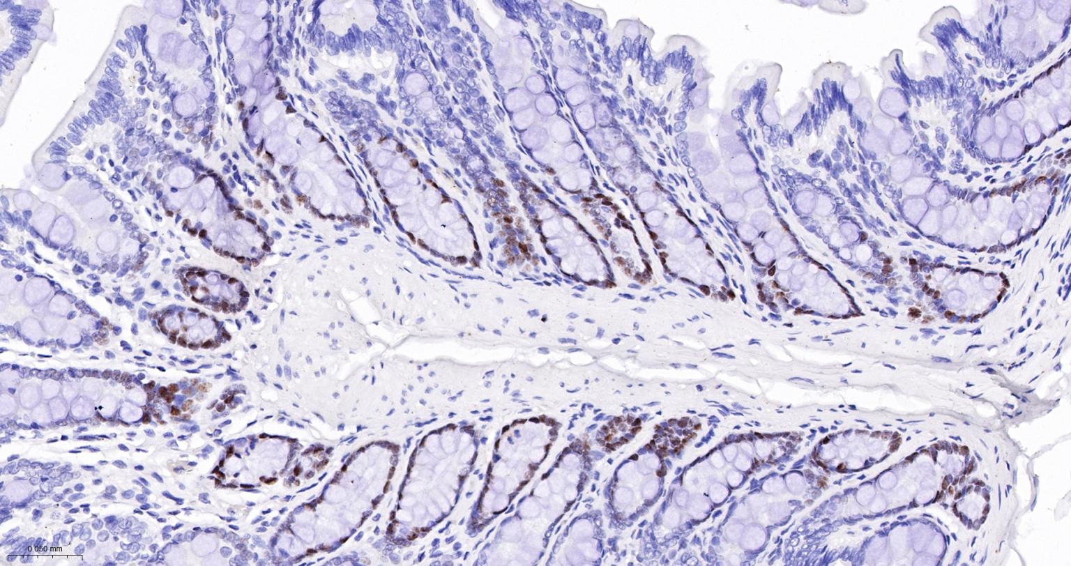
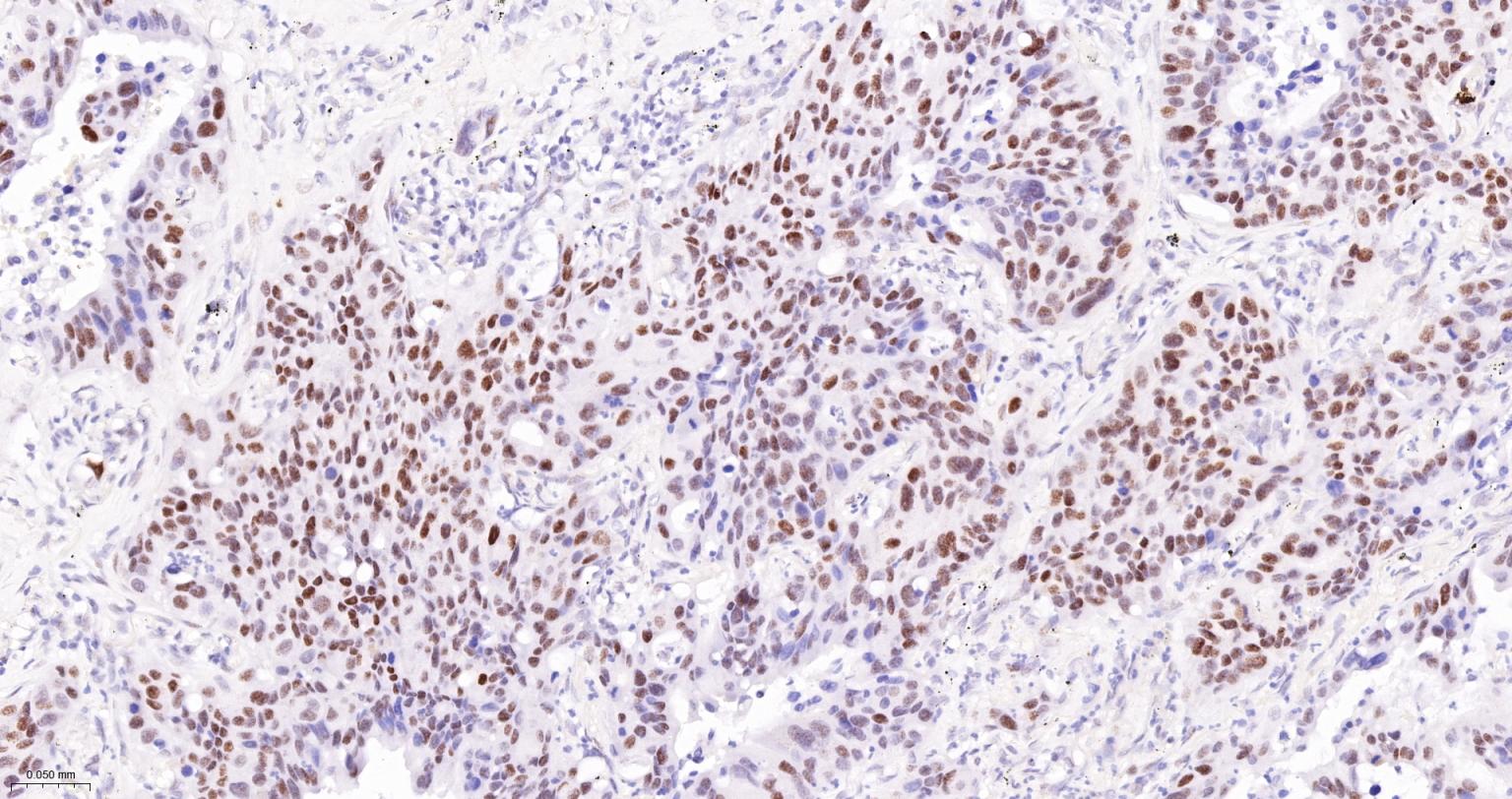
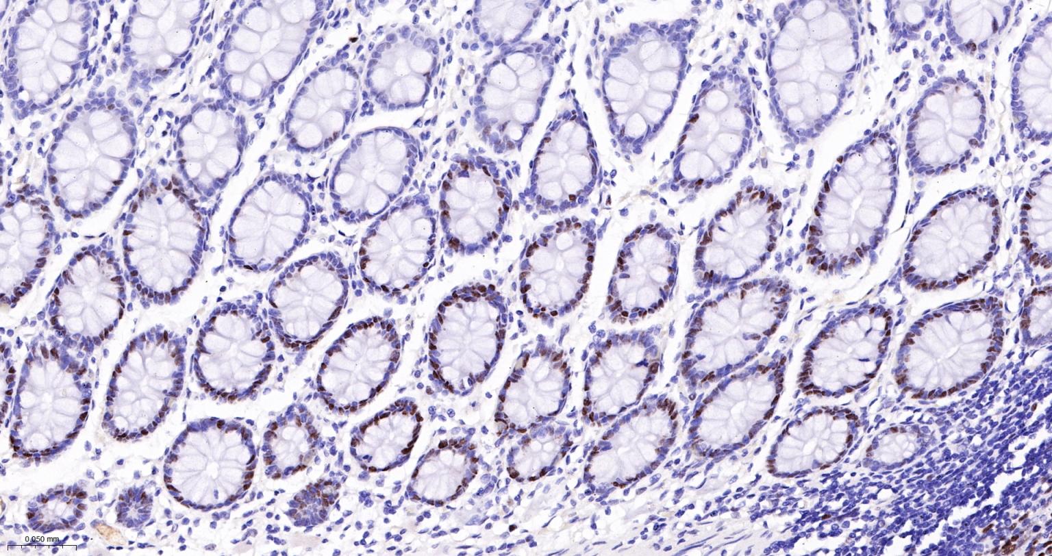
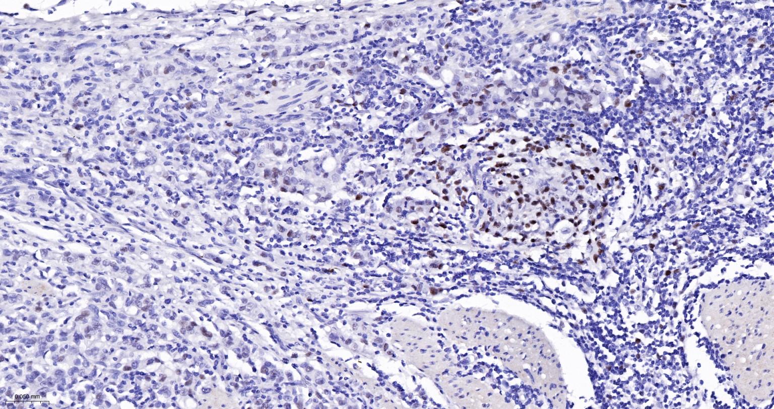
错配修复蛋白6重组兔单抗

Rrmab?兔单抗
2026-03-02~2026-04-30,KXJ26032026-03-02~2026-04-30,促销赠品
错配修复蛋白6重组兔单抗
货号:bsm-60220R
产品详情
相关标记
相关产品
相关文献
常见问题

概述

产品编号
bsm-60220R
产品类型
重组兔单抗、mIHC精品抗体
英文名称
MSH6 Recombinant Rabbit mAb
中文名称
错配修复蛋白6重组兔单抗
英文别名
GTBP; GTMBP; HNPCC5; HSAP; LYNCH5; MMRCS3; MSH-6; p160; MSH6_HUMAN; MSH6; hMSH6; G/T mismatch-binding protein (GTBP | GTMBP); MutS protein homolog 6; MutS-alpha 160 kDa subunit (p160); MSH6_MOUSE;
抗体来源
Rabbit
免疫原
A synthesized peptide derived from human MSH6: 1-57/1360
亚型
IgG
性状
Liquid
纯化方法
affinity purified by Protein A
克隆类型
Recombinant
克隆号
M5F6
理论分子量
153 kDa
浓度
1mg/ml
储存液
0.01M TBS (pH7.4) with 1% BSA, 0.02% Proclin300 and 50% Glycerol.
SWISS
Gene ID
保存条件
Shipped at 4℃. Store at -20℃ for one year. Avoid repeated freeze/thaw cycles.
注意事项
This product as supplied is intended for research use only, not for use in human, therapeutic or diagnostic applications.
产品介绍
MSH6是DNA错配修复系统的基因组成之一。DNA错配修复系统由hMLH1,hMSH2,hPMS1,hPMS2,hMSH6和hMSH3等基因组成,这套系统的存在,可保证遗传物质的完整性和稳定性,避免遗传物质的突变产生,保证DNA复制的高保真度。
背景资料
This gene encodes a member of the DNA mismatch repair MutS family. In E. coli, the MutS protein helps in the recognition of mismatched nucleotides prior to their repair. A highly conserved region of approximately 150 aa, called the Walker-A adenine nucleotide binding motif, exists in MutS homologs. The encoded protein heterodimerizes with MSH2 to form a mismatch recognition complex that functions as a bidirectional molecular switch that exchanges ADP and ATP as DNA mismatches are bound and dissociated. Mutations in this gene may be associated with hereditary nonpolyposis colon cancer, colorectal cancer, and endometrial cancer. Transcripts variants encoding different isoforms have been described. [provided by RefSeq, Jul 2013]
错配修复蛋白6重组兔单抗错配修复蛋白6重组兔单抗错配修复蛋白6重组兔单抗错配修复蛋白6重组兔单抗错配修复蛋白6重组兔单抗错配修复蛋白6重组兔单抗错配修复蛋白6重组兔单抗错配修复蛋白6重组兔单抗错配修复蛋白6重组兔单抗错配修复蛋白6重组兔单抗

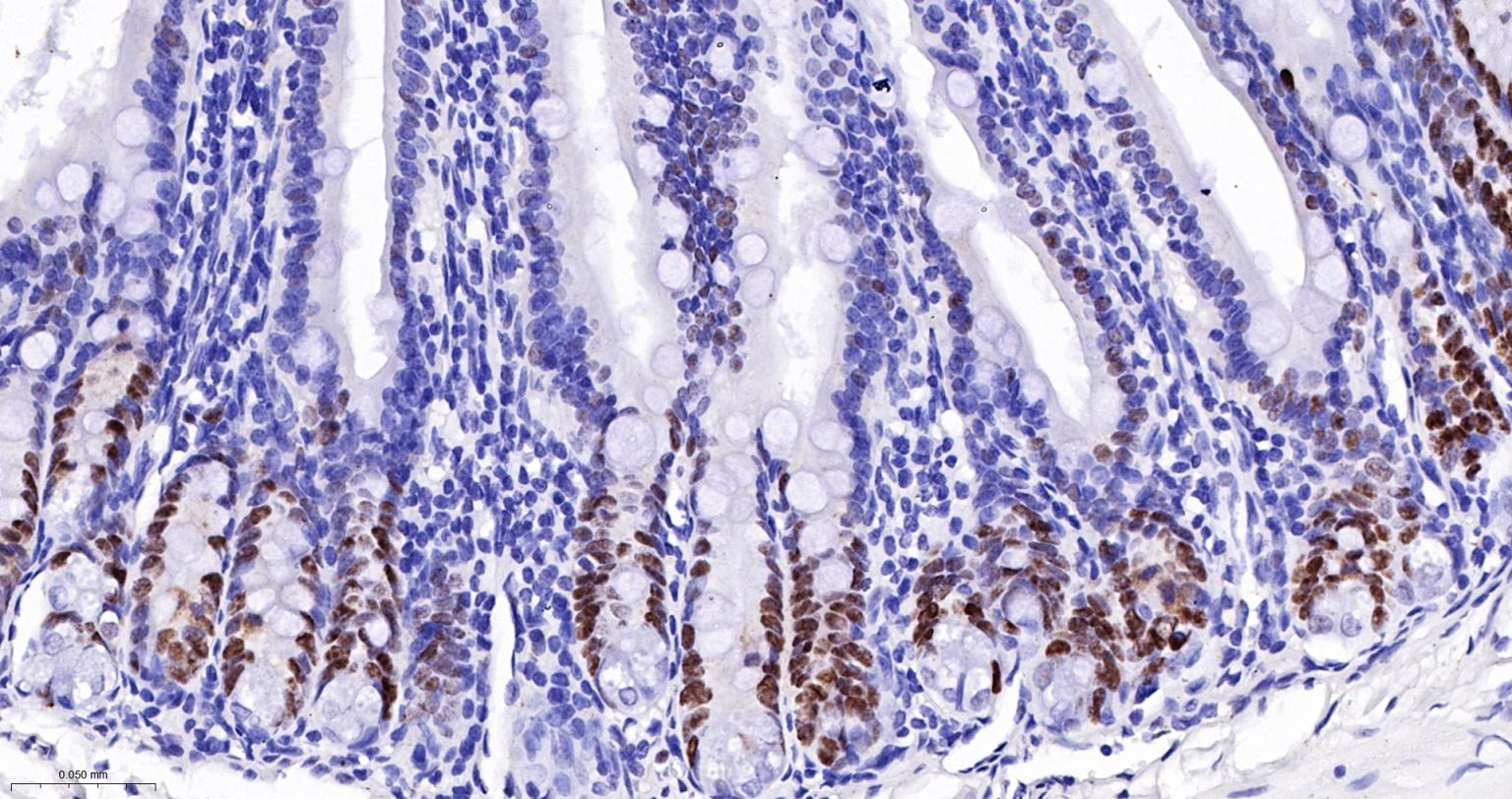
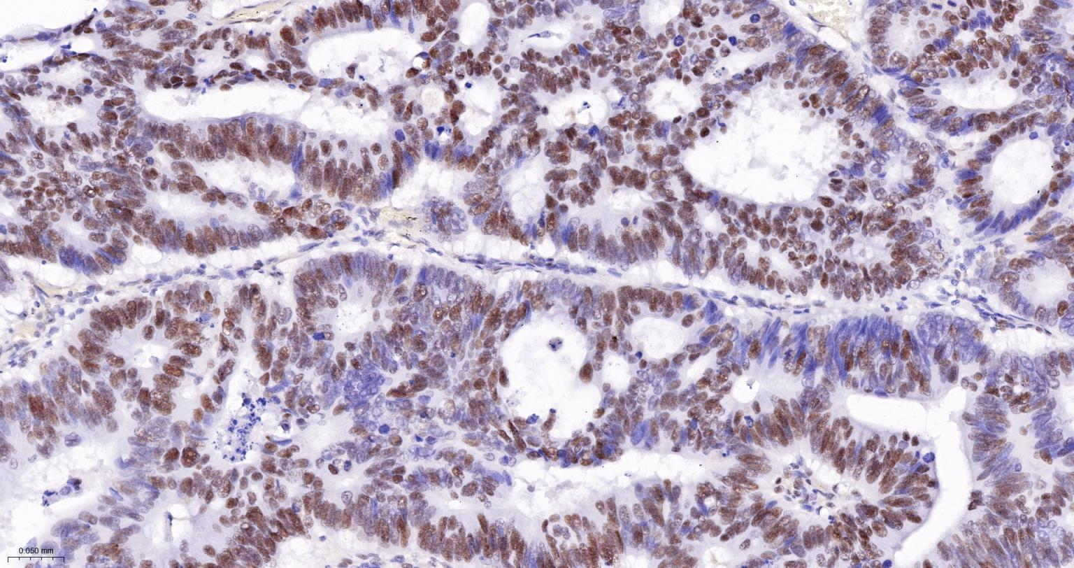
产品应用

应用已检合格种属预测种属推荐稀释比例
WBHuman, MouseRat1:1000-5000
IHC-PHuman, Mouse, Rat1:200-800
IHC-FHuman, Mouse, Rat1:200-800
IFHuman, Mouse, Rat1:200-800
Flow-CytHumanMouse, Rat1ug/Test

交叉反应

交叉反应: Human, Mouse, Rat

相关产品

暂无相关产品

靶标

基因名
MSH6
蛋白名
DNA mismatch repair protein Msh6
亚基
Heterodimer consisting of MSH2-MSH6 (MutS alpha). Forms a ternary complex with MutL alpha (MLH1-PMS1). Interacts with EXO1. Part of the BRCA1-associated genome surveillance complex (BASC), which contains BRCA1, MSH2, MSH6, MLH1, ATM, BLM, PMS2 and the RAD50-MRE11-NBS1 protein complex. This association could be a dynamic process changing throughout the cell cycle and within subnuclear domains. Interacts with ATR.
亚细胞定位
Nucleus.
翻译后修饰
The N-terminus is blocked.
Phosphorylated upon DNA damage, probably by ATM or ATR.
Phosphorylated by PRKCZ, which may prevent MutS alpha degradation by the ubiquitin-proteasome pathway.
疾病
Defects in MSH6 are the cause of hereditary non-polyposis colorectal cancer type 5 (HNPCC5) [MIM:600678]. Mutations in more than one gene locus can be involved alone or in combination in the production of the HNPCC phenotype (also called Lynch syndrome). Most families with clinically recognized HNPCC have mutations in either MLH1 or MSH2 genes. HNPCC is an autosomal, dominantly inherited disease associated with marked increase in cancer susceptibility. It is characterized by a familial predisposition to early onset colorectal carcinoma (CRC) and extra-colonic cancers of the gastrointestinal, urological and female reproductive tracts. HNPCC is reported to be the most common form of inherited colorectal cancer in the Western world. Cancers in HNPCC originate within benign neoplastic polyps termed adenomas. Clinically, HNPCC is often divided into two subgroups. Type I: hereditary predisposition to colorectal cancer, a young age of onset, and carcinoma observed in the proximal colon. Type II: patients have an increased risk for cancers in certain tissues such as the uterus, ovary, breast, stomach, small intestine, skin, and larynx in addition to the colon. Diagnosis of classical HNPCC is based on the Amsterdam criteria: 3 or more relatives affected by colorectal cancer, one a first degree relative of the other two; 2 or more generation affected; 1 or more colorectal cancers presenting before 50 years of age; exclusion of hereditary polyposis syndromes. MSH6 mutations appear to be associated with atypical HNPCC and in particular with development of endometrial carcinoma or atypical endometrial hyperplasia, the presumed precursor of endometrial cancer. Defects in MSH6 are also found in familial colorectal cancers (suspected or incomplete HNPCC) that do not fulfill the Amsterdam criteria for HNPCC.
相似性
Belongs to the DNA mismatch repair MutS family.
Contains 1 PWWP domain.
功能
Component of the post-replicative DNA mismatch repair system (MMR). Heterodimerizes with MSH2 to form MutS alpha, which binds to DNA mismatches thereby initiating DNA repair. When bound, MutS alpha bends the DNA helix and shields approximately 20 base pairs, and recognizes single base mismatches and dinucleotide insertion-deletion loops (IDL) in the DNA. After mismatch binding, forms a ternary complex with the MutL alpha heterodimer, which is thought to be responsible for directing the downstream MMR events, including strand discrimination, excision, and resynthesis. ATP binding and hydrolysis play a pivotal role in mismatch repair functions. The ATPase activity associated with MutS alpha regulates binding similar to a molecular switch: mismatched DNA provokes ADP-->ATP exchange, resulting in a discernible conformational transition that converts MutS alpha into a sliding clamp capable of hydrolysis-independent diffusion along the DNA backbone. This transition is crucial for mismatch repair. MutS alpha may also play a role in DNA homologous recombination repair.

标记抗体

暂无标记数据

同靶标产品

暂无同靶标产品

相关文献

提示: 发表研究结果有使用 bsm-60220R 时请让我们知道,以便我们可以引用参考文章。作为回馈,资料提供者将获得我们送上的小礼品。

暂无相关文献

常见问题

暂无常见问题